Question

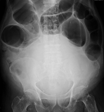
A 77-year-old man with a history of benign prostate hypertrophy and ischemic heart disease was referred to our emergency department because of progressive abdominal distension, constipation, and leg edema for 1 week. There was no abdominal pain, fever, nausea, vomiting, body weight loss, or dyspnea. The patient had poor appetite and decreased urine output in the past week. On physical examination, the body temperature was 36.6°C. The bowel sound was hyperactive. Distended abdomen without tenderness was detected. Digital examination revealed an enlarged prostate. A kidney ureter bladder radiograph (Fig. 1 ) revealed a large radiopaque lesion with markedly dilated colon loops at the transverse segment, and the hepatic and splenic flexures.


Kidney ureter bladder radiograph.


Figure 1.

Kidney ureter bladder radiograph.

What is your impression for this patient?

  • Lower abdominal soft tissue tumor
  • Subacute urine retention with Chilaiditi syndrome
  • Vovulus
  • Colon cancer with obstruction

Answer

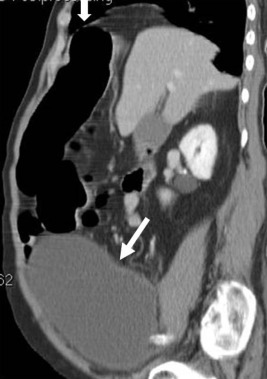
Sagittal reformatted contrast enhanced abdominal computed tomography (Fig. 2 ) showed the Chilaiditi’s sign (small arrow) and enlarged prostate gland, causing urine retention and exaggerative vesical distension (large arrow). A Foley catheter was inserted and 1850 mL clear urine was drained out. The clinical symptoms improved. Because this patient had severe congestive heart failure, he underwent long-term Foley catheter insertion instead of transurethral prostatectomy. Hepato-diaphragmatic interposition of the bowel, known as Chilaiditi’s sign, is a rare and an often asymptomatic anomaly. When this discovery is accompanied by gastrointestinal symptoms, such as constipation, abdominal pain, distension, and vomiting, it is known as Chilaiditi syndrome.


Sagittal reformatted contrast enhanced abdominal computed tomography shows the ...


Figure 2.

Sagittal reformatted contrast enhanced abdominal computed tomography shows the Chilaiditi’s sign (small arrow) and enlarged prostate gland, causing urine retention and exaggerative vesical distension (large arrow).

Conflict of interest

All authors declare no conflicts of interest.

Back to Top

Document information

Published on 15/05/17
Submitted on 15/05/17

Licence: Other

Document Score

0

Views 30
Recommendations 0

Share this document

Keywords

claim authorship

Are you one of the authors of this document?