Summary

We herein present the case of a woman who had esophageal thermal injury after having a spicy hot pot. The patient came to us with complaints of odynophagia, dysphagia, and burning sensation at the throat and upper chest while eating or drinking for 1 day. An upper endoscopy was conducted 1 day after the onset of symptoms, which showed a linear, disrupted bullae-like lesion with a thin detached membrane. Our report depicts the early endoscopic finding of esophageal thermal injury following the ingestion of hot food. The finding is different from what has been often reported as the “candy-cane” appearance of esophageal injury, which results from the ingestion of hot liquid.

Keywords

Esophagus ; Odynophagia ; Thermal injury

Introduction

Esophageal thermal injury can be caused by ingestion of hot liquid (hot tea or soup) [1] ; [2]  ;  [3] , hot food (hamburger, lasagna, prawn) [4] ; [5]  ;  [6] , freebase cocaine [7] , or by left atrial catheter ablation [8] . Patients commonly present with odynophagia, dysphagia, and chest pain. The diagnosis of thermal injury can be made by carefully studying the patients history along with compatible endoscopic findings. In most reported cases, upper endoscopy is conducted from 2 days to 28 days after the onset of symptoms. We herein present the case of a woman who had esophageal thermal injury after having a spicy hot pot. The patient suffered from odynophagia, dysphagia, and chest discomfort after having a spicy hot pot. She underwent upper gastrointestinal endoscopy on the following day, which showed esophageal thermal injury caused by ingestion of the solid food.

Case report

A 47-year-old healthy woman visited our hospital with complaints of odynophagia, dysphagia, and burning sensation at the throat and the upper chest that started after swallowing a bite of extremely hot dumpling on the previous evening when she had a spicy hot pot (a simmering food in spicy hot soup) for dinner. She felt burning sensations in her tongue and throat along with odynophagia and upper chest pain with every swallowing afterward. At first, she thought it would resolve soon. However, the pain progressed and she started to experience mild dysphagia. She visited our hospital for further evaluation on the next day.

The patients medical history was unremarkable. She did not take any drugs, antibiotics, or caustic material in the past few months. She also denied symptoms of esophageal reflux, acid regurgitation, and epigastric pain. She had no fever. She also had not previously received any medical procedure. On presentation, her vital signs were stable. A physical examination showed no specific abnormality at the head and neck, chest, or abdomen. The patients hemogram, biochemical levels, and cardiac markers were all normal. The chest radiograph and electrocardiogram also appeared normal. She received upper endoscopy in the afternoon on the same day, which showed longitudinal, whitish membrane detached from the posterior wall of the hypopharynx extending to the middle esophagus (30 cm from incisors), which looked like a wrinkled deflated balloon surface (Figure 1  ;  Figure 2 ). Unlike infective disease, the lesion was single and regional without ulcerative surface, exudates, or bleeding. The patient’s clinical history and endoscopic scald burn-like mucosal lesion supported the diagnosis of esophageal thermal injury. We did not perform biopsy to avoid further mechanical mucosal injury and bleeding because friable mucosa underneath the detached membrane was seen during the endoscopic procedure. We treated the patient with an oral form of proton pump inhibitor [lansoprazole (30 mg) q.d.] to decrease reflux acid-related injury and educated the patient to eat a cool liquid diet temporally. Three days later, dysphagia and odynophagia improved well and the patient resumed a normal diet. One month later, she was totally free of the aforementioned symptoms. She refused repeat endoscopy and received double-contrast esophagogram 2 months later, which showed normal finding without stricture or remarkable mucosal lesion. The proton pump inhibitor was discontinued after the esophagogram.


Endoscopic view of the pharynx with a longitudinal membranous lesion at the ...


Figure 1.

Endoscopic view of the pharynx with a longitudinal membranous lesion at the posterior wall of the hypopharynx.


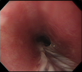
Endoscopic view of the esophagus showed a longitudinal, whitish, detached ...


Figure 2.

Endoscopic view of the esophagus showed a longitudinal, whitish, detached membrane extending to the middle esophagus, like a ruptured bullae.

Discussion

Esophageal thermal injury can cause odynophagia, dysphagia, and chest discomfort, but it is rarely considered in the list of causes at initial presentation. In our case, the relevant history and endoscopic finding and rapid clinical recovery support the diagnosis of acute reversible esophageal thermal injury caused by hot food intake. The typical endoscopic finding of esophageal thermal injury is “candy-cane esophagus”, which is characterized by alternating white and red linear mucosal bands [1] . In 2005, Choi et al [2] reported a case of esophageal thermal injury caused by ingestion of hot tea in a 38-year-old woman who underwent upper endoscopy 8 days, 12 days, and 2 months after the onset of odynophagia. Serial endoscopy mainly showed a whitish pseudomembranous lesion in the beginning, which became more similar to the candy-cane appearance 4 days later and finally healed without stricture 2 months later. The authors postulated that during the healing process of esophageal thermal injury, bullae became the whitish pseudomembrane and then presented with the typical candy-cane appearance. In 1996, Javors et al [4] described an esophageal intramural blister that developed after eating hot lasagna. The blister was outlined by a double-contrast esophagogram 5 days after the onset of odynophagia. This report documented the acute bullae formation stage of esophageal thermal injury. In our case, we conducted endoscopy 1 day after the onset of symptoms and the endoscopic finding revealed a linear, ruptured bullae-like lesion. This is the early endoscopic finding of esophageal thermal injury caused by ingesting hot food among the several reported cases [1] ; [2] ; [3] ; [4] ; [5] ; [6]  ;  [7] .

A literature review of reported cases indicated that the endoscopic manifestation of esophageal thermal injury is decided based on the nature of hot food (liquid or solid), ingestion amount, acute or chronic episodes, and timing of endoscopy after the injury. The sequences of esophageal thermal injury are as follows: a scald injury resulting from mucosal erythema, followed by bullae or blister formation, rupture and necrosis of the mucosa with pseudomembrane, then ulcer with exudate or fragile mucosa, and finally healing with fibrosis. Because we performed upper endoscopy within 24 hours after the onset of the symptoms, the findings of our case only showed a longitudinal, whitish membrane lesion, which was comparable to that of the early stages of the injury with bullae formation. Another category of esophageal thermal injury is caused by radiofrequency catheter ablation of left atrial arrhythmia [8] . The endoscopic findings of this kind of esophageal thermal injury vary from focal erythematic change to focal ulcer. According to Halm et al [8] , esophageal damage may develop if intraluminal temperatures reach ≥41°C.

The prognosis of esophageal thermal injury is favorable. None of the reported cases suffered from persistent symptoms after discontinuing ingestion of hot food and administration of a proton pump inhibitor. The effect of thermal injury on esophageal carcinogenesis has been documented. In 2009, Islami et al [9] published a systemic review about the association of hot food and beverages with the risk of esophageal cancer. Their results strongly suggest that drinking a high-temperature beverage increases the risk of esophageal cancer [9] .

In summary, we have presented an early endoscopic finding of esophageal thermal injury caused by the ingestion of hot spicy food. The clinical awareness of this disease entity is often overlooked as its symptoms are nonspecific and its consequences are frequently neglected by the patients. Because of the increase in the risk of esophageal cancer following chronic thermal injury [9] , we recommend avoiding frequent ingestion of extremely hot food and drinks.

Conflicts of interest

All contributing authors declare no conflicts of interest.

References

  1. [1] S.K. Dutta, K.Y. Chung, B.S. Bhagavan; Thermal injury of the esophagus; N Engl J Med, 339 (1998), pp. 480–481
  2. [2] E.K. Choi, G.H. Lee, H.Y. Jung, W.S. Hong, J.H. Kim, J.S. Kim, et al.; The healing course of thermal esophageal injury: a case report; Gastrointest Endosc, 62 (2005), pp. 158–160
  3. [3] H. Go, H.W. Yang, S.H. Jung, Y.A. Park, J.Y. Lee, S.H. Kim, et al.; Esophageal thermal injury by hot adlay tea; Korean J Intern Med, 22 (2007), pp. 59–62
  4. [4] B.R. Javors, D.E. Panzer, I.S. Goldman; Acute thermal injury of the esophagus; Dysphagia, 11 (1996), pp. 72–74
  5. [5] R. Eliakim; Thermal injury from a hamburger: a rare cause of odynophagia; Gastrointest Endosc, 50 (1999), pp. 282–283
  6. [6] W.C. Chung, C.N. Paik, J.H. Jung, J.D. Kim, K.M. Lee, J.M. Yang; Acute thermal injury of the esophagus from solid food: clinical course and endoscopic findings; J Korean Med Sci, 25 (2010), pp. 489–491
  7. [7] M.E. Cohen, J.G. Kegel; Candy cocaine esophagus; Chest, 121 (2002), pp. 1701–1703
  8. [8] U. Halm, T. Gaspar, M. Zachäus, S. Sack, A. Arya, C. Piorkowski, et al.; Thermal esophageal lesions after radiofrequency catheter ablation of left atrial arrhythmias; Am J Gastroenterol, 105 (2010), pp. 551–556
  9. [9] F. Islami, P. Boffetta, J.S. Ren, L. Pedoeim, D. Khatib, F. Kamangar; High-temperature beverages and foods and esophageal cancer risk—a systematic review; Int J Cancer, 125 (2009), pp. 491–524
Back to Top

Document information

Published on 15/05/17
Submitted on 15/05/17

Licence: Other

Document Score

0

Views 118
Recommendations 0

Share this document

claim authorship

Are you one of the authors of this document?