Summary

Background

The use of computed tomography (CT) scans has increased the opportunities to detect small nodular shadows in peripheral lung fields. Intrapulmonary lymph nodes (IPLNs) are sometimes identified among these nodular shadows, and a differential diagnosis is often difficult. However, few descriptions of the CT findings of IPLNs, with regard to their potential for the differential diagnosis of lung cancer, have been published.

Methods

From 2006 through 2011, 606 patients underwent thoracic surgery for pulmonary nodules. Nine patients (1.5%) had pathologically diagnosed IPLNs. We retrospectively reviewed the clinicopathological features and thin-section CT findings of the patients with IPLNs. We also compared these IPLN patients with 17 patients having small-sized lung cancer.

Results

In six cases, the nodules were round, and linear density extending from the IPLNs was visualized in seven nodules. The nodules in IPLNs were located in the lower lobe, and the nodule borders were clearer than those of lung cancers. Six out of nine nodules were round, and linear densities were more easily visualized for the IPLNs.

Conclusion

Medical specialists need to be familiar with the discriminative features of thin-slice CT for IPLNs not only to avoid performing unnecessary operations, but also to prevent the mis-staging of lung cancer.

Keywords

computed tomography examination;intrapulmonary lymph node;lung cancer;small nodular shadow;surgical resection

1. Introduction

The widespread use of computed tomography (CT) scanning has increased the opportunities to detect small nodular shadows in peripheral lung fields,1 which are difficult to diagnose pathologically. Thus, most of these cases are resected in order to diagnose and treat them. Intrapulmonary lymph nodes (IPLNs) are sometimes resected based on a diagnosis of a lung cancer or lung metastasis.2 Therefore, a more accurate diagnosis of IPLNs is essential not only to avoid unnecessary surgery, but also to prevent the mis-staging of lung cancer.

We reviewed the clinicopathological features and thin-section CT findings of nine IPLNs. Furthermore, the IPLNs were compared with small-sized lung cancers to define their discriminative features.

2. Patients and methods

The institutional Review Board approved this study. From 2006 through 2011, 606 patients underwent thoracic surgery for pulmonary nodules in the Second Department of Surgery at the University of Occupational and Environmental Health, Kitakyushu, Japan. A total of 458 patients were diagnosed with lung cancer, 73 with metastatic lung tumors, 52 with inflammatory pulmonary nodules, and 14 with other forms of lung cancer. Nine patients (1.5%) were pathologically diagnosed with IPLNs. The pathological findings revealed that all these patients showed anthracosis, and two of three IPLN cases with progression show lymphoid follicles. We retrospectively reviewed the age, sex, smoking history, inhalation of dust, progression of nodules, number of nodules, nodule size, site, location, border, shape, distance from the pleura, and linear density. In the same period, 17 patients had small (<10 mm) solid tumors detected in thin-section CT. We compared the nine IPLN patients with the 17 lung cancer patients with regard to their clinicopathological features and thin-section CT findings.

The evaluations at admission included a physical examination, chest roentgenography, an analysis of blood chemistry, and measurements of tumor markers. Chest and abdominal CT, brain magnetic resonance imaging, and a bone scintiscan or positron emission tomography/CT examination were performed prior to surgery. A definite diagnosis was not obtained by bronchoscopic examination in all IPLNs patients. Therefore, video-assisted thoracic surgery was performed after obtaining informed consent from the patients to obtain a larger tissue specimen, because the presence of a malignant tumor could not be ruled out.

2.1. CT scan

Whole-lung CT scans were obtained with a 16- or 64-detector row CT scanner (Aquilion 16 or 64, Toshiba Medical Systems, Tokyo, Japan) using the following parameters: 2.0 mm section width with 2.0 mm reconstruction interval, pitch (ratio of table travel per rotation to total beam width) of 15,120 kVp, and 300 mA. Each CT image was displayed and evaluated using a standard lung window (window width, 1600 HU; window level, –600 HU) and a mediastinal window (window width, 350 HU; window level, 50 HU) on a high-resolution monitor.

2.2. Statistical analysis

The two groups were compared using the Chi-square test, and logistic regression models were constructed using a logistic regression analysis. The odds ratios and 95% confidence intervals were calculated for each variable. The differences were considered to be significant for p < 0.05. The data were analyzed using the Stat View software package (Abacus Concepts, Inc., Berkeley, CA, USA).

3. Results

We encountered nine cases of IPLNs, discovered by chest radiography or chest CT (Fig. 1). The clinical data of the patients with IPLNs are summarized in Table 1. All the patients were Japanese. They included nine males and two females, and their ages ranged from 38 to 73 years, with a mean of 60.0 years. All the male IPLN patients were heavy smokers (Brinkman index >400). Three patients had a past history of malignancy and had inhaled dust at their place of work. The thin-section CT findings of IPLNs are summarized in Table 2. In all cases of IPLNs, nodules were located in the lower lobe. They did not have calcification. Their sizes ranged from 4 to 8 mm (mean, 6.2 mm). In five and four cases, nodules were located in the right and left lobes, respectively. Three cases had progression of their nodule size for a mean follow-up period of 3.7 months and two cases had multiple nodules. The distance from the pleura ranged from 0 to 18 mm (mean, 3 mm). In six cases, the nodules were round, and linear density extending from the IPLNs was visualized in seven nodules. Neither enhancement in contrast nor pleural indentation was detected in the IPLNs.


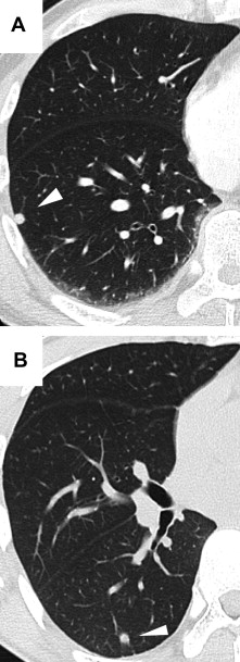
(A) Chest computed tomography revealed a small, round nodule in the lower lobe ...


Figure 1.

(A) Chest computed tomography revealed a small, round nodule in the lower lobe (case 2). (B) An angular and partly spiculated nodule shown in the lower lobe (case 5).

Table 1. Clinical data for the patients with IPLNs.
Case Age Sex Smoking Known malignancy Inhalation of dust
1 61 F No Yes
2 60 M Yes No
3 65 M Yes Renal cell carcinoma Unknown
4 56 M Yes No
5 38 M Yes No
6 67 M Yes Melanoma Yes
7 73 M Yes No
8 70 M Yes Malignant tumor of the soft plate Yes
9 50 F No No

IPLN = intrapulmonary lymph node.

Table 2. Thin-section CT findings of IPLNs.
Case Size (mm) Site Progression Number of nodules Distance from pleura (mm) Shape Spiculation Enhancement Pleural indentation Linear density
1 4 Left Yes Multiple 11 Round Yes
2 6 Right No Single 0 Round Yes
3 4 Left No Single 6 Round Yes
4 8 Right No Single 1 Round Yes
5 6 Right No Single 10 Angular + Unknown Yes
6 6 Left No Multiple 3 Angular Yes
7 8 Left Yes Single 18 Angular + Yes
8 6 Right No Single 0 Round No
9 8 Right Yes Single 0 Round No

CT = computed tomography; IPLN = intrapulmonary lymph node.

The clinicopathological features and CT findings in our cases of IPLNs and lung cancer less than 10 mm in diameter are summarized in Table 3. In the patients with IPLNs, all nodules were located in the lower lobe, and the nodule borders were clearer than those of the tumors. Six out of nine nodules were round, and linear densities were more easily visualized for the IPLNs. No significant correlation with age, sex, smoking history, inhalation of dust, progression, number of nodules, nodule size, site, and distance from the pleura was identified between IPLNs and small-sized lung cancer.

Table 3. Clinicopathological features and CT findings of IPLNs and small-sized lung cancer (≤10 mm).
Variable Category IPLNs (n = 9) Lung cancer (n = 17) p
Age ≥60 6 16 0.065
<60 3 1
Sex Male 7 11 0.492
Female 2 6
Smoking history Yes 7 13 0.940
No 2 4
Inhalation of dust Yes 3 4 0.751
No 5 9
Unknown 1 4
Progression Yes 3 8 0.500
No 6 9
Number of nodules Single 7 14 0.778
Multiple 2 3
Size ≤5 mm 2 2 0.080
>5 7 15
Site Right 5 12 0.443
Left 4 5
Location Upper/middle 0 14 <0.001
Lower 9 3
Border Clear 9 8 0.007
Unclear 0 9
Shape Round 6 0 <0.001
Angular 3 17
Distance from pleura ≤10 mm 7 13 0.940
>10 mm 2 4
Linear density Yes 7 6 0.039
No 2 11

CT = computed tomography; IPLN = intrapulmonary lymph node.

Linear density was identified as a predictor for IPLNs in a univariate analysis (p = 0.050) ( Table 4).

Table 4. Results of the univariate analysis of predictive factors for IPLNs.
Variable OR 95% CI p
Age 8.000 0.690–92.725 0.096
Sex 1.909 0.297–12.264 0.496
Smoking history 1.076 0.156–7.407 0.940
Inhalation of dust 2.597 0.462–14.706 0.278
Progression 1.778 0.331–9.555 0.503
Number of nodules 0.750 0.101–5.577 0.779
Size 2.143 0.248–18.502 0.488
Site 0.521 0.097–2.793 0.446
Distance from pleura 0.615 0.104–3.663 0.593
Linear density 6.410 0.999–41.667 0.050

CI = confidence interval; IPLN = intrapulmonary lymph node; OR = odds ratio.

4. Discussion

Because of the widespread use of CT,1 the differential diagnosis of previously undetectable small pulmonary nodular shadows has become more important. In the present study, we investigated a series of Japanese patients with IPLNs and lung cancer less than 10 mm in diameter that were difficult to diagnose prior to surgery.

Our findings demonstrate five important points regarding the clinical characteristics of IPLNs:

  • They are more frequently found in males. However, this result seems to be correlated with the patients' smoking habits. This might be reasonable given the inflammation evoked by smoking, since IPLN has been reported to occur due to hyperplasia of lymph node tissue resulting from an inflow of tobacco and dust to the subpleural lymphatic network.3 However, we failed to show any significant relationships between the smoking status in cases of IPLNs and lung cancer, which is also linked to tobacco-mediated carcinogenesis.4 Therefore, the smoking status is not useful to discriminate IPLNs from lung cancer.
  • The possible presence of IPLNs cannot be ruled out even if patients had a past history of malignancy and the tumor had progression on diagnostic imaging. Therefore, video-assisted thoracic surgery lung biopsy should be considered without hesitation in such cases.
  • IPLNs are more frequently found in the right lower lobes than in other locations. In general, the predominant occurrence of IPLNs in the lower lobe is explained by both the ventilation and the fact that the production of lymphatic fluid in the lower lung is higher than in the upper lung. Lung cancer most commonly occurs in the upper lobes, so the location can be used in the differential diagnosis.
  • Most IPLNs were round, and their borders were clear. Further, linear densities were frequently visualized in IPLNs. Lung cancers generally have an irregular shape and do not have linear densities. The logistic regression models indicated that the linear density was a predictor for an IPLN. Therefore, these findings are also discriminative features of CT for differentially diagnosing IPLNs. Hyodo et al5 also reported that the linear density may be the most useful characteristic of IPLNs.
  • Most of the IPLNs were located at a distance of less than 10 mm from the pleura. The predominant occurrence of IPLNs in the subpleural region is explained by the rich distribution of lymphatics in this area.6 However, we failed to show any significant relationship for the localization in the subpleural region between IPLNs and lung cancer, because cancer cells also spread through the blood and lymphatic stream in this subpleural space.

We searched the Japanese cases of IPLNs described for detailed clinical factors in published reports since thin-slice CT appeared in Japan in 1998.5 A total of 48 cases of IPLNs, including our nine cases (Table 5) and the 17 lung cancer patients in this study, were reviewed. Old age, location in the lower lobe, and a clear border of the opacity were identified as predictors for IPLNs in a univariate analysis (Table 6). Furthermore, multivariate logistic regression models indicated that the location in the lower lobe was an independent predictor for IPLNs (p = 0.009), while a clear border for the opacity had a borderline correlation (p = 0.062) ( Table 7).

Table 5. Review of 48 Japanese cases with IPLNs.
Variables Category Number (%)
Age ≥60 28 (58.3)
<60 20 (41.7)
Sex Male 28 (58.3)
Female 20 (41.7)
Smoking history Yes 24 (50.0)
No 11 (22.9)
Unknown 13 (27.1)
Inhalation of dust Yes 1 (2.1)
No 15 (31.3)
Unknown 32 (66.6)
Progression Yes 4 (8.3)
No 3 (6.3)
Unknown 41 (85.4)
Number of nodules Single 42 (87.5)
Multiple 6 (12.5)
Size (mm) ≤5 16 (33.3)
>5, ≤10 27 (56.3)
>10 5 (10.4)
Site Right 31 (64.6)
Left 14 (29.1)
Bilateral 3 (6.3)
Location Upper 3 (6.3)
Middle 13 (27.1)
Lower 32 (66.6)
Border Clear 23 (47.9)
Unclear 2 (4.2)
Unknown 23 (47.9)
Shape Round 17 (35.4)
Angular 18 (37.5)
Unknown 13 (27.1)
Distance from pleura (mm) ≤10 29 (60.4)
>10 2 (4.2)
Unknown 17 (35.4)

IPLN = intrapulmonary lymph node.

Table 6. Univariate analysis of predictive factors for IPLNs.
Variables OR 95% CI p
Age: <60 y 9.778 1.133–84.382 0.038
Sex: male 1.712 0.499–5.882 0.393
Number of nodules: single 2.893 0.432–19.385 0.274
Size: ≤5 mm 3.947 0.749–20.811 0.106
Site: right 0.926 0.251–3.425 0.908
Location: lower 10.417 2.375–45.455 0.002
Border: clear 15.187 2.710–85.116 0.002
Distance from pleura: ≤10 mm 2.667 0.518–13.699 0.241

CI = confidence interval; IPLN = intrapulmonary lymph node; OR = odds ratio.

Table 7. Multivariate analysis of predictive factors for IPLNs.
Variables OR 95% CI p
Age: <60 y 2.039 0.126–33.015 0.616
Sex: male 3.425 0.358–33.333 0.285
Number of nodules: single 6.478 0.334–125.807 0.217
Size: ≤5 mm 3.476 0.266–45.492 0.342
Site: right 1.502 0.117–19.231 0.755
Location: lower 33.333 2.387–50.000 0.009
Border: clear 23.392 0.849–644.244 0.062
Distance from pleura: ≤10 mm 7.752 0.350–166.667 0.195

CI = confidence interval; IPLN = intrapulmonary lymph node; OR = odds ratio.

In conclusion, IPLNs should be taken into consideration in the differential diagnosis of small nodular lesions in the lung. We consider that the round lesions with clear borders located in the lower lobe and with linear densities on thin-section CT scan are the most important characteristics of IPLNs. With the dramatic upsurge in early detection of ever smaller lung nodules through the development of radiographic tools, many surgeons have become concerned about the unified treatment of these small lesions, even though thoracoscopic surgery can make such treatments less invasive and easier to perform.7

References

  1. 1 L.H. Eadie, P. Taylor, A.P. Gibson; A systematic review of computer-assisted diagnosis in diagnostic cancer imaging; Eur J Radiol, 81 (2012), pp. 70–76
  2. 2 H. Yokomise, H. Mizuno, O. Ike, H. Wada, S. Hitomi, H. Itoh; Importance of intrapulmonary lymph nodes in the differential diagnosis of small pulmonary nodular shadows; Chest, 113 (1998), pp. 703–706
  3. 3 Y. Tanaka, R. Ijiri, K. Kato, T. Nishi, H. Nishihira, N. Aida; Intrapulmonary lymph nodes in children versus lung metastases; Med Pediatr Oncol, 33 (1999), pp. 580–582
  4. 4 R.Y. Huang, G.G. Chen; Cigarette smoking, cyclooxygenase-2 pathway and cancer; Biochim Biophys Acta, 1815 (2011), pp. 158–169
  5. 5 T. Hyodo, S. Kanazawa, S. Dendo, et al.; Intrapulmonary lymph nodes: thin-section CT findings, pathological findings, and CT differential diagnosis from pulmonary metastatic nodules; Acta Med Okayama, 58 (2004), pp. 235–240
  6. 6 R.A. Goodwin, R.M. Des Prez; Apical localization of pulmonary tuberculosis, chronic pulmonary histoplasmosis, and progressive massive fibrosis of the lung; Chest, 83 (1983), pp. 801–805
  7. 7 K. Taguchi, H. Aradate; Algorithm for image reconstruction in multi-slice helical CT; Med Phys, 25 (1998), pp. 550–561
Back to Top

Document information

Published on 26/05/17
Submitted on 26/05/17

Licence: Other

Document Score

0

Views 80
Recommendations 0

Share this document

claim authorship

Are you one of the authors of this document?