Summary

Meckel diverticulum is the most common congenital anomaly of the small intestine, occurring in about 2%–4% of the population. Meckel diverticulum results from incomplete closure of the omphalomesenteric duct. The presentation of symptomatic Meckel diverticulum includes gastrointestinal hemorrhage, intestinal obstruction, volvulus, intussusception, diverticulitis, and neoplasms. The development of fistula is an extremely rare complication. Previous literature has even shown an enterocolonic fistula, a vesicodiverticular fistula, ileorectal fistula, and fistula-in-ano. To the best of our knowledge, we present the first case of the fistula complicated between Meckel diverticulum and the appendix in a review of the English literature.

Keywords

complications;fistula;Meckel diverticulum

1. Introduction

Meckel diverticulum is the most common congenital anomaly of the small intestine, occurring in about 2%–4% of the population.1 The etiology of Meckel diverticulum arises from the incomplete closure of the omphalomesenteric duct.2 Meckel diverticulum is typically found at antimesenteric side of distal ileum within 90 cm from ileocecal valve in more than 90% of cases.3

Heterotopic tissue within the Meckel diverticulum most commonly is gastric mucosa (50% of all Meckel diverticula). Heterotopic gastric mucosa causes ulceration and bleeding.4 Pancreatic mucosa is identified in about 5% of diverticula; less commonly, these diverticula may include colonic mucosa. Most Meckel diverticula are found incidentally by autopsy, laparotomy, or barium studies. Clinical manifestations of Meckel diverticulum are variant such as abdominal pain, vomiting, tarry stool, currant-jelly stool, and palpable mass. The chief clinical presentation is gastrointestinal bleeding in about 25%–50% of symptomatic Meckels diverticulum. The other presentation is intestinal obstruction, volvulus, intussusception, and diverticulitis. More rare complications include benign neoplasms reported as leiomyomas, angiomas, and lipomas. Malignant neoplasms include adenocarcinoma, sarcoma, and carcinoid tumor.5 The fistula formation is an extremely rare complication of Meckel diverticulum. We present this case complicated with the fistula between Meckel diverticulum and the appendix, which has not been reported previously in the English literature.

2. Case report

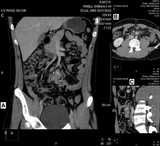
A man 18 years of age came to our outpatient department and was hospitalized because of tarry stool. There were no other associated gastrointestinal symptoms and signs, such as nausea, vomiting, epigastralgia, abdominal pain, or diarrhea. A series of tests revealed the following: hemoglobin level of 8.9 mg/dL; abdominal computed tomography (CT) scan showed a Meckel diverticulum with infection and one polypoid lesion within the diverticulum (Fig. 1); and echnetium-99m–labeled ectopic gastric mucosal scintigraphy showed a focal radiotracer uptake in the middle abdomen (at the level of aortic bifurcation) since 15-minute image and increased radioactivity with time as gastric mucosa pattern, synchronized.


Fistula (arrow) of Meckel diverticulum and apex of appendix; (A) coronal view; ...


Figure 1.

Fistula (arrow) of Meckel diverticulum and apex of appendix; (A) coronal view; (B) axial view; and (C) sagittal view.

Exploratory laparotomy was performed due to persistent gastrointestinal hemorrhage. We find a connection band between Meckel diverticulum and the appendix. Segmental resection of the ileum and appendectomy were performed. The specimen revealed a fistula formation between Meckel diverticulum and the apex of appendix (Fig. 2). The pathology report showed that the Meckel diverticulum contained heterotopic gastric mucosa, submucosa, and muscularis propria. The connection tract between the apex of the appendix and Meckel diverticulum is identified in the microscopic photograph (Fig. 3). The patient recovered uneventfully and no more episodes of tarry stool were noted in the subsequent follow-up in the outpatient department.


Appendix (short black arrow), fistula (white arrow), and Meckel diverticulum ...


Figure 2.

Appendix (short black arrow), fistula (white arrow), and Meckel diverticulum (long black arrow). The ileum measures 7 cm in length and 5.2 cm in width. The appendix measures 6 cm in length and 1.1 cm in diameter. The mass lesion measures 3.7 × 2.5 × 1.4 cm in size. Grossly, the mucosa of the small intestine is edematous and congested. After dissection of the appendix, it shows connection between the apex of the appendix and the mass lesion.


Pathologic photograph (hematoxylin and eosin stain, 20×) reveals the connection ...


Figure 3.

Pathologic photograph (hematoxylin and eosin stain, 20×) reveals the connection tract (arrowhead) between the appendix (long black arrow) and Meckel diverticulum (short black arrow).

3. Discussion

The complications of Meckel diverticulum include ulceration, hemorrhage, intussusception, intestinal obstruction, perforation and, very rarely, vesicodiverticular fistula and tumors (carcinoid tumour, sarcoma, stromal tumor, carcinoma, adenocarcinoma, and intraductal papillary mucinous adenoma of the pancreatic tissue). The incidence of the complications of Meckel diverticulum was 25% according to Meckel.1 In adults, the usual complications of Meckel diverticulum are obstruction (14%–53%), ulceration (54%), diverticulitis, and perforation. Nevertheless, in children, the most common complication is hemorrhage.1

It is a common complication that fistula formations are found between other hollow organs among colonic diverticular disease; however, the fistula with Meckel diverticulum is extremely rare. The literature concerning fistula related to Meckel diverticulum mentioned previously included an enterocolonic fistula,6 a vesicodiverticular fistula,7 ileorectal fistula,8 and Meckel diverticulum with fistula-in-ano.9 The fistula formation is related to the inflammation in Meckel diverticulum and the involvement to the adjacent visceral organ. The aim of surgical treatment was to resect the inflamed Meckels diverticulum and close the fistula.

Surgical resection (diverticulectomy or segmental resection of ileum) is the best treatment option for symptomatic Meckel diverticulum.1 Simple diverticulectomy is suitable for Meckel diverticulum with a narrow base. Segmental resection of ileum and anastomosis should be considered in those cases that involve adjacent ileum with inflammation.10 In this case, segmental bowel resection was done due to inflammation of adjacent ileum and fistula formation with the appendix.

Herein, we present the first case of the fistula between the Meckel diverticulum and the appendix that has not been reported previously. Although such cases are rarely encountered, surgeons should be aware of this possibility to avoid misdiagnosis, which could lead to progression of this disease.

References

  1. 1 J. Sagar, V. Kumar, D. Shah; Meckels diverticulum: a systematic review; J Royal Soc Med, 99 (2006), pp. 501–505
  2. 2 M. Menezes, F. Tareen, A. Saeed, et al.; Symptomatic Meckels diverticulum in children: a 16-year review; Ped Surg Int, 24 (2008), pp. 575–577
  3. 3 J.C. DiGiacoma, F.J. Cottone; Surgical treatment of Meckels diverticulum; South Med J, 86 (1993), pp. 671–675
  4. 4 Y.Y. Tseng, Y.J. Yang; Clinical and diagnostic relevance of Meckels diverticulum in children; Eur J Ped, 168 (2009), pp. 1519–1523
  5. 5 C.M. Townsend; Sabiston Textbook of Surgery; (18th ed.)Elsevier Saunders, Philadelphia (2007) 1322–1323
  6. 6 E. Reimer, J. Struckmann; An enterocolic fistula originating from a Meckels diverticulum; Ugeskrift Laeger, 150 (1988), pp. 1365–1366
  7. 7 C. Dearden, W. Humphreys; Meckels diverticulum: a vesico-diverticular fistula; Ulster Med J, 52 (1983), pp. 73–74
  8. 8 N. Watt, I. Scott, M. Williams; Unusual presentation of Meckels diverticulum; J Royal Soc Med, 78 (1985), pp. 258–260
  9. 9 I. McKay, J. Calder; Meckels diverticulum presenting as fistulain-ano; Br Med J, 4 (1973), pp. 31–32
  10. 10 R. Varcoe, S. Wong, C. Taylor, et al.; Diverticulectomy is inadequate treatment for short Meckels diverticulum with heterotopic mucosa; ANZ J Surg, 74 (2004), pp. 869–872
Back to Top

Document information

Published on 26/05/17
Submitted on 26/05/17

Licence: Other

Document Score

0

Views 12
Recommendations 0

Share this document

claim authorship

Are you one of the authors of this document?