Abstract

Introduction

The fractures around the supramalleolar region are difficult to manage and deformities may occur following insufficient or inadequate treatment attempts. The treatment of those deformities is even more challenging. The available options for surgical fixation have inherent problems considering the soft tissue problems, infection and compliance of the patients. In this study, we report the preliminary outcome of new IMN system in use of supramalleolar deformities.

Patients and Methods

Three patients with supramalleolar deformities were recruited for this study. Two patients had periarticular distal tibia malunions and one patient had nonunion in same region. All patients were operated with using newly designed intramedullary nail system with a unique distal interlocking bolt screw. The outcome for each patient was followed-up and evaluated with using AOFAS score.

Results

The patients were followed up for 3 years, 3 months, and 6 months, respectively. The AOFAS scores were 36, 33, and 21 preoperatively; and 75, 68, and 75 postoperatively in Patients 1, 2 and 3, respectively.

Conclusion

In our patient series, adequate fixation following correction of the deformity was seen. Although the number of the cases are limited this study provides encouraging results regarding the outcome of new IMN system in use of supramalleolar deformities.

Keywords

Tibia ; Fracture ; Supramalleolar ; Intramedullary nail ; Malunion

Introduction

Treatment of posttraumatic supramalleolar fractures may create deformities which are challenging to treat. Plate and Ilizarov are generally the fixation methods of choice for the management of distal tibia (supramalleolar) deformities,1 , 2 , 3 , 4 , 5  and 6 while intramedullary nail (IMN) is not the primary choice of implant. Complications related to fixation of distal tibial osteotomy with IMN include malalignment, hardware failure, and risk of propagation of the distal tip of the IMN into the joint; in addition, when used at the very distal part of the tibia after correction, IMNs have weak stability. It is well known that the stability of distal interlocking screws directly affects the stability of the whole IMN construct.7 , 8  and 9 The new generation of distal interlocking screws has expanded the indications of use of IMNs in fixation of the distal tibia.10  and 11 We designed an IMN with a new type of distal interlocking screw. As confirmation of the aforementioned expansion in the indications of IMNs, we report excellent outcomes in the treatment of tibia fractures, even in the very distal part.12 However, the use of this new IMN has not been reported for fixation of distal tibial nonunion or malunion corrected with osteotomy. We report 3 cases stabilized with our new IMN design.

In the present study, we present the results of the 3 cases in order to discuss the novel IMN system as an adequate fixation method following correction of periarticular distal tibia malunion and nonunion.

Materials and methods

The IMN set included both reamed and unreamed nails. The nails were available in diameters from 10 to 12 mm and in lengths from 280 to 400 mm. All distal supportive bolt-locking screws (DSBLS) in the set were 11 mm in diameter and ranged from 34 to 42 mm in length. The DSBLSs were cannulated in order to allow a set screw to enter and rigidly engage the IMN and DSBLS (Fig. 1 a–c).


Fig. 1


Fig. 1.

Design of DSBLS with set screw; the tip of the new IMN easily engages the DSBLS, and the construct is shown after interlocking.

Oral third-generation cephalosporin was prescribed for the first postoperative month after external fixation retrieval. The following month no antibiotics were administered, and the wounds were inspected for any evidence of infection. If no infection was present, internal fixation was considered successful.

Instability was evaluated preoperatively with anterior drawer test, as well as inversion and eversion tests in order to detect any instability related to the anterior talofibular ligament or deltoid ligament complex which might have occurred during the initial trauma or developed as a result of the deformity.

A precise preoperative plan was devised for each case. The preoperative plan included:

  • Distance for insertion point of appropriate DSBLS, taking into consideration its diameter.
  • Length and diameter of the IMN.
  • Required amount of alignment correction with or without grafting.

Once the preoperative plan was completed, the DSBLS was inserted from the medial to lateral aspect in the distal tibia in a predrilled channel. This step was followed by inserting the selected unreamed nail from the standard point of insertion in the proximal tibia. Insertion of the nail through the medulla was advanced until the engagement of the nail with the DSBLS. Success of the engagement was confirmed with fluoroscopy. If the nail was successfully engaged, it was not possible to advance the wire more than 5 mm in the set screw hole. Proximal interlocking was performed with a proximal guide.

Patient 1

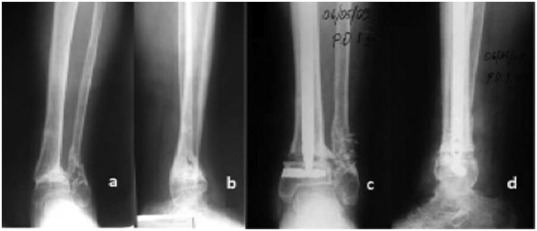
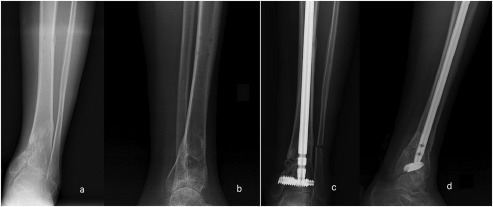
A 49-year-old man suffered a traffic accident. He had an AO type A2-3 fracture of the tibia with no additional injury. He had been operated in a different clinic with Kirschner wires. Three months after the first operation, revision was made with an Ilizarov external fixator and followed up for 7 months at the same clinic. The patient was admitted to our clinic with complaint of pain, inability to walk, and limited ankle movement. Anteroposterior (AP) and lateral ankle X-rays were obtained (Fig. 2 a and b). Malunion and severe complex regional pain syndrome with deformity were diagnosed.


Fig. 2


Fig. 2.

Preoperative AP (a) and lateral (b) , and postoperative AP (c) and lateral (d) X-rays of Patient 1.

A varus producing close-up osteotomy was performed. A 40 × 8-mm DSBLS was inserted parallel and 4 mm above the ankle joint. Two osteotomies were constructed to produce a 12° wedge, which was then removed. The distal osteotomy was 22 mm proximal to the ankle joint. There was nonunion of the fibula at the level of center of rotation of angulation, so that osteotomy was not required for the fibula. Following removal of the wedge, the cut surfaces were opposed, and a 360 × 1-mm nail was inserted through the distal face and interlocked. After interlocking, alignment was reassessed by using the calcaneocrural angle under fluoroscopy. The correction was controlled with postoperative AP-lateral X-rays (Fig. 2 c and d).

Patient 2

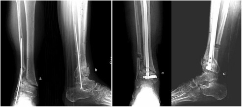
A 39-year-old female had an AO type A2-3 fracture of the tibia with no additional injury. She was treated with Ilizarov frame following distal tibial metaphysis fracture. The Ilizarov frame was removed 7 months postoperatively, and varus deformity was observed. The patient was admitted to our hospital with primary complaint of inability to walk due to the deformity. AP and lateral ankle X-rays were obtained (Fig. 3 a and b).


Fig. 3


Fig. 3.

Preoperative AP (a) and lateral (b) , and postoperative AP (c) and lateral (d) X-rays of Patient 2.

A valgus producing open-up osteotomy was performed. One DSBLS was inserted parallel and 3 mm above the ankle joint. The fibula was osteotomized first at the level of the proximal margin of the tibiofibular syndesmosis. Multiple holes were drilled medially 30 mm proximal to the ankle joint; a thin osteotome was used to connect the holes, sparing the lateral cortex, and the medial surface was split by insertion of thin osteotomes into the gap. The appropriate size of the opening wedge was determined on the basis of the preoperative weight-bearing AP radiograph and confirmed using fluoroscopy. Our new IMN (320 × 10 mm) was inserted proximally and improved through the distal fragment. After completing the distal interlocking, the correction was reassessed with the tibiocalcaneal angle under fluoroscopy in neutral position of the ankle. After completing and fixing the osteotomy, iliac graft was collected and packed into the osteotomy gap. The correction was controlled with postoperative AP-lateral X-rays (Fig. 3 c and d).

Patient 3

A 57-year-old male patient had an AO type A2-3 fracture of the tibia with no additional injury. He was operated at another clinic using an Ilizarov frame. He was followed up for 11 months with the Ilizarov frame, but no union was detected. He was then referred to our clinic. The Ilizarov frame was removed, and there was no obvious pin track infection (Fig. 4 a and b). The aforementioned protocol was observed to ensure the absence of infection, and the patient was operated using our new IMN system. The intramedullary Kirschner wire was removed, and the ununited segment at the fibula was removed. The ununited segment of tibia was opened medially, and fibrous tissue was removed using curettes. An autograft harvested from the healthy bony ends of the fibular nonunion site was used. A 42 × 8 mm DSBLS was inserted 2 mm above the ankle joint. Our new IMN (360 × 12 mm) was inserted proximally through the distal fragment. After completing interlocking, alignment and correction were reassessed using tibiocalcaneal angle under fluoroscopy. Correction was assessed with postoperative AP-lateral X-rays (Fig. 4 c and d).


Fig. 4


Fig. 4.

Preoperative AP (a) and lateral (b) , and postoperative AP (c) and lateral (d) X-rays of Patient 3.

Standard AP and lateral views were obtained weekly for the first 6 weeks postoperatively, after which they were obtained monthly. Radiological callus formation was recorded for each view, and union was assumed if there was callus in both AP and lateral views, without pain on palpation or weight-bearing at the fracture site. Full weight-bearing and range of motion exercises were allowed postoperatively, as tolerated.

Results

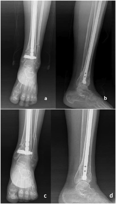
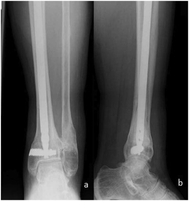
The patients were followed up for 3 years (Fig. 5 a and b), 3 months (Fig. 6 a and b), and 6 months (Fig. 7 a and b), respectively. Osteotomies were performed on Patient 1 and Patient 2; nonunion experienced by Patient 3 healed radiologically and clinically within 6 weeks postoperatively. American Orthopaedic Foot and Ankle Society scores were 36, 33, and 21 preoperatively; and 75, 68, and 75 postoperatively in Patients 1, 2 and 3, respectively (Fig. 8 a–d). There was neither propagation of nails into the ankle joint nor implant failure.


Fig. 5


Fig. 5.

Final follow-up (postoperative 3 years) AP (a) and lateral (b) X-rays of Patient 1.


Fig. 6


Fig. 6.

Final follow-up (postoperative 3 years) AP (a) and lateral (b) X-rays of Patient 2.


Fig. 7


Fig. 7.

Early postoperative AP (a) and lateral (b) and final follow-up (postoperative 3 years) AP (c) and lateral (d) X-rays of Patient 3.


Fig. 8


Fig. 8.

Final follow-up (postoperative 3 months) AP (a) , lateral (b) , standing and plantar (c) , and dorsal (d) flexion photos of Patient 2. AP: Anteroposterior.

Discussion

Supramalleolar osteotomy has been used to restore a more normal joint geometry in cases of distal tibial malalignment, and this procedure has been reported to be effective for the treatment of traumatic moderate ankle arthritis. There is no consensus for the indication criteria of supramalleolar osteotomy in periarticular ankle deformities regarding the grade of osteoarthritis.3 , 13  and 14

Fixation of very distal tibia osteotomy or fracture using IMN is not considered as the first choice in the literature, due to the difficulty of providing adequate stability by IMN systems, as the osteotomy or fracture line moves distally. However, IMNs which have a very distal interlocking option and the recently developed angular stability option of distal interlocking screws have extended the fracture spectrum eligible for intramedullary osteosynthesis.10 To our knowledge, our new design IMN with DSBLS is the most distally located interlocking option among currently available IMNs.12

The Ilizarov technique is a satisfactory form of external fixation, especially in deformity correction. However, this method of treatment is very uncomfortable for patients; additionally, it presents certain inherent complications associated with external fixation, including pin track infection; joint infection; refracture; higher rates of delayed union, nonunion, and malunion; pin breakage; tendon transfixation; and vascular and nerve injury.15  and 16 Another disadvantage of the Ilizarov technique is its long learning curve.

Plate fixation too has its own well known inherent disadvantages, such as extensive soft tissue stripping, disturbance of periosteal circulation, wound complication, infection, and postoperative ankle stiffness. The superiority of the closed application of interlocking nails is preservation of the soft tissue envelope and rigid fixation of the fracture.17

Use of IMNs in this setting has the theoretical risk of nail failure or fracture propagation into the ankle joint. In one study,18 because of the risk of propagation of the tip of the nail into the ankle, closed IMN was shortened by removal of the distal 0.8–1 cm to facilitate interlocking by 2 distal screws in a short metaphyseal fragment. However, in these circumstances, the manufacturer is no longer liable for the performance of the implant or any problems that might arise as a result of implant failure, which becomes the responsibility of the operating surgeon. Furthermore, in practice it is not possible to use this method routinely. Thus, redesign of tibial IMNs, which would help in the future to treat such distal fractures, is strongly recommended. The distal interlocking screw, the DSBLS, of our new design IMN is at the very tip of the distal end of the nail. We believe that our new design is not only successful in cases of distal tibial fractures12 but also an alternative fixation method in distal tibial osteotomies.

In previous studies, full weight-bearing is not permitted for the first postoperative 6–8 weeks, regardless of fixation method. In the present study, full weight-bearing was permitted immediately after surgery without any external support but a cane as needed, as our new angular stability IMN behaves like a reverse T-like single implant after interlocking and squeezing the set screw. Despite the lack of biomechanical testing with the same fracture model, we think that this feature provides three-dimensional rigid fixation. This is one of the very important advantages of our new design IMN. To be able to achieve this stability without any complication related to implant or bone brings many biological, psychological, and economical advantages.

The limitations of this study are the number of cases and the relatively short follow-up period of 2 cases. Moreover, the superiority of this system could be further supported by the results of a biomechanical study, but the study in question has yet to be published. While there are limitations to the present study, we think our results are worth reporting in order to present our new design IMN as an alternative fixation method in periarticular distal tibial malunion and nonunion.

In conclusion, although the results of this technique are still under evaluation and only results of 2 cases are reported here, we intended to publish these cases in order to discuss the new design IMN in the fixation of correction of posttraumatic periarticular ankle deformities. We believe that angular stable IMNs deserve more attention from orthopedic surgeons treating these deformities.

Conflicts of interest

None declared.

References

  1. 1 M. Knupp, L. Bolliger, B. Hintermann; Treatment of posttraumatic varus ankle deformity with supramalleolar osteotomy; Foot Ankle Clin, 17 (1) (2012 Mar), pp. 95–102
  2. 2 C. Mabit, C. Pecout, J.P. Arnaud; Ilizarovs technique in correction of ankle malunion; J Orthop Trauma, 8 (6) (1994 Dec), pp. 520–523
  3. 3 W.C. Lee, J.S. Moon, K. Lee, W.J. Byun, S.H. Lee; Indications for supramalleolar osteotomy in patients with ankle osteoarthritis and varus deformity; J Bone Jt Surg Am, 93 (13) (2011 Jul 6), pp. 1243–1248
  4. 4 P.G. Mangone; Distal tibial osteotomies for the treatment of foot and ankle disorders; Foot Ankle Clin, 6 (3) (2001 Sep), pp. 583–597
  5. 5 R.W. Mendicino, A.R. Catanzariti, C.L. Reeves; Percutaneous supramalleolar osteotomy for distal tibial (near articular) ankle deformities; J Am Podiatr Med Assoc, 95 (1) (2005 Jan- Feb), pp. 72–84
  6. 6 M. Eidelman, A. Katzman, M. Zaidman, Y. Keren; Deformity correction using supramalleolar gigli saw osteotomy and Taylor spatial frame: how to perform this osteotomy safely?; J Pediatr Orthop B, 20 (5) (2011 Sep), pp. 318–322
  7. 7 M. Lenz, B. Gueorguiev, R.G. Richards, et al.; Fatigue performance of angle-stable tibial nail interlocking screws; Int Orthop, 37 (1) (2013 Jan), pp. 113–118
  8. 8 A.L. Ruiz, W.D. Kealey, G.F. McCoy; Implant failure in tibial nailing; Injury, 31 (5) (2000 Jun), pp. 359–362
  9. 9 J. Lin, S.J. Lin, H. Chiang, S.M. Hou; Bending strength and holding power of tibial locking screws; Clin Orthop Relat Res, 385 (2001 Apr), pp. 199–206
  10. 10 D. Höntzsch, M. Blauth, R. Attal; Angle-stable fixation of intramedullary nails using the angular stable locking system® (ASLS)  ; Oper Orthop Traumatol, 23 (5) (2011 Dec), pp. 387–396
  11. 11 R. El Attal, M. Hansen, R. Rosenberger, V. Smekal, P.M. Rommens, M. Blauth; Intramedullary nailing of the distal tibia illustrated with the Expert(TM) tibia nail; Oper Orthop Traumatol, 23 (5) (2011 Dec), pp. 397–410
  12. 12 F. Küçükdurmaz, F. Akpınar, G. Saka, N. Sağlam, C. Acı; A newly designed intramedullary nail with distal interlocking system for tibia fractures in adults - the clinical results; Ulus Travma Acil Cerrahi Derg, 18 (3) (2012 May), pp. 243–249
  13. 13 G. Pagenstert, B. Hintermann, A. Barg, A. Leumann, V. Valderrabano; Realignment surgery as alternative treatment of varus and valgus ankle osteoarthritis; Clin Orthop Relat Res, 462 (2007 Sep), pp. 156–168
  14. 14 G. Pagenstert, M. Knupp, V. Valderrabano, B. Hintermann; Realignment surgery for valgus ankle osteoarthritis; Oper Orthop Traumatol, 21 (1) (2009 Mar), pp. 77–87
  15. 15 D.M. Horn, A.T. Fragomen, S.R. Rozbruch; Supramalleolar osteotomy using circular external fixation with six-axis deformity correction of the distal tibia; Foot Ankle Int, 32 (10) (2011 Oct), pp. 986–993
  16. 16 D. Paley; The correction of complex foot deformities using Ilizarovs distraction osteotomies; Clin Orthop Relat Res, 293 (1993 Aug), pp. 97–111
  17. 17 D.L. Helfet, M. Suk; Minimally invasive percutaneous plate osteosynthesis of fractures of the distal tibia; Instr Course Lect, 53 (2004), pp. 471–475
  18. 18 A.S. Dogra, A.L. Ruiz, N.S. Thompson, P.C. Nolan; Dia-metaphyseal distal tibial fractures – treatment with a shortened intramedullary nail: a review of 15 cases; Injury, 31 (10) (2000 Dec), pp. 799–804
Back to Top

Document information

Published on 31/03/17

Licence: Other

Document Score

0

Views 17
Recommendations 0

Share this document

claim authorship

Are you one of the authors of this document?