An interatrial septal aneurysm is a localized segment of the interatrial septum that bulges into either or both the left and right atrium [1] ;  [2]. The clinical importance of such an interatrial septal aneurysm is that it may be confused with an atrial tumor [2], it may be the cause of supraventricular arrhythmias [3] and it has a strong association with cryptogenic stroke in the young [4]. A review of the Medline database revealed only two case reports of an interatrial septal aneurysm in Marfan syndrome [3] ;  [5].

A patient with Marfan syndrome with mitral valve prolapse, as well as an interatrial septal aneurysm is presented. In this presentation an important caveat in such patients, which may lead to unnecessary mitral valve replacement, will be highlighted.

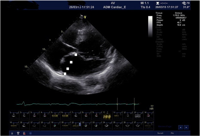
An asymptomatic 58-year old Caucasian woman requested a second opinion prior to mitral valve replacement due to severe mitral valve prolapse and apparent severe left atrial enlargement. Atrial fibrillation and stigmata of Marfan syndrome was noted, but no other clinical abnormalities were present. Fig. 1 is a two-dimensional, transthoracic echocardiographic image of the left atrium which demonstrates mitral valve prolapse of both the anterior and posterior mitral valve leaflets, as well as a prominent interatrial septal aneurysm which bulges into the right atrium. No echocardiographic stigmata of left ventricular dysfunction were present.


Transthoracic, two-dimensional echocardiographic image demonstrating prolapse of ...


Fig. 1.

Transthoracic, two-dimensional echocardiographic image demonstrating prolapse of both the anterior and posterior mitral valve leaflets with an interatrial septal aneurysm which bulges into the right atrium.

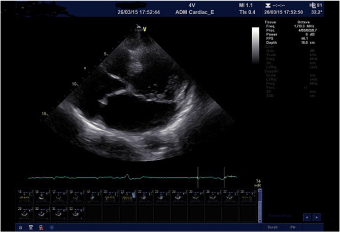
This case demonstrates an important, although unusual, caveat in clinical cardiology. The simultaneous presence of an interatrial septal aneurysm created the erroneous impression of severe left atrial enlargement. The dotted line in Fig. 2 indicates the actual position of the interatrial septum if one needs to measure the transverse diameter.


The dotted line indicates the actual position of the interatrial septum when one ...


Fig. 2.

The dotted line indicates the actual position of the interatrial septum when one needs to measure the transverse diameter of the left atrium.

In this particular case, normal left ventricular function was present, no actual left atrial enlargement was present and the patient was advised that mitral valve replacement is not currently indicated.

Recently, a significant increase in the incidence of interatrial septal aneurysms was noted in young adults who were born prematurely with an extremely low birth weight (< 1000 g) [6]. It is therefore foreseen that more such patients may be seen in the near future and it is hoped that this publication will aid the clinician in avoiding this important caveat in patients with severe mitral valve prolapse and simultaneous interatrial septal aneurysms.

Conflict of interest

The author declare that no conflict of interest is present.

References

  1. [1] J. Ker; The enigma of bulging to the left—a case report of an unusual atrial septal aneurysm; J. Clin. Exp. Cardiol., 3 (2012), p. 2
  2. [2] R. Akdemir, S. Duran, S. Bulur, A. Kaya, S.B. Sozen; A closed interatrial septal aneurysm mimicking a tumor in the left atrium; Tex. Heart Inst. J., 33 (2006), pp. 410–411
  3. [3] C.C. Cronin, A.M. Harris; Atrial fibrillation and interatrial septal aneurysm in a patient with Marfans syndrome; Int. J. Cardiol., 34 (1992), pp. 115–117
  4. [4] J.R. Overell, I. Bone, K.R. Lees; Interatrial septal aneurysms and stroke: a meta-analysis of case–control studies; Neurology, 55 (2000), pp. 1172–1179
  5. [5] A. Magherini, C. Margiotta, F. Bandini, L. Simonetti, G. Bartolozzi; Atrial septal aneurysm, ectasia of a sinus of Valsalva and mitral valve prolapse in Marfans syndrome; Am. J. Cardiol., 58 (1986), pp. 172–173
  6. [6] P.P. Bassareo, V. Fanos, M. Puddu, C. Cadeddu, F. Cadeddu, L. Saba, L. Cugusi, G. Mercuro; High prevalence of interatrial septal aneurysm in young adults who were born preterm; J. Matern. Fetal Neonatal Med., 27 (11) (2014), pp. 1123–1128
Back to Top

Document information

Published on 19/05/17
Submitted on 19/05/17

Licence: Other

Document Score

0

Views 27
Recommendations 0

Share this document

Keywords

claim authorship

Are you one of the authors of this document?