Keywords

Hip arthroplasty ; Pelvic pseudotumor ; Polyethylene wear ; Urinary retention

Introduction

Extrinsic compression due to pelvic masses of all types is a frequent cause of urinary retention. Benign or malignant tumors are the most prevalent etiology for pelvic masses as well as various other causes, including infections, infestations and vascular lesions. Pseudotumors due to orthopedic implants are among the rare causes of pelvic masses.

We hereby present a case presenting with hydronephrosis caused by a pelvic pseudotumor, which was related to polyethylene wear of hip arthroplasty.

Case presentation

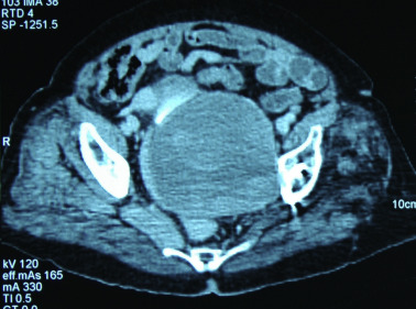
78 year-old female patient referred to the emergency department with left-sided upper abdominal pain. Blood chemistry was normal. Physical examination revealed a mass lesion in the suprapubic area which was initially considered as a distended bladder. Emergency abdominal ultrasound examination demonstrated grade 3 hydronephrosis in the left kidney and a dilated ureter, together with a cystic mass in the pelvis. The mass compressed the bladder and contained multiple echogenic foci within a thin-walled cyst, but no solid components or septae were visible. For further characterization of the mass, an abdominal CT examination with IV contrast material was performed (Fig. 1 ). Grade 3 hydronephrosis of the left kidney and dilation of the ureter into the pelvis was evident. A large cystic mass of 8 cm in diameter was located in the left hemipelvis, compressing the bladder anterolaterally to the right, separating the bladder and the rectum. Containing heterogeneous material, the mass appeared hypodense without any contrast enhancement either in the wall or within. The mass seemed to be adjacent to the left posterolateral pelvic side wall, where streak artefacts emanating from a total hip arthroplasty caused deterioration of the images. No other pathology could be identified.


Abdominal CT. A large hypointense mass displaces the bladder and the rectum, ...


Fig. 1.

Abdominal CT. A large hypointense mass displaces the bladder and the rectum, filling rectovaginal space. Close contact between the mass and acetabulum, with a beak-like extension towards the acetabular screws, is evident. Osteolysis of acetabulum is prominent.

A more detailed patient history revealed that the patient was treated with hemiarthroplasty 25 years earlier after a left femoral neck fracture which was converted to a total arthroplasty after 9 years. Since she did not have any complaints in the left hip during daily activities, she had neglected to visit her orthopedic surgeon afterwards. She could walk without any pain and required no aid during walking.

Aiming to clarify the relationship of the mass to the prosthesis, a pelvic MRI examination was scheduled (Fig. 2 ). The lesion was hypointense in T1 and hyperintense in T2 weighted images. There were no solid components within the mass as well as a contrast enhancement. The heterogeneous material within the lesion appeared hypointense on both sequences. It had smooth contours and a thin, and hypointense wall with equal thickness throughout its circumference. There was significant displacement of the bladder and the uterus, and the mass caused significant separation between the bladder and the rectum. Hydronephrosis was due to compression and displacement of the ureteric insertion. The key finding of the presence of a focal continuity between the medial acetabular wall and the lesion, identified the hip as the origin of the lesion, leading to the diagnosis of a pseudotumor.


Coronal T2 weighted MRI. The mass is heterogeneous in nature, T2 hyperintense ...


Fig. 2.

Coronal T2 weighted MRI. The mass is heterogeneous in nature, T2 hyperintense and compresses the left ureteric orifice causing ureteral dilation.

In direct radiographs (Fig. 3 ), the femoral head was located eccentrically and superiorly within the acetabular cup, indicating a severe polyethylene wear. A lytic area larger than 1.5 cm was present in the ischium and also in the superior pubic ramus. Radiographic tear drop was not visible. The acetabular socket was adjacent to the Köhlers line. Despite these severe lytic changes in the inferior acetabulum and ischion, the superior acetabular coverage was almost intact, with a bone defect less than 2 cm. The acetabular defect was classified as grade 2C according to Paprosky classification.1


AP radiograph. Loosening and osteolysis around the acetabular component, loss of ...


Fig. 3.

AP radiograph. Loosening and osteolysis around the acetabular component, loss of the tear drop and proximity of the acetabular component to the Köhlers line.

The patient was first considered for surgical decompression of the excretory system and relief of intraabdominal displacement, to be followed with a revision arthroplasty. The cystic sac containing a significant amount of debris material was aspirated and excised by the general surgeon. Fibrous wall of the cyst was continuous with the defect in the pelvic wall (Fig. 4 ). Decompression was successful and the patient was discharged because she denied a revision hip surgery. After 10 months, she referred to the hospital with recurrent symptoms of abdominal pain. The pseudotumor had reappeared in the same location, having the same size and compressive effect. This time a limiting pain was also present in the left hip joint. Hydronephrosis was relieved after insertion of double J catheter into the left ureter and the patient was referred to orthopedic department for revision of hip arthroplasty. During the revision surgery, following removal of loose acetabular component, the cystic lesion was visible through the acetabular defect and was aspirated. Acetabular defect was reconstructed using an acetabular reconstruction ring (Contour, Smith-Nephew, Memphis, TN, USA) supported with bone grafting and a cemented acetabular component was implanted. (Fig. 5 ) Femoral component was stable despite moderate osteolysis, thus only the femoral head was replaced. She was discharged after uneventful recovery.


Appearance of the aspirated material.


Fig. 4.

Appearance of the aspirated material.


AP radiograph after revision.


Fig. 5.

AP radiograph after revision.

Discussion

The joint capsule is well-known to exhibit an inflammatory response to wear debris which appears due to polyethylene wear in prosthetic replacements.2 Macrophages, foreign-body giant cells and T-cells are mainly responsible for this response, while wear particle size and density of these particles in tissues are important parameters.3 The severity of the reaction within the joint is directly correlated to the amount of volumetric wear.4 Inflammatory process may also cause osteolysis of the bony structures of the effective joint space. Excessive dilatation of the joint capsule or, even cystic dilatations of soft tissues surrounding osteolytic defects may form cystic masses, which are recently named as pseudotumors.5 This terminology was previously used to describe lesions due to hemophilia. Though not common, these lesions were reported after total hip arthroplasties.4 ; 6 ; 7  ;  8 With the increased use of metal-on-metal prosthesis, a special and more common type of pseudotumor referred to as ALVAL was introduced to the literature.5 ; 7 ; 8  ;  9

Clinical presentation of pseudotumors is dependent on their size and localization. While they may appear as incidental lesions without pain or failure of arthroplasty, various clinical symptoms and signs have been described in the literature, including gynecologic symptoms,10 femoral vein compression syndrome11  ;  12 and femoral nerve palsy,13 as well as complaints involving the urinary system.8 ; 14  ;  15 Urinary retention caused by pseudotumors were also reported previously.8  ;  15 The presented patient differs in that the diagnosis of loosening and wear of the implant was actually possible through the complaints caused by urinary retention.

Pelvic extension of these lesions is mostly due to a defect in the bony outline or the capsule of the joint. The acetabular defect constituted the weak area for herniation of the inflammatory mass into the pelvis in the reported patient. Timely revision of the arthroplasty in such a case is important in eliminating the cause of the pathology. In the presented case, this could not be performed since the patient was painless and thus, unwilling to receive the operation.

Scheduled follow-up visits after total hip arthroplasty should not be neglected and a full clinical evaluation should aim to evaluate the prosthesis as well as the surrounding tissues. Pseudotumors should be considered in the differential diagnosis of cystic masses around the joint. Disciplines other than orthopedics should be informed about the complications of THA involving other organ systems.

References

  1. 1 W.G. Paprosky, P.G. Perona, J.M. Lawrence; Acetabular defect classification and surgical reconstruction in revision arthroplasty. A 6-year follow-up evaluation; J Arthroplast, 9 (1994), pp. 33–44
  2. 2 H.G. Willert, M. Semlitsch; Reactions of the articular capsule to wear products of artificial joint prostheses; J Biomed Mater Res, 11 (1977), pp. 157–164
  3. 3 E.L. Boynton, M. Henry, J. Morton, J.P. Waddell; The inflammatory response to particulate wear debris in total hip arthroplasty; Can J Surg, 38 (1995), pp. 507–515
  4. 4 U. Kesteris, K. Jonsson, O. Robertsson, R. Onnerfält, H. Wingstrand; Polyethylene wear and synovitis in total hip arthroplasty: a sonographic study of 48 hips; J Arthroplast, 14 (1999), pp. 138–143
  5. 5 H. Pandit, S. Glyn-Jones, P. McLardy-Smith, et al.; Pseudotumours associated with metal-on-metal hip resurfacings; J Bone Jt Surg Br, 90 (2008), pp. 847–851
  6. 6 O. Korkala, K.J. Syrjanen; Intrapelvic cyst formation after hip arthroplasty with a carbon fibre-reinforced polyethylene socket; Arch Orthop Trauma Surg, 118 (1998), pp. 113–115
  7. 7 K.H. Mak, T.K. Wong, N.C. Poddar; Wear debris from total hip arthroplasty presenting as an intrapelvic mass; J Arthroplast, 16 (2001), pp. 674–676
  8. 8 S.E. Murgatroyd; Pseudotumor presenting as a pelvic mass: a complication of eccentric wear of a metal on polyethylene hip arthroplasty; J Arthroplast, 820 (5) (2012 May;27), pp. e1–e4 http://dx.doi.org/10.1016/j.arth.2011.09.008 Epub 2011 Oct 22
  9. 9 T. Iwamoto, K. Ikari, S. Momohara; Pseudotumor from a metal-on-metal hip; J Rheumatol, 38 (2011), p. 2265
  10. 10 E. Thienpont, H. Vernaeve; Reactive pelvic cyst following total hip arthroplasty. A case report; Acta Orthop Belg, 69 (2003), pp. 292–294
  11. 11 B. Beksac, R. Tozun, S. Baktiroglu, N. Sener, A. Gonzalez Della Valle; Extravascular compression of the femoral vein due to wear debris-induced iliopsoas bursitis: a rare cause of leg swelling after total hip arthroplasty; J Arthroplast, 22 (2007), pp. 453–456
  12. 12 J.S. Shilt, R. Rozencwaig, M.R. Wilson; Pelvic mass secondary to polyethylene and titanium alloy wear debris resulting in recurrent deep vein thrombosis; J Arthroplast, 12 (1997), pp. 946–949
  13. 13 A. Schuh, S. Werber, G. Zeiler, B. Craiovan; Femoral nerve palsy due to excessive granuloma in aseptic cup loosening in cementless total hip arthroplasty; Zentralbl Chir, 129 (2004), pp. 421–423
  14. 14 W. Leigh, P. O'Grady, E.M. Lawson, N.A. Hung, J.C. Theis, J. Matheson; Pelvic pseudotumor: an unusual presentation of an extra-articular granuloma in a well-fixed total hip arthroplasty; J Arthroplast, 23 (2008), pp. 934–938
  15. 15 T. Hananouchi, M. Saito, N. Nakamura, T. Yamamoto, K. Yonenobu; Huge pelvic mass secondary to wear debris causing ureteral obstruction; J Arthroplast, 20 (2005), pp. 946–949
Back to Top

Document information

Published on 31/03/17

Licence: Other

Document Score

0

Views 121
Recommendations 0

Share this document

claim authorship

Are you one of the authors of this document?