Keywords

Pulmonary vein thrombi;Paroxysmal atrial fibrillation;64-MDCT;Chest pain;Elderly patients

1. Introduction

Atrial fibrillation is a serious clinical problem, which is associated with systemic thrombosis such as cerebral infarction. Pulmonary vein myocardium promotes and maintains atrial fibrillation. Catheter ablation is done to cure atrial fibrillation to cut down the current flow from pulmonary vein myocardium.

Although pulmonary vein thrombi (PVT) are thought to be a rare complication of certain tumors of the lung [1], lobectomy, bilobectomy, lung transplantation [2] or radiofrequency ablation for atrial fibrillation [3], I have reported several cases in patients without such conditions, which represent that PVT are not rare in patients without such conditions [4] ;  [5]. Recently, I have reported 61% of 57 elderly patients with chest pain [6], indicating PVT may be common in elderly patients with chest pain. I have reported them using 64-slice multidetector CT (64-MDCT), indicating 64-MDCT is a useful tool to diagnose PVT.

Presently, the relationship between PVT and atrial fibrillation remains unknown. In this paper, I show a patient with paroxysmal atrial fibrillation (PAF) that had PVT, for the first time.

2. Case report

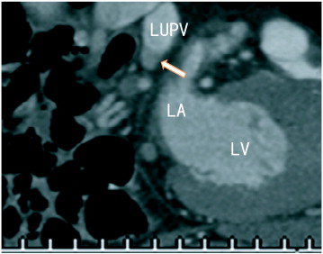
The patient was a 78 year-old-male with hyperlipidemia and PAF. He had been treated with bezafibrate (100 mg 2T bid), but no previous treatment with warfarin or new oral anticoagulants (NOAC) had been performed. The electrocardiogram (ECG) showed normal sinus rhythm, normal axis and normal heart rate (74 beats/min). Serum D-dimer level was < 0.5 μg/ml (normal; < 1.0 μg/ml), the activity of protein S was 124% (normal; 60–150%), and the activity of protein C was 72% (normal; 64–146%). The patient had no symptoms of lung cancer or cerebral infarction. The patient had no lung surgery or catheter ablation. 64-MDCT was performed for the evaluation of chest pain. 64-MDCT illustrated no coronary artery stenosis, but illustrated thrombi in the lower branch of the left upper pulmonary vein (LUPV) (Fig. 1; coronal and Fig. 2; sagittal) as the defect of contrast enhancements. After three month dabigatran therapy, PVT did not dissolve significantly.


Coronal images showed an incomplete occlusion of the lower branch of the left ...


Fig. 1.

Coronal images showed an incomplete occlusion of the lower branch of the left upper pulmonary vein (LUPV) as little contrast enhancements (arrows). LA; left atrium, LUPV; left upper pulmonary vein.


Sagittal images showed an occlusion of the lower branch of the left upper ...


Fig. 2.

Sagittal images showed an occlusion of the lower branch of the left upper pulmonary vein (LUPV) as little contrast enhancements (arrow). LA; left atrium, LUPV; left upper pulmonary vein, LV; left ventricle.

3. Discussions and conclusions

This is the first case that showed thrombi in the lower branch of the LUPV in a patient with PAF, and the patient had no history of cerebral infarction.

I have reported several cases of PVT [4]; [5] ;  [6], which represents that PVT may be common in elderly patients with chest pain. Although PVT are possible cause of cerebral infarction, the effects of PVT are not fully understood. To clarify these effects, more studies are needed.

Blood stasis and hypercoagulability are two crucial predisposing factors for the development of venous thrombosis. In this case, serum D-dimer level, the activity of protein S, and the activity of protein C were within normal range.

In the conference of Basic Cardiovascular Sciences (BCVS) 2014, Kim EJ and their colleagues [7] reported that they generated vascular smooth cell-specific Tuberous sclerosis complex 1 (TSC1) haplo-insufficient knockout mouse (TSC1SM22 +/−). They observed that the arterial thrombus area and the neointima formation were increased in TSC1SM22 +/− mice compared with that of WT mice, indicating that the pathology of TSC1 in smooth cells plays roles in thrombus formation and neointima formation. TSC1 seemed to play roles to inhibit a thrombus formation and a neointima formation. Pathology of TSC1 is a possible cause of a PVT formation. Moreover pathology of TSC1 may play a role in the neointima formation, indicating new possibilities of modulating pulmonary vein myocardium that is associated with the progression and maintenance of AF. There is a possibility that pathology of TSC1 may generate and progress PVT formation. Much more studies are needed to clarify this possibility.

PVT can release microclots that occlude microvessels in all organs. Recanalization can rescue microvessel occlusions in mice [8]. Occlusion of pulmonary veins or arteries in all organs by thrombi, if recanalization fails, makes them hypoxia and undernourishment, which effects are not fully understood. Hypoxia and low glucose levels cause mitochondria dysfunctions, which damage tissues by decreasing ATP production and increasing reactive oxygen species (ROS). Hypoxia activates transcription factors; hypoxia inducible factors (HIFs) and the lack of glucose can activate nuclear respiratory factor-1 (NRF-1), which is well known to regulate the genes associated with mitochondria. Pulmonary fibrosis is reported to be associated with PVT [9]. Occlusion of the pulmonary vein may make effects on pulmonary vein myocardium transformation via HIFs and NRF-1 activation. HIFs and NRF-1 may modulate pulmonary fibrosis. Occluded arteries by thrombi make similar effects on arterial wall, which may cause neointimal formations. HIFs can cause reprogramming via activation of JMJD2 protein family [10]. Such reprogramming may play an important role in a thrombus formation, neointimal formation and pulmonary vein myocardium modulation as well as fibrosis. More studies to clarify these mechanisms are required.

Warfarin [4] and dabigatran [5] ;  [6] dissolved thrombi partially in pulmonary veins in some cases, but in this case, the thrombi didn't dissolve significantly. The lacks of enough pulmonary vein flow may prevent pulmonary vein thrombi from dissolving.

4. Disclosure

Some parts of this paper including the relationship PVT and mitochondria dysfunctions will be reported in Cell Symposia poster session.

  • Cell Symposia; Systems Approach to Metabolic Diseases, 1–3 Oct 2014, Chicago, IL, USA. “Pulmonary vein thrombi can injury mitochondria, which deteriorates dementia, diabetes, cardiovascular disease and cancer”

References

  1. [1] S. Schwalm, R.P. Ward, K.T. Spencer; Transient ischemic attack in a patient with pulmonary vein thrombosis after left upper lobectomy for squamous cell lung cancer; J Am Soc Echocardiogr, 17 (2004), pp. 487–488
  2. [2] M.A. Sarsam, N.A. Yonan, D. Beton, D. McMaster, A.K. Deiraniya; Early pulmonary vein thrombosis after single lung transplantation; J Heart Lung Transplant, 12 (1993), pp. 17–19
  3. [3] J. Yataco, J.K. Stoller; Pulmonary venous thrombosis and infarction complicating pulmonary venous stenosis following radiofrequency ablation; Respir Care, 49 (12) (2004), pp. 1525–1527
  4. [4] H. Takeuchi; A thrombus of the right upper pulmonary vein: detection by the use of a 64-MDCT; BMJ Case Rep (2012) https://doi.org/10.1136/bcr.12.2011.5446 [Published online: 14 Sep]
  5. [5] H. Takeuchi; Chest pain caused by pulmonary vein thrombi could be curable by dabigatran; BMJ Case Rep (2014) https://doi.org/10.1126/bcr-2013-203186 [Published online: 13 March]
  6. [6] H. Takeuchi; High prevalence of pulmonary vein thrombi in elderly patients with chest pain, which has relationships with aging associated diseases; IJC Heart and Vessels (2014) https://doi.org/10.1016/j.ijchv.2014.05.006 [Published online: 6-JUN]
  7. [7] Kim EJ, Ahn YJ, Kim MH, Kim HH. Basic Cardiovascular Sciences (BCVS) July 14–17. Paris Las Vegas. Las Vegas. Nev. USA. P160. Tuberous sclerosis complex 1 mediated neointima formation and arterial thrombosis following vascular injury.
  8. [8] C.K. Lam, T. Yoo, B. Hiner, J. Grutzendler; Embolus extravasation is an alternative mechanism for cerebral microvascular recanalization; Nature, 465 (2010), pp. 478–482
  9. [9] R.A. Cavaco, S. Kaul, T. Chapman, R. Casaretti, B. Philips, A. Rhodes, et al.; Idiopathic pulmonary fibrosis associated with pulmonary vein thrombosis: a case report; Cases J, 2 (2009), p. 9156 https://doi.org/10.1186/1757-1626-2-9156
  10. [10] J.R. Whetstine, A. Nottke, F. Lan, M. Huarte, S. Smolikov, Z. Chen, et al.; Reversal of histone lysine trimethylation by the JMJD2 family of histone demethylases; Cell, 125 (2006), pp. 467–481
Back to Top

Document information

Published on 19/05/17
Submitted on 19/05/17

Licence: Other

Document Score

0

Views 8
Recommendations 0

Share this document

claim authorship

Are you one of the authors of this document?