Summary

Background and purpose

The most proximal ostial site of the chronic occlusive superficial femoral artery is not suitable for ballooning or stenting because the deep femoral artery may be occluded by these procedures. Thus, the feasibility of performing an open endarterectomy for the occluded ostium of the superficial femoral arteries combined with an endovascular therapy for the remaining distal site was evaluated.

Methods

Eleven critically ischemic limbs in 10 elderly patients with poor general health were enrolled. They had full-length occlusion of the superficial femoral artery involving its ostium. The ostial site was managed with an open endarterectomy followed by endovascular therapy for the remaining distal site.

Results

All procedures were successfully performed. All patients experienced pain relief, and the wounds healed. During the follow-up observation period (average: 23.9 ± 14.7 months), nine patients died. None of the patients, including those who had lost patency of the superficial femoral artery, received major amputation.

Conclusion

Elderly patients, including those who were in terminal stage, were able to withstand the operation, and their postoperative quality of life was not compromised. Although the patency following the surgery was limited, sparing the deep femoral artery could either prevent or delay the recurrence of critical limb ischemia.

Keywords

critical limb ischemia;elderly;hybrid revascularization;ostium;superficial femoral artery

1. Introduction

In the era of minimally invasive treatments, endovascular therapy (EVT) is a popular alternative to bypass grafting for the treatment of a chronic occlusive superficial femoral artery (SFA).1 In critically ischemic limbs, in particular, EVT can be quickly used to prevent a crisis as a result of its ease of performance and accessibility. Furthermore, elderly patients who do not normally tolerate bypass surgery well may greatly benefit from this less invasive therapy. However, when the most proximal ostial site of the SFA is completely occluded, it may be difficult to pass the site by guidewires. In addition, the ostial site is not often suitable for ballooning or stenting because of the possibility that the deep femoral artery could be occluded by these procedures. Because the patency after EVT for chronic long-distance occlusion of the SFA is limited, it is very important to retain the patency of the deep femoral artery, which can function as a collateral source if reocclusion of the SFA occurs. In order to preserve the deep femoral artery, we combined an open direct endarterectomy at the proximal portion with distal EVT for the treatment of a chronic full-length occlusion of the SFA involving its most proximal ostial site in elderly patients.

2. Methods

The medical ethics board of Kanoiwa General Hospital approved the study. Written informed consent was obtained from all patients. In one patient with dementia (Case 6), consent was obtained from his family.

2.1. Patients

Before September 2007, almost all patients who had critical limb ischemia (CLI) due to the chronic full-length occlusion of the SFA involving its most proximal ostial site had received infrainguinal bypass surgery at our hospital. However, some of the elderly patients who had poor general health were eventually confined to their beds after the bypass surgery, although major amputations were avoided. After September 2007, we tried using this combination therapy for selected elderly patients whose daily activity was already restricted preoperatively, not only by CLI, but also by systemic physical weakness. Their systemic physical weakness could be due to, for example, congestive heart failure, coronary artery disease, pneumonia, stroke, liver dysfunction, malignancy, simply a result of old age, or a history of a long hospital stay for any reason. Not only dyspnea on effort or hemiplegia, but also muscular weakness can be the reason for patient selection. Hence, the selected patients already had to be helped by others when walking preoperatively, and they were presumed to have a decreased walking ability if they were scheduled to undergo peripheral bypass surgery.

Among the patients with CLI who were admitted to our hospital after September 2007, 46 patients had chronic full-length occlusion of the SFA involving its ostium and at least one patent crural artery in the angiographical assessment. Even in the oblique lateral angiogram, the SFA was occluded with no proximal stump (Fig. 1). The status of the popliteal artery was not discussed in regard to patient enrollment because it is difficult to precisely define the boundary between the SFA and the popliteal artery in the angiography of the occlusive infrainguinal artery. Nevertheless, these lesions were classified as Trans-Atlantic Inter-Society Consensus (TASC)-II D lesion.2 Of these 46 patients, 10 elderly patients (11 limbs) were judged to have a restricted daily activity as already been mentioned above and therefore were enrolled in our study (Table 1). Case 4 is the contralateral limb of Case 3 in the same patient. These patients were all males with a mean age of 84.1 ± 5.4 years. The comorbidities included cardiac diseases in all patients, cerebral vascular diseases in four patients, and renal failure in one patient. Diabetes mellitus was present in three patients. The indication for the management was pain at rest in three limbs in two patients (Cases 3, 4, and 9), and tissue loss or minor gangrene in eight limbs in the other cases. In two cases, iliac steno-obstructive lesions had been already managed by EVT, but CLI due to the infrainguinal lesion remained.


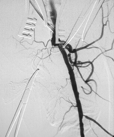
The condition of the ostium of the superficial femoral artery confirmed by the ...


Figure 1.

The condition of the ostium of the superficial femoral artery confirmed by the lateral oblique view.

Table 1. Case profiles (Case 4 is the contralateral limb of Case 3 in the same patient).
Case Age (y) Comorbidities Ankle-brachial pressure index Indication Femoral artery lesions Iliac artery lesions
1 87 CAD 0.16 Foot ulcer rt. SFA occlusion None (the state after PTA)
2 89 Stroke, HVD 0.18 Foot ulcer rt. SFA occlusion, DFA stenosis Stenosis
3 79 CAD, CRF, DM 0.34 Rest pain rt. SFA, occlusion Stenosis
4 79 CAD, CRF, DM 0.28 Rest pain lt. SFA, occlusion Stenosis
5 90 Stroke, HVD 0.11 Foot ulcer lt. CFA, SFA, DFA occlusion None (the state after PTA)
6 88 HVD, dementia 0.00 Minor gangrene rt. SFA occlusion Occlusion
7 76 CAD 0.33 Foot ulcer rt. SFA occlusion Stenosis
8 81 CAD 0.24 Foot ulcer rt. SFA occlusion None
9 78 Stroke, CAD, DM 0.46 Rest pain lt. SFA occlusion Stenosis
10 90 CAD, DM, liver cirrhosis 0.06 Minor gangrene lt. CFA, SFA, DFA occlusion Occlusion
11 88 Stroke, CAD 0.15 Minor gangrene rt. SFA occlusion, CFA, DFA stenosis Stenosis
Mean 84.1 ± 5.4 0.21 ± 0.14

CAD = coronary artery disease; CFA = common femoral artery; CRF = chronic renal failure; DM = diabetes mellitus; DFA = deep femoral artery; HVD = heart valve disease, lt. = left; rt. = right; PTA = percutaneous transluminal angioplasty; SFA = superficial femoral artery.

2.2. Surgical technique

All procedures were performed under local anesthesia. One patient with dementia (Case 6) was administered oral sedative drugs. The most proximal ostial portion of the SFA was managed by an open direct endarterectomy, which involved making a 4–6-cm recanalization with an approximately 7-cm skin incision. If needed, the common femoral and proximal deep femoral arteries were also treated by endarterectomy. The materials removed from the SFA ostium varied from a soft old thrombus (Fig. 2A) to hard calcified intima-media (Fig. 2B). After almost all of the arteriotomy was closed with or without a vein patch, the clamper that had intercepted the common femoral and deep femoral arteries was moved to the SFA orifice. After circulation through the deep femoral artery was restored, the remnant of the arteriotomy was used as an entrance for EVT for the remaining occluded distal part. A guidewire, followed by an angioplasty balloon catheter, was directly introduced. When the guidewire did not easily pass the hard lesions, the balloon catheter was advanced just proximal to the lesion. Using this approach, the resistance was directly sensed, and an adequate pushing power was used to cross the hard lesions. After identifying the distal boundary of the occlusion, ballooning was performed at the most distal site first. Ballooning was performed step by step toward a proximal direction. After ballooning of the full length of the occluded artery, the catheter was pulled out from the artery, and then debris was flushed out by the backflow. Before the total closure of the arteriotomy, an introducer was placed and fixed by a snaring suture for angiography. After the clamper at the SFA orifice was removed, angiography was performed. If needed, additional EVT of the ilio–femoro–poplito–tibial area was performed. A nitinol stent was placed at the residual stenosis of SFA and/or the iliac portion (Fig. 3). In SFAs, in particular, stents were implanted in an area of residual stenosis >30% and pressure gradient >10 mmHg, with or without dissection. The stents placed in the SFAs avoided distal nonstenting zones in all cases.


(A) A soft old thrombus that was removed from the superficial femoral artery ...


Figure 2.

(A) A soft old thrombus that was removed from the superficial femoral artery ostium. (B) A hard calcified intima-media that was removed from the superficial femoral artery ostium.


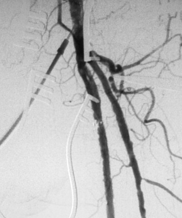
Recanalization by endarterectomy of the superficial femoral artery ostium is ...


Figure 3.

Recanalization by endarterectomy of the superficial femoral artery ostium is followed by distal endovascular therapy.

2.3. Medication

Medication consisting of oral aspirin (100 mg/day) and cilostazol (300 mg/day) was started on the day of the surgery, except for those cases that had already been administered these drugs for other reasons. Patients who had angina, tachycardia, or hypotension after the administration of cilostazol, therefore, received sarpogrelate hydrochloride (300 mg/day) instead (Table 2).

Table 2. Procedures and results.
Case Operative procedures Length of occlusion (cm) Length of EA (cm) Length of stent(s) (cm) Reason for stent deployment Operative time (min) Drugs ABPI (just after revascularization) Follow-up duration (mo) Recent ABPI Events after operation
1 EA (SFA orifice), EVT (distal SFA) 22 5 13 Residual stenosis 128 Sarpogrelate hydrochloride 300 mg/d, aspirin 100 mg/d 0.92 18 (0.66: before death) SFA occlusion, died of stroke (18 months later)
2 EA (SFA orifice), EVT (distal SFA, DFA, iliac) 26 5 4 Dissection 185 Cilostazol 300 mg/d, aspirin 100 mg/d 0.87 31 (0.54: before death) SFA occlusion, died of stroke (31 months later)
3 EA (SFA orifice), EVT (distal SFA, iliac) 22 6 4 Residual stenosis 242 Sarpogrelate hydrochloride 300 mg/d, aspirin 100 mg/d 1.08 47 1.02
4 EA (SFA orifice), EVT (distal SFA, iliac) 24 5 4 Residual stenosis Simultaneous with Case 3 Sarpogrelate hydrochloride 300 mg/d, aspirin 100 mg/d 0.93 47 0.93
5 EA (CFA, DFA, SFA orifice), EVT (distal SFA) 23 6 11 Dissection 214 Cilostazol 300 mg/d, aspirin 100 mg/d 0.96 25 (0.34: before reintervention) SFA occlusion (bypass surgery: 12 months later), Died of pneumonia (25 months later)
6 EA (SFA orifice), EVT (distal SFA, Pop.A, iliac) 30 5 11 Dissection 166 Cilostazol 300 mg/d, aspirin 100 mg/d 0.92 31 0.71 SFA occlusion, Died of pneumonia (31 months later)
7 EA (SFA orifice), EVT (distal SFA, iliac) 25 5 12 Residual stenosis 139 Sarpogrelate hydrochloride 300 mg/d, aspirin 100 mg/d 1.12 11 (0.46: before reintervention) SFA occlusion (EVT: 9 months later), Died of pneumonia (11 months later)
8 EA (SFA orifice), EVT (distal SFA, Pop.A) 28 5 12 Dissection 144 Sarpogrelate hydrochloride 300 mg/d, aspirin 100 mg/d 0.88 22 (0.94: before death) Died of stroke (22 months later)
9 EA (SFA orifice), EVT (distal SFA, Pop.A, iliac) 21 5 4 Residual stenosis 151 Cilostazol 300 mg/d, aspirin 100 mg/d 0.99 23 (0.96: before death) Died of pneumonia (23 months later)
10 EA (CFA, DFA, SFA orifice), EVT (distal SFA, Pop.A, iliac) 35 6 0 193 Sarpogrelate hydrochloride 300 mg/d, aspirin 100 mg/d 0.88 2 (0.86: before death) Died of congestive heart failure (2 months later)
11 EA (CFA, DFA, SFA orifice), EVT (distal SFA, Pop.A, iliac) 33 4 0 201 Cilostazol 300 mg/d, aspirin 100 mg/d 1.02 6 (1.08: before death) Died of stroke (6 months later)
Mean 26.3 ± 4.7 5.2 ± 0.6 8.3 ± 4.2 160 (per limb) 0.96 ± 0.08 23.9 ± 14.7 0.79 ± 0.24

ABPI = ankle-brachial pressure index; CFA = common femoral artery; DFA = deep femoral artery; EA = endarterectomy; EVT = endovascular therapy; iliac = iliac artery; Pop.A = popliteal artery; SFA = superficial femoral artery.

2.4. Follow-up

All patients received physical examinations and duplex ultrasonography and had their ankle-brachial pressure indices (ABPIs) measured at least bimonthly.

3. Results

The mean length of the continuous occlusion was 26.3 ± 4.7 (±SD) cm from the ostium of the SFA. In Cases 6, 8, 10, and 11, continuous occlusion was observed to extend to the popliteal artery. An endarterectomy was performed for 5.2 ± 0.6 cm from the ostium of the SFA. Nitinol stents were deployed for nine SFAs. The mean length of the stenting zone in the recanalized SFA was 8.3 ± 4.2 cm. The iliac steno-obstructive lesions were simultaneously managed in eight cases. All procedures were managed without any complications. The average ABPI improved from 0.21 ± 0.14 to 0.96 ± 0.08 after the procedure. All foot ulcers (5 cases) were cured using conservative wound management. The gangrene of the digits in three cases was managed with minor amputations. The patients' walking ability and their normal daily activities remained at similar levels after the surgery, and all patients did not undergo any major amputations. Until December 2011, the duration of follow-up ranged from 2 to 47 months (average: 23.9 ± 14.7 months). Five cases showed recurrences of the obstruction of the SFA (Cases 1, 2, 5, 6, and 7). In Cases 1, 2, and 6, no symptom recurred. In Case 5, the ABPI decreased to 0.34, and a foot ulcer recurred. A femoropopliteal bypass was performed 12 months after the first revascularization. After undergoing the bypass operation, this 90-year-old male patient was almost completely confined to his bed. In Case 7, the ABI decreased to 0.46, and there was a recurrence of pain at rest. EVT was performed via contralateral inguinal puncture 9 months after the first revascularlization. Nine patients (Cases 1, 2, 5, 6, 7, 8, 9, 10, and 11) died during the follow-up period. Cases 1, 2, 8, and 11 died of stroke. Cases 2 and 11 had a history of stroke and died of stroke recurrence. Case 5 was confined to bed for almost 1 year after undergoing bypass surgery and eventually died of pneumonia. Case 6 (patient with dementia) and Case 9 (patient with hemiparesis) died of aspiration pneumonia. Case 7 died of acute pneumonia 2 months after the second revascularization. Case 10 enjoyed relief from foot pain after undergoing revascularization, but died of congestive heart failure 2 months later. None of the patients underwent major amputations (Table 2).

4. Discussion

The TASC-II2 serves as a good reference for the management of peripheral steno-obstructive arteries, and it has been suggested that the long-distance occlusion of the SFA can best be managed by femoropopliteal bypass surgery. Such lesions may be managed in the same way even for elderly patients.3 However, postoperative complications, such as leg edema4 and pain, result in a deterioration of the patient’s quality of life after the procedure. In addition, the wound complications5 also increase the postoperative hospital stay for these patients.6 Consequently, some elderly patients thereafter become confined to bed, as was observed in Case 5 in our series. The population of elderly patients who already have issues in maintaining their walking activity represents a challenge for surgeons with regard to whether an infrainguinal bypass surgery should be performed. The patients in this study were elderly, with a mean age of 84.1 years. They were already encountering diminished activity in their daily lives and had to be helped by others when walking preoperatively, and they were also presumed to have a decreased walking ability if they were scheduled to undergo peripheral bypass surgery. Moreover, they were in poor health, with heart disease present in all patients, a history of stroke in four patients, and other comorbidities in other patients. Therefore, it was presumed that many of the patients might not live long enough to reap the potential long-term patency benefits of a bypass surgery. In these patients, a less-invasive alternative to bypass surgery was desired. These patients could derive greater benefit from the use of EVT with a less immediate morbidity that could still provide relief from the accompanying ischemic symptoms.

However, the patency rate after EVT for the long total occlusion of SFA is still not encouraging.7 Therefore, sparing the deep femoral artery is required because it can serve as a collateral source when the SFA reoccludes after EVT in the future.8 Unfortunately, the use of EVT for the occluded proximal ostial site of the SFA may be potentially harmful because it may cause deep femoral artery occlusion. However, a direct open endarterectomy is a relatively easy procedure,9 and in this approach the deep femoral artery is safely preserved. The patients who are treated using this procedure may not require major amputation even if the SFA reoccludes in the future. If the symptoms become severe owing to reocclusion in the future, the EVT can be repeated10 as long as the endarterectomized proximal portion is not closed.

This combined surgery is also beneficial for avoiding distal embolization after EVT by blowing out the debris with backflow. The occurrence of distal embolizations is a major complication that occurs during EVT for SFA lesions.11

The combination of open surgery and EVT is often mentioned as a hybrid therapy. Several types of combinations have been reported.12 ;  13 The most common combination is EVT for an iliac steno-obstructive lesion with infrainguinal bypass surgery.14 As for the combination of proximal open surgery and distal EVT, Cotroneo et al15 reported the use of a simultaneous hybrid therapy when the objective infrainguinal legions were limited in the TASC A through C lesions.16 In our present cases, a direct endarterectomy at the most proximal site of the occluded SFA was combined with simultaneous EVT at the remaining distal occluded TASC-II D lesions.2 Nishibe et al17 reported a hybrid therapy combining surgical open endarterectomy for the common femoral artery and simultaneous EVT for SFA in seven cases. Dosluoglu et al18 reported their recent (7 years) experience, which included 108 hybrid procedures. Among them, 11 cases were treated using a combination of surgical open endarterectomy for the common femoral artery and EVT for the SFA. Neither of these reports provides any details regarding the length and position of the SFA lesions, especially the condition of the proximal portion of the SFA. The management of the SFA orifice is also ambiguous in these studies. Therefore, it seems that these authors did not notice the significance of surgical open management for the occluded ostium of the SFA.

Major complications, such as myocardial infarction19 or stroke,20 have been shown to occur after the peripheral bypass surgery, further complicating the procedure for patients who are already in poor health. In general, the clinical evidence of coronary artery disease is present in a high percentage of patients before vascular surgery.21 Localized anesthesia, relative to general, spinal, or epidural anesthesia, has an advantage in patients with high-risk coronary artery diseases.22 For these reasons, our procedures were performed under localized anesthesia.

Proximal direct endarterectomy combined with simultaneous distal EVT lightens the burden associated with bypass surgery and can spare the deep femoral artery compared to the use of EVT alone. This procedure is therefore considered a relatively less-invasive option for the treatment of chronic full-length occlusion including the ostium of the SFA in elderly patients.

4.1. Study limitations

The current study was limited because it involved only a small group of patients. However, all patients investigated in this study were selected under similar general conditions, and they also had similar lesions. We do not have a randomized comparison to bypass surgery with respect to the perioperative complications or the residual walking ability because we prefer to perform bypass surgery for the treatment of long full-length occlusion of SFA as far as the patient status permits. We also did not perform a randomized comparison to EVT alone with respect to the success rate or the amputation-free rate, because we avoided EVT therapy alone for the full-length occlusion of SFA involving its most proximal ostial site.

5. Conclusion

Eleven critically ischemic limbs arising from the chronic full-length occlusion of the SFA involving its most proximal ostial site were safely managed by direct endarterectomy at the most proximal site combined with the simultaneous EVT for the remaining distal site. Although the patients recruited for this study were restricted to those who were elderly and already restricted in their daily activities, the hybrid procedures under localized anesthesia did not cause any further deterioration in their activity level. During the follow-up period, major amputations were avoided even in cases where SFA patency was lost. Although the patency rate of the SFA following the hybrid procedures was limited, sparing the deep femoral artery can either prevent or delay the recurrence of CLI.

References

  1. 1 J. Bell, L. Papp, A. Bradbury; Bypass or angioplasty for severe ischaemia of the leg: the BASIL trial; R.M. Greenhalgh, J.T. Powell, A.W. Mitchell (Eds.), Vascular and Endovascular Opportunities, WB Saunders, London (2000), pp. 485–494
  2. 2 L. Norgren, W.R. Hiatt, J.A. Dormandy, et al.; Inter-society consensus for the management of peripheral arterial disease (TASC II); J Vasc Surg, 45 (2007), pp. S5–S67
  3. 3 T.S. O'Brien, P.M. Lamont, A. Crow, D.R. Gray, J. Collin, P.J. Morris; Lower limb ischaemia in the octogenarian: is limb salvage surgery worthwhile?; Ann R Coll Surg Engl, 75 (1993), pp. 445–447
  4. 4 R. Haaverstad, H. Johnsen, O.D. Saether, H.O. Myhre; Lymph drainage and the development of post-reconstructive leg oedema is not influenced by the type of inguinal incision. A prospective randomised study in patients undergoing femoropopliteal bypass surgery; Eur J Vasc Endovasc Surg, 10 (1995), pp. 316–322
  5. 5 J.H. Nam, V. Gahtan, A.B. Roberts, M.D. Kerstein; Influence of incisional complications on infrainguinal vein bypass graft outcome; Ann Vasc Surg, 13 (1999), pp. 77–83
  6. 6 M.E. Schwartz, E.B. Harrington, H. Schanzer; Wound complications after in situ bypass; J Vasc Surg, 7 (1988), pp. 802–807
  7. 7 J.R. Laird; Limitations of percutaneous transluminal angioplasty and stenting for the treatment of disease of the superficial femoral and popliteal arteries; J Endovasc Ther, 13 (2006), pp. II-30–II-40
  8. 8 J. Fernandes e Fernandes, A.N. Nicolaides, N.A. Angelides, I.C. Gordon-Smith; An objective assessment of common femoral endarterectomy and profundaplasty in patients with superficial femoral occlusion; Surgery, 83 (1978), pp. 313–318
  9. 9 H. Savolainen, A. Hansen, N. Diehm, et al.; Small is beautiful: why profundaplasty should not be forgotten; World J Surg, 31 (2007), pp. 2058–2061
  10. 10 G.S. Treiman, L. Ichikawa, R.L. Treiman, et al.; Treatment of recurrent femoral or popliteal artery stenosis after percutaneous transluminal angioplasty; J Vasc Surg, 20 (1994), pp. 577–585
  11. 11 R.C. Lam, S. Shah, P.L. Faries, J.F. McKinsey, K.C. Kent, N.J. Morrissey; Incidence and clinical significance of distal embolization during percutaneous interventions involving the superficial femoral artery; J Vasc Surg, 46 (2007), pp. 1155–1159
  12. 12 P.R. Nelson, R.J. Powell, M.L. Schermerhorn, et al.; Early results of external iliac artery stenting combined with common femoral artery endarterectomy; J Vasc Surg, 35 (2002), pp. 1107–1113
  13. 13 H.H. Dosluoglu, L.M. Harris, G.S. Cherr; Recanalization of concomitant iliac artery and common femoral artery occlusions using an antegrade hybrid (open/endovascular) approach; Vasc Endovascular Surg, 41 (2007), pp. 130–134
  14. 14 R.J. Demasi, S.O. Snyder, J.R. Wheeler, et al.; Intraoperative iliac artery stents: combination with infra-inguinal revascularization procedures; Am Surg, 60 (1994), pp. 854–859
  15. 15 A.R. Cotroneo, R. Iezzi, G. Marano, P. Fonio, F. Nessi, G. Gandini; Hybrid therapy in patients with complex peripheral multifocal steno-obstructive vascular disease: two-year results; Cardiovasc Intervent Radiol, 30 (2007), pp. 355–361
  16. 16 J.A. Dormandy, R.B. Rutherford; Management of peripheral arterial disease (PAD). TASC Working Group. Trans Atlantic Inter-Society Consensus (TASC); J Vasc Surg, 31 (2000) S1–S296
  17. 17 T. Nishibe, Y. Kondo, A. Dardik, A. Muto, J. Koizumi, M. Nishibe; Hybrid surgical and endovascular therapy in multifocal peripheral TASC D lesions: up to three-year follow-up; J Cardiovasc Surg, 50 (2009), pp. 493–499
  18. 18 H.H. Dosluoglu, P. Lall, G.S. Cherr, L.M. Harris, M.L. Dryjski; Role of simple and complex hybrid revascularization procedures for symptomatic lower extremity occlusive disease; J Vasc Surg, 51 (2010), pp. 1425–1435
  19. 19 L.M. Taylor Jr., R.A. Yeager, G.L. Moneta, D.B. McConnell, J.M. Porter; The incidence of perioperative myocardial infarction in general vascular surgery; J Vasc Surg, 15 (1992), pp. 52–59
  20. 20 S.P. Rivers, L.A. Scher, E. Sheehan, F.J. Veith; Epidural versus general anesthesia for infrainguinal arterial reconstruction; J Vasc Surg, 14 (1991), pp. 764–768
  21. 21 H. Van Damme, L. Piérard, D. Gillain, T. Benoit, P. Rigo, R. Limet; Cardiac risk assessment before vascular surgery: a prospective study comparing clinical evaluation, dobutamine stress echocardiography, and dobutamine Tc-99m sestamibi tomoscintigraphy; Cardiovasc Surg, 5 (1997), pp. 54–64
  22. 22 L.D. Barkmeier, D.B. Hood, D.S. Sumner, et al.; Local anesthesia for infrainguinal arterial reconstruction; Am J Surg, 174 (1997), pp. 202–204
Back to Top

Document information

Published on 26/05/17
Submitted on 26/05/17

Licence: Other

Document Score

0

Views 9
Recommendations 0

Share this document

claim authorship

Are you one of the authors of this document?