Congenital anomaly of the inferior vena cava (IVC) is a well described phenomenon [1] ;  [2]. These anomalies include complete absence, partial absence or duplication of the IVC [3]. Such anomalies of the IVC are seen more frequently in those with other congenital cardiac anomalies (0.6%–2%) [4].

This congenital condition can be discovered incidentally, or due to symptoms of associated congenital heart disease, asplenia, polysplenia, congenital kidney anomalies or deep venous thrombosis [1]; [2] ;  [3].

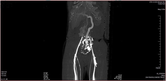
Fig. 1 ;  Fig. 2 are the CT angiography images of the venous system of the lower extremities and inferior vena cava of a 44 year old Caucasian male who presented with a long history of intermittent edema of both lower extremities. His clinical examination was perfectly normal. CT angiography of the lower extremities and IVC demonstrated patent popliteal, femoral and iliac veins with a completely absent IVC. Massively dilated collateral vessels were visible with large, dilated azygos and hemi-azygos veins. The azygos vein drained into the superior vena cava. In addition the lumbar veins were dilated with multiple collaterals present in the pelvis and abdomen. He tested heterozygous for the factor V Leiden mutation (R506Q).


CT angiography image demonstrating absence of the infra- and suprarenal portions ...


Fig. 1.

CT angiography image demonstrating absence of the infra- and suprarenal portions of the inferior vena cava with numerous collateral vessels.


CT angiography image demonstrating absence of the infra- and suprarenal portions ...


Fig. 2.

CT angiography image demonstrating absence of the infra- and suprarenal portions of the inferior vena cava with numerous collateral vessels from a lateral view.

Although congenital anomaly of the IVC is a well known clinical entity, combined absence of the suprarenal and infrarenal IVC (as demonstrated in this particular case) has been reported in only eight cases [1]. Furthermore, whether the absence of all or only a segment of the IVC is an embryonic anomaly or the result of perinatal thrombosis with regression and subsequent disappearance of the affected segment is currently a controversial topic [5].

The clinical implications of this interesting congenital anomaly include the following: 1) it can lead to an erroneous diagnosis of deep venous thrombosis [6], 2) the azygous continuation may mimic a right paravertebral or tracheobronchial tumour [6] and an accessory hemi-azygos vein may mimic an enlarged aortic knuckle [6], 3) a fatal outcome after ligation of the azygos vein in an undiagnosed patient with an absent IVC during surgery has been reported [7], and 4) congenital absence of the IVC has been described to create difficulties for catheter ablation of arrhythmias via the femoral vein approach [8]. It has been recommended that all patients with an IVC anomaly be screened for a thrombophilic disorder; as in a series by Gayer et al. [2] 7 out of 9 patients with an IVC anomaly and deep venous thrombosis (DVT) had a positive thrombophilic screen [2]. Ruggeri et al. [9] also found that congenital absence of the IVC may be a potential independent risk factor for DVT in the young [9].

In light of this the patient was started on Rivaroxaban (Xarelto®) 10 mg daily.

Isolated absence of the IVC rarely occurs in isolation and is usually associated with other cardiac and/or visceral anomalies, such as dextrocardia, polysplenia or malrotation of abdominal viscera [6].

In summary, this particular case of congenital absence of IVC is unique due to the fact that no other cardiac and/or abdominal visceral anomalies are present. Furthermore, a combined absence of the supra-and infrarenal portions of the IVC is present and as stated only eight cases are found in the literature.

References

  1. [1] S.S. Yun, J.I. Kim, K.H. Kim, G.Y. Sung, D.S. Lee, J.S. Kim, et al.; Deep venous thrombosis caused by congenital absence of inferior vena cava, combined with hyperhomocysteinemia; Ann. Vasc. Surg., 18 (2004), pp. 124–129
  2. [2] J. Iqbal, E. Nagaraju; Congenital absence of inferior vena cava and thrombosis: a case report; J. Med. Case Rep., 2 (2008), p. 46
  3. [3] J.E. Bass, M.D. Redvine, L.A. Kramer, P.T. Huynh, J.H. Harris; Spectrum of congenital anomalies of the inferior vena cava: cross-sectional imaging findings; Radiographics, 20 (3) (2000), pp. 639–652
  4. [4] R.C. Anderson, P. Adams, B. Burke; Anomalous inferior vena cava with azygous continuation (infra-hepatic interruption of the inferior vena cava); J. Pediatr., 59 (3) (1961), pp. 370–383
  5. [5] R. Tharumenthiran, T.M.D. Hughes, A.J. Richardson; Perinatal inferior vena cava thrombosis and absence of the infrarenal inferior vena cava; J. Vasc. Surg., 33 (2001), pp. 1097–1099
  6. [6] E. Debing, Y. Tielemans, E. Jolie, P. Van den Brande; Congenital absence of inferior vena cava; Eur. J. Vasc. Surg., 7 (1993), pp. 201–203
  7. [7] D.B. Effler, A.E. Green; Anomaly of the vena cava inferior. Report of fatality after ligation; JAMA, 146 (1951), pp. 1321–1322
  8. [8] D.G. Latcu, S.S. Bun, P. Ricard, N. Saoudi; Hepatico-tricuspid isthmus ablation for typical-like flutter by femoral approach in absence of the inferior vena cava: use of magnetic navigation and three-dimensional mapping with image integration; PACE, 35 (2012), pp. e312–e315
  9. [9] M. Ruggeri, A. Tosetto, G. Castaman, F. Rodeghiero; Congenital absence of the inferior vena cava: a rare risk factor for idiopathic deep vein thrombosis; Lancet, 357 (2001), p. 441
Back to Top

Document information

Published on 19/05/17
Submitted on 19/05/17

Licence: Other

Document Score

0

Views 36
Recommendations 0

Share this document

Keywords

claim authorship

Are you one of the authors of this document?