Summary

Donor operation in adult living donor liver transplantation is associated with significant postoperative morbidity. To avoid laparotomy wound complications and shorten postoperative recovery, laparoscopic liver graft harvest has been developed recently. However, to determine the cut point of bile duct is challenging. Herein, we report the application of totally laparoscopic approach for right liver graft harvest in a donor with trifurcation of the bile duct. A19-year-old man volunteered for living donation to his father who suffered from hepatitis B virus-related cirrhosis of liver and hepatocellular carcinoma. The graft was 880 mL with a single right hepatic artery and portal vein. The graft to recipient weight ratio was 1.06. The middle hepatic vein was preserved for the donor and the liver remnant was 42.3%. Two branches of middle hepatic veins were > 5 mm in diameter and needed reconstruction with cryopreserved allograft. Ductoplasty using laparoscopic intracorporeal suture technique was done to achieve single orifice of the graft bile duct. The postoperative course was uneventful for the donor. This report adds evidence of the feasibility of pure laparoscopic right donor hepatectomy and describes the necessary steps for bile duct division in donors with trifurcation of bile duct.

Keywords

donor hepatectomy;laparoscopic hepatectomy;living donor liver transplantation;trifurcation of bile duct

1. Introduction

In countries with low cadaveric organ donation rates, living donor liver transplantation is one of the essential treatments for patients with end-stage liver disease. However, donor operation is associated with significant postoperative complications.1 Most morbidities are related to the biliary tree or laparotomy wound.2 Some modifications of donor operation have been advocated to improve the donor recovery. Nagai et al3 reported midline laparotomy for right donor hepatectomy. Hand-assisted laparoscopic right donor hepatectomy has been reported by Koffron et al.4 Wakabayashi et al5 reported a hybrid approach that involved laparoscopic mobilization of the right liver. Parenchyma transection and hilar dissection were performed through a right subcostal incision using traditional instruments.5 Cherqui et al6 reported pure laparoscopic donor hepatectomy for pediatric liver transplantation using a left lateral section graft in 2002. Despite the exponential development of laparoscopic hepatectomy, pure laparoscopic donor hepatectomy has been used almost exclusively in pediatric liver transplant in the past. With the accumulation of experience of laparoscopic major hepatectomy, especially the dissection around great vessels7 ;  8 and techniques for biliary reconstruction,9 laparoscopic right hepatectomy has become an acceptable procedure.10

Soubrane et al11 reported the first pure laparoscopic right donor hepatectomy in 2013. To date, only sporadic case reports of laparoscopic right donor hepatectomy for donors with favorable anatomy can be found in the literature and the standard technique remains to be established.12 ;  13 The main reason is probably the complexity of the procedure including the division of the bile duct. For donors with trifurcation of the bile duct, the determination of cut end of the bile duct could be even more challenging in pure laparoscopic right donor hepatectomy.

2. Case report

The donor was a 19-year-old man, willing to donate his right liver to his father who was a hepatitis B carrier with cirrhosis of the liver. The recipient also had hepatocellular carcinoma and had received hepatectomy previously. The tumor recurred and he received multiple sessions of transarterial chemoembolization. He also suffered from repeat esophageal and gastric variceal bleeding. Therefore, after thorough physical and psychosocial evaluation, he was put on the waiting list for liver transplantation. His pretransplant model for end-stage liver disease score was 10. Due to a scarcity of deceased donors in our country, living donor transplantation was suggested. The donor received thorough physical and psychosocial evaluation to determine the feasibility and safety of right liver donation. Comprehensive liver images had been performed, including computed tomography, magnetic resonance imaging cholangiography, and volumetry. The whole liver volume of the donor was 1474 mL and the right liver (segments 5–8) without the middle hepatic vein (MHV) was 940 mL. The graft/recipient weight ratio for the recipient was 1.11. The liver remnant was 536 mL, 36% of the original liver volume of the donor. Two branches of MHV that were > 5 mm in diameter needed reconstruction. Therefore, resection plane modification to decrease graft volume and increase liver remnant was planned prior to the surgery. Liver image of the donor revealed single right hepatic artery and adequate distance between right and left portal vein branches. However, magnetic resonance imaging cholangiography demonstrated trifurcation of the bile duct (Fig. 1A).


Preoperative graft image. (A) Trifurcation of the bile duct and (B) hepatic ...


Figure 1.

Preoperative graft image. (A) Trifurcation of the bile duct and (B) hepatic vein.

The results of pretransplant evaluation of the donor and recipient were presented to the ethics committee of our institute. Informed consents were obtained from the donor himself and two close family members after full explanation of the potential risks of liver donation and laparoscopic surgery. The originality of the laparoscopic right donor hepatectomy had been explained to the donor and his family. The potential risks and possible conversion to laparotomy were also informed, despite the experience of more than 50 laparoscopic right hepatectomies and the success of the previous five pure laparoscopic right donor hepatectomy without open conversion in our team.

This living donor liver transplantation surgery was authorized in advance by the National Health Insurance administration in Taiwan.

2.1. Surgical procedure

Under endotracheal general anesthesia, the donor was placed in the reverse Trendelenburg position. The port positions are illustrated in Fig. 2. The operating surgeon stood between the donors legs. The assistant surgeon and cameraman were at the left side of the donor. The CO2 insufflation pressure was set at 15 mmHg through the whole procedure. Following initial mobilization of the right liver, the Calots triangle was dissected. The cystic artery was divided between metallic clips and the gall bladder was freed from the liver bed. The cystic duct was prepared for intraoperative cholangiography (IOC). Dissection of the right hepatic artery and right portal vein followed (Fig. 3). These two structures were looped with vascular tapes.


Port positions.


Figure 2.

Port positions.


Laparoscopic view of hepatic hilum dissection. CHD = common hepatic duct; ...


Figure 3.

Laparoscopic view of hepatic hilum dissection. CHD = common hepatic duct; RHA = right hepatic artery; RPV = right portal vein.

Intraoperative ultrasonography was done to identify the MHV. The parenchymal transection plane was determined by the branching pattern of MHV. A harmonic scalpel (Ethicon Endosurgery, Cincinnati, OH, USA) was used for parenchymal transection. The cut point of the bile duct was determined by real time fluoroscopic IOC. Biliary probe was also used to identify the trifurcation point of the right and left bile duct (Fig. 4). After completing liver parenchyma transection, the bile duct was cut on the branching point between the right anterior duct and common hepatic duct. Then the cut plane went upward to include the right posterior duct in a common patch. A single orifice of the bile duct was achieved in this right liver graft. Horizontal ductoplasty using laparoscopic intracorporeal suture technique was done (Fig. 5). Then a Pfannenstiel incision was made. Hepatic artery and portal vein were divided using Hem-o-Lok (Weck Surgical Instruments, Telefex Medical, Durham, NC, USA). The right hepatic vein was divided with a vascular stapler (Endopath Endocutter; Ethicon Endosurgery). Then the graft was put in a retrieval bag and removed. Graft perfusion using histidine–tryptophan–ketoglutarate solution started immediately. Venoplasty for the graft right hepatic vein and reconstruction of the branches of middle hepatic vein using cryopreserved allograft were done prior to graft implantation. Completion IOC was performed to ensure the patency of the donor left bile duct (Fig. 6).


Checking the bile duct orifices with a biliary probe.


Figure 4.

Checking the bile duct orifices with a biliary probe.


Schematic demonstration of bile duct cut plane and horizontal ductoplasty. ...


Figure 5.

Schematic demonstration of bile duct cut plane and horizontal ductoplasty. LHD = left hepatic duct; RAD = right anterior duct; RPD = right posterior duct.


(A) Initial intraoperative cholangiography shows trifurcation of bile duct. (B) ...


Figure 6.

(A) Initial intraoperative cholangiography shows trifurcation of bile duct. (B) Completion intraoperative cholangiography shows the patency of left hepatic duct in liver remnant.

The recipient operation was uneventful. The right hepatic vein of the graft was anastomosed to the inferior vena cava of the donor. The vein graft connecting V5 and V8 was anastomosed to the left hepatic vein of the donor. The bile duct of the graft was anastomosed to the common hepatic duct of the donor with interrupted sutures without the placement of a biliary stent.

2.2. Perioperative outcomes and postoperative follow-up

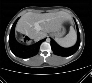
The operation time of graft harvest was 415 minutes. Estimated blood loss was 150 mL, with no need to transfusion for the donor. The donor was allowed to resume oral intake on postoperative Day (POD) 1 and full meals on POD 4. Subcutaneous hematoma was found in the Pfannenstiel incision and improved after wound care. He was discharged home in a stable condition on POD6. At follow-up of 12 months, there was no complication especially in terms of the biliary tree (Fig. 7). The recipient experienced one episode of pneumonia after transplantation but remained complication free later on.


Computed tomography of the donor 5 months after surgery.


Figure 7.

Computed tomography of the donor 5 months after surgery.

3. Discussion

Superior perioperative outcomes of the donors and comparative recipient results have been shown after laparoscopic left lateral graft harvest.14 For right liver graft harvest in adult liver transplantation, a hand-assisted and laparoscopic-assisted hybrid approach has proved to be beneficial in terms of wound complications and shorter donor recovery.15 The graft quality is comparable to that harvested by traditional laparotomy.16 With short midline laparotomy and hybrid approach, surgical exposure could be compromised, however, if the donor had a large anteroposterior diameter, large graft, and fatty change of the graft3 difficulty in controlling bleeding for a deep area is a possible concern. To ensure the donor safety, IOC with real-time fluoroscope is a favored practice in laparoscopic right donor hepatectomy. In the present case, radiopaque thread was used to mark the cut point of the bile duct. A biliary probe was also used to find the orifices of three major bile duct branches. Single orifice of the graft bile duct is beneficial to avoid future biliary complications in the recipient. For the donor, bile duct opening was closed with an intracorporeal suture to avoid stricture. This technique is complex but safe. The wound for graft extraction is placed in the low abdomen. It is not only less painful but also better in cosmesis. The warm ischemia time for this donor was 6 minutes; it seemed longer but acceptable compared to that in open donor hepatectomy. To shorten warm ischemia time, it is advisable to prepare the graft completely and recheck necessary laparoscopic instruments prior to vascular division. Accurate parenchyma transection is also crucial to preserve graft integrity and avoid complications in the donor. The Cantlies line is usually determined by temporary clamping of the right hepatic artery and portal vein. In this donor, we used intraoperative ultrasonography to demonstrate the course of the MHV and decided to move the parenchyma transection plane to the right side of the Cantlies line. By doing so, the liver remnant of the donor was secured while preserving adequate graft volume to the recipient.

4. Conclusion

With currently available techniques, totally laparoscopic right donor hepatectomy is feasible and safe in selected donors. The critical steps of donor hepatectomy can be addressed well through the laparoscopic approach. The operation time is significantly longer in this report despite the successes of five previous laparoscopic right donor hepatectomy in our team. However, shorter operation times could be expected after a learning curve. The donor and recipient outcomes are acceptable. For donors with trifurcation of the bile duct, IOC and bile duct probing can determine the bile duct cut point. Laparoscopic bile ductoplasty is a time-consuming and demanding technique, but beneficial in terms of donor safety and graft quality. The appearance of pure laparoscopic right donor hepatectomy is rather a reflection of stepwise evolution of advanced laparoscopic hepatobiliary surgery than an abrupt technical mutation.17 Laparoscopic donor right hepatectomy in a donor with trifurcation of bile duct is highly sophisticated and involves many advanced laparoscopic techniques. Therefore, this procedure should be reserved for highly specialized teams with experience of advanced laparoscopic hepatobiliary surgery as well as living donor liver transplantation. Prospective registry and further large randomized studies are needed to clarify the benefits of this approach.

References

  1. 1 E.C. Hall, B.J. Boyarsky, N.A. Deshpande, et al.; Perioperative complications after live-donor hepatectomy; JAMA Surg, 149 (2014), pp. 288–291
  2. 2 T. Iida, Y. Ogura, F. Oike, et al.; Surgery-related morbidity in living donors for liver transplantation; Transplantation, 89 (2010), pp. 1276–1282
  3. 3 S. Nagai, L. Brown, A. Yoshida, D. Kim, M. Kazimi, M.S. Abouljoud; Mini-incision right hepatic lobectomy with or without laparoscopic assistance for living donor hepatectomy; Liver Transpl, 18 (2012), pp. 1188–1197
  4. 4 A.J. Koffron, R. Kung, T. Baker, J. Fryer, L. Clark, M. Abecassis; Laparoscopic-assisted right lobe donor hepatectomy; Am J Transplant, 6 (2006), pp. 2522–2525
  5. 5 G. Wakabayashi, H. Nitta, T. Takahara, M. Shimazu, M. Kitajima, A. Sasaki; Standardization of basic skills for laparoscopic liver surgery towards laparoscopic donor hepatectomy; J Hepatobiliary Pancreat Surg, 16 (2009), pp. 439–444
  6. 6 D. Cherqui, O. Soubrane, E. Husson, et al.; Laparoscopic living donor hepatectomy for liver transplantation in children; Lancet, 359 (2002), pp. 392–396
  7. 7 G. Honda, M. Kurata, Y. Okuda, et al.; Totally laparoscopic hepatectomy exposing the major vessels; J Hepatobiliary Pancreat Sci, 20 (2013), pp. 435–440
  8. 8 K.H. Chen, K.S. Cheng, S.H. Huang, S.H. Chu; Laparoscopic caudate hepatectomy for cancer—an innovative approach to the no-man’s land; J Gastrointest Surg, 17 (2013), pp. 522–526
  9. 9 K.H. Chen, S.D. Chen, Y.D. Chen, et al.; Robotic left hepatectomy with revision of hepaticojejunostomy; Asian J Surg, 37 (2014), pp. 106–109
  10. 10 I. Dagher, N. O'Rourke, D.A. Geller, et al.; Laparoscopic major hepatectomy: an evolution in standard of care; Ann Surg, 250 (2009), pp. 856–860
  11. 11 O. Soubrane, F. Perdigao Cotta, O. Scatton; Pure laparoscopic right hepatectomy in a living donor; Am J Transplant, 13 (2013), pp. 2467–2471
  12. 12 F. Rotellar, F. Pardo, A. Benito, et al.; Totally laparoscopic right-lobe hepatectomy for adult living donor liver transplantation: useful strategies to enhance safety; Am J Transplant, 13 (2013), pp. 3269–3273
  13. 13 H.S. Han, J.Y. Cho, Y.S. Yoon, et al.; Total laparoscopic living donor right hepatectomy; Surg Endosc, 29 (2015), p. 184
  14. 14 K.H. Kim, D.H. Jung, K.M. Park, et al.; Comparison of open and laparoscopic live donor left lateral sectionectomy; Br J Surg, 98 (2011), pp. 1302–1308
  15. 15 S. Eguchi, M. Takatsuki, A. Soyama, et al.; Elective living donor liver transplantation by hybrid hand-assisted laparoscopic surgery and short upper midline laparotomy; Surgery, 150 (2011), pp. 1002–1005
  16. 16 A. Thenappan, R.C. Jha, T. Fishbein, et al.; Liver allograft outcomes after laparoscopic-assisted and minimal access live donor hepatectomy for transplantation; Am J Surg, 201 (2011), pp. 450–455
  17. 17 M.E. Akoad, E.A. Pomfret; Laparoscopic live donor hepatectomy: random mutation or stepwise evolution?; Am J Transplant, 13 (2013), pp. 2243–2244
Back to Top

Document information

Published on 26/05/17
Submitted on 26/05/17

Licence: Other

Document Score

0

Views 13
Recommendations 0

Share this document

claim authorship

Are you one of the authors of this document?