Summary

A 44-year-old woman was referred to our hospital with pathological nipple discharge from her left breast. Ultrasonography revealed a solid tumor beneath her left areola that measured 17 mm in diameter with a dilated mammary duct. Contrast-enhanced magnetic resonance imaging showed an early-enhanced cystic tumor and a dilated mammary duct. We performed a duct-lobular segmentectomy using near-infrared indocyanine green (ICG)-fluorescence imaging. Under general anesthesia, a silicone tube was inserted into an orifice of a fluid-discharging mammary duct, and 1 mL dye-fluorescence liquid containing ICG and indigo carmine was injected into the mammary duct. A periareolar incision was made, and the fluorescence image of the demarcated mammary duct segment was obtained. The mammary duct segment was dissected, along with the demarcation line. The cystic lesion and dilated mammary duct were fully resected, and the pathological diagnosis was intraductal papilloma of the breast. We report that near-infrared ICG fluorescence could be applied for imaging of the mammary duct segment, and the fluorescence image allowed for easier duct-lobular segmentectomy for nipple discharge.

Keywords

breast cancer;duct-lobular segmentectomy;fluorescence imaging;indocyanine green;microdochectomy;nipple discharge

1. Introduction

As a new technology that can be used for sentinel lymph node biopsy for breast cancer, near-infrared fluorescence imaging and lymph node mapping using indocyanine green (ICG) have been reported to be feasible and safe under real-time observation of the signals in the subcutis and lymph nodes.1 ;  2 In addition to breast surgery, the near-infrared ICG-fluorescence imaging technique has also been used as a method providing direct intraluminal enhancement in the bile duct for cholecystectomy.3 We report that near-infrared ICG-fluorescence could be successfully applied for imaging of the mammary duct by direct intraluminal injection into the mammary duct, and that it made it possible to identify the resection line of the dilated duct-lobular segment in the mammary parenchyma. This allows for easier duct-lobular segmentectomy for patients with pathological nipple discharge.

2. Case report

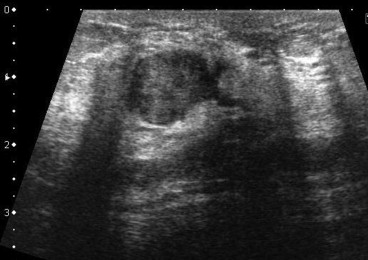
A 44-year-old woman was referred to our hospital with nipple discharge from her left breast. Mammography showed the mass shadow and dilated mammary duct. Ultrasonography revealed a solid tumor beneath the left areola that was 17 mm in diameter, with a dilated mammary duct (Fig.1). Contrast-enhanced magnetic resonance imaging (MRI) showed an early-enhanced and wash-out pattern of the tumor, in addition to the dilated mammary duct. Fine needle aspiration cytology was performed; the findings of which were insufficient to exclude malignancies of the breast. We planned to perform a duct-lobular segment ectomy using near-infrared ICG-fluorescence imaging intraoperatively. Under general anesthesia, a silicone tube intended for the treatment of lacrimal passage obstruction (N-S tube; Kaneka Medicus, Osaka, Japan) was inserted into an orifice of a fluid-discharging mammary duct, and 1 mL dye-fluorescence liquid comprising 0.025 mg/mLICG (Diagnogreen; Daiichi Pharmaceutical, Tokyo Japan) with 0.02 mg/mL indigocarmine (Daiichi Pharmaceutical) was injected into the mammary duct.


Ultrasonography revealed a solid tumor beneath the left areola with a dilated ...


Figure 1.

Ultrasonography revealed a solid tumor beneath the left areola with a dilated mammary duct.

A periareolar incision was made, the subcutaneous tissue was dissected, and the fluorescence image of the demarcated mammary duct segment was obtained thorough a near-infrared fluorescence camera (Photodymanic Eye; Hamamatsu Photonics, Hamamatsu Japan). Along with the demarcation line, the mammary duct segment was dissected (Figure 2 ;  Figure 3). The mammary collecting duct just beneath the nipple was also strongly fluorescent compared to the subareolar tissue, so the duct was also dissected from the orifice on the nipple side. The dissected collecting duct and fluorescence-enhanced mammary duct segment of the parenchyma were removed en bloc toward the peripheral mammary parenchyma, as guided by the fluorescence. During the resection, the cystic lesion and dilated mammary duct were fully removed, and the pathological diagnosis was concluded to be intraductal papilloma of the breast ( Figure 4 ;  Figure 5).


Along with the demarcation line, the mammary duct segment was dissected.


Figure 2.

Along with the demarcation line, the mammary duct segment was dissected.


The fluorescence-enhanced mammary duct segment with collecting duct was removed ...


Figure 3.

The fluorescence-enhanced mammary duct segment with collecting duct was removed en bloc toward the peripheral mammary parenchyma, along with the fluorescence guide.


The cystic lesion and dilated mammary duct were fully removed, and could be seen ...


Figure 4.

The cystic lesion and dilated mammary duct were fully removed, and could be seen in the resected specimen.


The pathological diagnosis was intraductal papilloma of the breast.


Figure 5.

The pathological diagnosis was intraductal papilloma of the breast.

3. Discussion

Nipple discharge is the third most common breast complaint, after breast pain and breast lumps, with a reported prevalence of approximately 5%.4 Nipple discharge can be divided into three categories: physiological, paraphysiological, and pathological. Pathological nipple discharge is defined as spontaneous or bloody nipple discharge from a single duct unilaterally during a nonlactational period.5 The most common causes of pathological nipple discharge are benign lesions, such as intraductal papillomas and mammary duct ectasia,6 however, an underlying malignant lesion can be found in 10–15% of patients with pathological nipple discharge.7; 8 ;  9 Therefore, further investigations are generally recommended.10 The approach for assessing a patient with nipple discharge should begin with a complete clinical history and a physical examination.11 However, most patients with pathological nipple discharge have normal imaging results. Additional imaging that may be considered includes ductography and contrast-enhanced MRI,12 but these cannot replace a histological examination of patients with pathological nipple discharge.13 Surgical examination, including major duct excision, microdochectomy and duct-lobular segmentectomy, is thought to be the gold standard for the diagnosis and treatment of patients with pathological nipple discharge.

In this report, the near-infrared ICG-fluorescence imaging of a dilated mammary duct was successfully performed, using the same fluorescence imaging technique used for the sentinel lymph node biopsy for breast cancer and intraoperative cholangiography during cholecystectomy.3 We could fluorescently visualize the dilated mammary duct segment by directly injecting the ICG solution into the dilated duct. A well-demarcated fluorescent image was obtained of the mammary parenchyma, and dissection along the video guide was easily performed, and we were able to remove the target lesion successfully. Under conventional methods, such as injecting dye solution or inserting a guide into the dilated duct, we would not have been able to see the dissection line on the mammary tissue. Thus, we regard the fluorescence image of the duct segmentectomy obtained using ICG as a novel and useful approach for the diagnosis and treatment of pathological nipple discharge.

With regard to the technical aspects, injection of the same concentration of ICG solution as is used during sentinel node biopsy yielded too much fluorescent signal, so we were unable to obtain an optimal image for duct segmentectomy under such conditions. Compared with the concentration used for the node biopsy, the diluted ICG solution described provided optimal visualization of the mammary duct and its segment.

This procedure was attempted in only three patients, including two with intraductal papillomas and one with a malignant lesion; all of which had a cystic lesion that caused nipple discharge. All of the lesions were included in the resected specimens, which had fluorescent signals. Further investigation is needed to confirm whether the fluorescent area is consistent with the ductal lesion, includes it, or does not include the entire lesion in the case of ductal carcinoma in situ or an extended ductal spreading component.

In conclusion, we were able to apply fluorescence imaging successfully for duct-lobular segmentectomy for treatment of pathological nipple discharge. Under fluorescence observation of the ICG-injected mammary duct and parenchyma, the lesion was successfully removed, along with the well-demarcated line of the mammary parenchyma.

References

  1. 1 T. Kitai, T. Inomoto, M. Miwa, T. Shikayama; Fluorescence navigation with indocyanine green for detecting sentinel lymph nodes in breast cancer; Breast Cancer., 12 (2005), pp. 211–215
  2. 2 H. Abe, T. Umeda, M. Tanaka, et al.; Indocyanine green fluorescence imaging system for sentinel lymph node biopsies in early breast cancer patients; Surg Today, 41 (2011), pp. 197–202
  3. 3 A. Matsui, E. Tanaka, H.S. Choi, et al.; Real-time intra-operative near-infrared fluorescence identification of the extrahepatic bile ducts using clinically available contrast agents; Surgery, 148 (2010), pp. 87–95
  4. 4 M. Lorenzon, C. Zuiani, A. Linda, V. Londero, R. Girometti, M. Bazzocchi; Magnetic resonance imaging in patients with nipple discharge: should we recommend it?; Eur Radiol, 21 (2011), pp. 899–907
  5. 5 I. Montroni, D. Santini, G. Zucchini, et al.; Nipple discharge: is its significance as a risk factor for breast cancer fully understood? Observational study including 915 consecutive patients who underwent selective duct excision; Breast Cancer Res Treat, 123 (2010), pp. 895–900
  6. 6 S. Lanitis, G. Filippakis, J. Thomas, T. Christofides, R. Al Mufti, D.J. Hadjiminas; Microdochectomy for single-duct pathologic nipple discharge and normal or benign imaging and cytology; Breast, 17 (2008), pp. 309–313
  7. 7 M. Morrogh, A. Park, E.B. Elkin, T.A. King; Lessons learned from 416 cases of nipple discharge of the breast; Am J Surg, 200 (2010), pp. 73–80
  8. 8 T.M. Murad, G. Contesso, H. Mouriesse; Nipple discharge from the breast; Ann Surg, 195 (1982), pp. 259–264
  9. 9 H.F. Newman, M. Klein, J.D. Northrup, B.F. Ray, M. Drucker; Nipple discharge. Frequency and pathogenesis in an ambulatory population; N Y State J Med, 83 (1983), pp. 928–933
  10. 10 J.S. Simpson, E.M. Connolly, W.L. Leong, et al.; Mammary ductoscopy in the evaluation and treatment of pathologic nipple discharge:a Canadian experience; Can J Surg, 52 (2009), pp. E245–E248
  11. 11 M. Morrogh, E.A. Morris, L. Liberman, P.I. Borgen, T.A. King; The predictive value of ductography and magnetic resonance imaging in the management of nipple discharge; Ann Surg Oncol, 14 (2007), pp. 3369–3377
  12. 12 J.R. Dietz, J.P. Crowe, S. Grundfest, S. Arrigain, J.A. Kim; Directed duct excision by using mammary ductoscopy in patients with pathologic nipple discharge; Surgery, 132 (2002), pp. 582–588
  13. 13 M. Hahn, T. Fehm, E.F. Solomayer, et al.; Selective microdochectomy after ductoscopic wire marking in women with pathological nipple discharge; BMC Cancer, 9 (2009), p. 151
Back to Top

Document information

Published on 26/05/17
Submitted on 26/05/17

Licence: Other

Document Score

0

Views 10
Recommendations 0

Share this document

claim authorship

Are you one of the authors of this document?