Summary

The objective of this study is to report the first case in Thailand of a single port laparoscopic nephrolithotomy in a double collecting system of a right kidney. The operation was successfully done in a 49-year-old Thai female presented with a full staghorn kidney stone in the lower moiety of the duplex right kidney. Percutaneous nephrolithotomy was performed first but the removal of the lower calyceal branch and the rest failed because the access tract was lost. Then the residual stones were successfully removed by single port laparoscopic nephrolithotomy. This study proves that single port laparoscopic nephrolithotomy is technically feasible without additional skin incisions.

Keywords

nephrolithotomy;renal calculi;single port

1. Introduction

A new access port called an R-port (Fig. 1) was developed to accomplish scar/pain-free surgery. This study reports the first case in Thailand of single port laparoscopic staghorn nephrolithotomy in the double collecting system of the right kidney. The surgical results were excellent. This uncommon situation is discussed and the literature is reviewed.


R-Port.


Figure 1.

R-Port.

There are many modalities of treatment for renal calculi and the choice depends on factors such as the size and location of the stones, the anatomy of the kidney, and the surgeons preference. Staghorn calculi are branched stones that occupy a large portion of the collecting system. Typically, they fill the renal pelvis and branch into several or all of the calices.1 Percutaneous nephrolithotomy (PCNL) should be the treatment of choice for these patients.1 ;  2 If PCNL fails or if residual stones are still present, then alternative modalities such as extracorporeal shock wave lithotripsy (ESWL), open stone removal, or a combination procedure can be applied to eradicate them.

Since 1998, single port laparoscopic surgery has been used for cholecystectomy3 and appendectomy4 in order to accomplish minimally invasive, pain- and scar-free surgery. There are numerous reports of single port laparoscopic surgery being used in urology via R-port instruments.5; 6 ;  7 An R-port is a single access port with three working channels and one insufflation line. It can be inserted through a skin incision measuring only a few centimeters. Until now, there had been no report of a single port laparoscopic nephrolithotomy. This case represents the first instance of laparoscopic nephrolithotomy being used in the double collecting system of the right kidney.

2. Case report

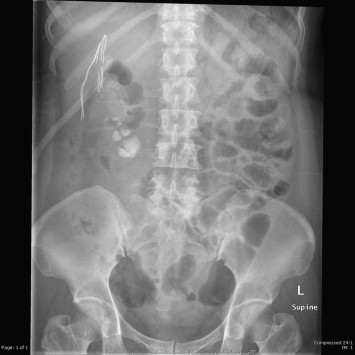
A 49-year-old woman presented with right flank pain and the sporadic spontaneous passing of small stones. She had had these symptoms for 3 years. She had no history of urinary tract infection or hematuria. A physical examination revealed an old surgical scar from a cesarean section. She was obese with a body mass index (BMI) of 32.03 kg/m2. Neither kidney was palpable. The plain film showed staghorn calculi in the right kidney and a 1.5 cm calcification in the middle caliceal stone of the left kidney. The intravenous urography demonstrated a partial duplication of the right kidney, a full staghorn stone in the lower moiety with moderate hydronephrosis, and mild delayed excretory function as shown in Fig. 2. The left renal calcification was a middle caliceal stone with localized caliectasis.


(A) Double collecting system of right kidney with staghorn calculi in lower ...


Figure 2.

(A) Double collecting system of right kidney with staghorn calculi in lower moiety and (B) left middle caliceal stone.

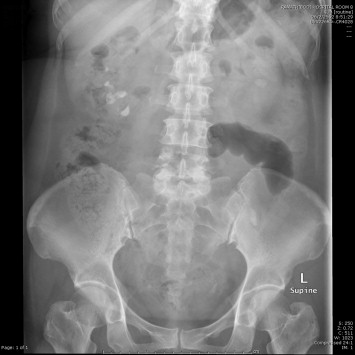
The left caliceal stone was disintegrated completely by extracorporeal shockwave lithotripsy. One month later, PCNL was performed on the right staghorn calculi and the upper caliceal branch of the lower moiety was clearly removed. The removal of the lower caliceal branch and the rest failed because the access tract was lost and there was also a thinning cortex (Fig. 3). The residual stones were later removed by single port laparoscopic nephrolithotomy using an R-port via an umbilical incision.


Residual stone at lower moiety after percutaneous nephrolithotomy.


Figure 3.

Residual stone at lower moiety after percutaneous nephrolithotomy.

2.1. Surgical technique

The patient was lying in the flank position. Through a single umbilical incision, the single port laparoscopy was applied and the ascending colon was mobilized downwards to expose the right kidney. The renal lower pole was mobilized to be free from perinephric tissue. The nephrolithotomy was undertaken on the lower pole. Two major pieces of stone were successfully removed and placed in a plastic bag. The renal surgical incision was continuously sutured using a 2-0 Vicryl suture. The Hem-o-lok clips were applied to hold the tension of the suture at both terminal ends. Afterwards, a silastic drain was placed through the same umbilical incision.

The operation was successful and a standard laparoscopic approach was not needed. The operation took 3 hours. The blood loss was 50 mL and there were no intraoperative complications. The drain was removed on the third postoperative day and the patient was discharged 4 days after surgery. After 1 month, the small residual stones (Fig. 4), measuring about 1 cm, were fragmented and cleared out using ESWL.


Small residual stone after single port nephrolithotomy.


Figure 4.

Small residual stone after single port nephrolithotomy.

3. Discussion

Since 1998, successful single port laparoscopic surgery has been reported for cholecystectomy3 and appendectomy.4 More advance laparoscopic instruments have since been developed and the bent instruments make the operative technique more feasible. There are reports of single port access nephrectomy, orchidopexy, orchiectomy, ureterolithotomy6 and, recently, there was a report of a successful donor nephrectomy7 with a good outcome.

In selected patients, the single port laparoscopic nephrolithotomy can be done safely and successfully. The staghorn stone in this patient could be treated in several ways, such as by lower pole nephrectomy or a PCNL. However, intravenous urography showed that the lower pole renal tissue was still functioning and should be preserved. The first line of generally accepted treatment for staghorn calculi is percutaneous nephrolithotomy, but in this patient, the procedure failed due to the loss of the tract during the operation. Laparoscopic, or open stone surgery, was an alternative choice.

Lapraroendoscopic renal surgery has two approaches: transperitoneal and retroperitoneal. Most series show that the advantages of the retroperitoneal approach are reductions in blood loss, catheter time, time to return to bowel function, and hospital stay. However, the complication rates for the two approaches do not differ.8 ;  9 In our experience, we compared laparoscopic retroperitoneal ureterolithotomy with laparoscopic transperitoneal ureterolithotomy. The results show no different in complication rate, but the retroperitoneal approach had a shorter duration of retaining drain and hospital stay.10 Laparoendoscopic single-site surgery is mainly performed via a transperitoneal umbilical incision, but the retroperitoneal approach has been reported as having a good outcome.11 In this case, the retroperitoneal approach might have been difficult due to previous percutaneous nephrolithtomy and the stones location was anterior, so the transperitoneal approach was deemed more appropriate for this patient.

Using laparoscopic techniques, the tactile sensation is transmitted via the instrument to locate the stones. With a very thin renal parenchyma and a small nephrolithotomy incision, the risk of bleeding during nephrolithotomy is less likely, so the operation is safe to perform without hilar control. The single port laparoscopic technique has recently been introduced and found to be superior to multiple incision laparoscopy because there is less pain associated with the procedure and the small single incision scar is a favorable cosmetic result.

The single port access does have several limitations, one of these being the intracorporeal tying suture, which prevents the surgeons hands from moving freely. However, instead of manual surgical tying, using two Hem-o-lock clips applied to both surgical suture ends to hold the knots facilitates and secures the procedure. It was possible to remove the tube drain on the third postoperative day without urinary leakage. Another limitation of the single port laparoscopic technique is that it cannot operate on multiple small caliceal stones or in the thick renal cortex. Using intraoperative ultrasound and controlling hilar vessels before nephrolithotomy might help localize stones and reduce bleeding problems.

It was proved that single port laparoscopic nephrolithotomy is technically feasible without additional skin incisions.

References

  1. 1 C. Esposito; One-trocar appendectomy in pediatric surgery; Surg Endosc, 12 (1998), pp. 177–178
  2. 2 I.S. Gill, D. Canes, M. Aron, et al.; Single port transumbilical (E-notes) donor nephrectomy; Urology, 180 (2008), pp. 637–641
  3. 3 J.H. Kaouk, G.P. Gaber, R.K. Goel, et al.; Single-port laparoscopic surgery in urology: initial experience; Urology, 71 (1) (2008), pp. 3–6
  4. 4 G. Piskun, S. Rajpal; Transumbilical laparoscopic cholecystectomy utilizes no incisions outside the umbilicus; J Laparoendosc Adv Surg Tech, 9 (1999), pp. 361–364
  5. 5 G.M. Preminger, D.G. Assimos, J.E. Lingeman, S.Y. Nakada, M.S. Pearle, J.S. Wolf Jr.; Chapter 1: AUA guideline on management of staghorn calculi: diagnosis and treatment outcome; J Urol, 173 (2005), pp. 1991–2000
  6. 6 A. Rane, P. Rao, P. Rao; Single-port-access nephrectomy and other laparoscopic urologic procedures using a novel laparoscopic port(R-port); Urology, 72 (2008), pp. 260–264
  7. 7 C.C. Wen, S. Nakada; Treatment selection and outcomes: renal calculi; Urol Clin N Am, 34 (2007), pp. 409–419
  8. 8 J.L. Wright, J.R. Porter; Laparoscopic partial nephrectomy: comparison of transperitoneal and retroperitoneal approaches; J Urol, 174 (3) (2005), pp. 841–845
  9. 9 M.M. Desai, B. Strzempkowski, S.F. Matin, et al.; Prospective randomized comparison of transperitoneal versus retroperitoneal laparoscopic radical nephrectomy; J Urol, 173 (1) (2005), pp. 38–41
  10. 10 W. Kongchareonsombat, S. Atichoksakun, K. Kitvikai, S. Patcharatrakul, S. Chaimuengraj; Extraperitoneal versus transperitoneal approach of laparoscopic ureterolithotomy in selected patients; J Med Assoc Thai, 93 (7) (2010), pp. 794–798
  11. 11 D.S. Ryu, W.J. Park, T.H. Oh; Retroperitoneal laparoendoscopic single-site surgery in urology: initial experience; J Endourol, 23 (2009), p. 1857
Back to Top

Document information

Published on 26/05/17
Submitted on 26/05/17

Licence: Other

Document Score

0

Views 9
Recommendations 0

Share this document

claim authorship

Are you one of the authors of this document?