Resumo

Introdução : Hímen imperfurado ocorre em aproximadamente 1 em cada 1.000 mulheres. Pode ser diagnosticado incidentalmente ao exame físico e é tratável, não causando habitualmente morbilidade significativa. Se não for rastreado e tratado precocemente, as pacientes apresentam uma menarca associada a história de dor pélvica ou abdominal cíclica e sintomas de retenção urinária associada a hematocolpos.

Caso clínico : 12 anos, sexo feminino, pré-menarca, recorreu ao serviço de urgência por dor abdominal cíclica e polaquiúria, com 6 meses de evolução. Sem antecedentes médicos relevantes, sem história de menstruação ou início da actividade sexual até à data. O exame do períneo revelou um hímen imperfurado e saliente ao nível do introito. Foi efectuada uma incisão em Y no hímen imperfurado e durante a himenectomia foi drenado 500 mL de sangue castanho (viscoso, cor de chocolate). A doente teve alta no 2° dia pós-operatório. Na consulta de follow-up (aos 52 dias), a doente relatou resolução completa dos sintomas.

Conclusão : Apesar de rara, a imperfuração do hímen associada a menstruação retrógrada, é causa de dilatação da vagina e do útero, isto é, hematocolpometra. É um diagnóstico diferencial, facilmente confirmado, importante a ter em consideração em meninas na pré-menarca com dor abdominal, frequentemente associado a sintomas urinários.

© 2014 Associação Portuguesa de Urologia. Publicado por Elsevier España, S.L.U. Todos os direitos reservados.

Abstract

Introduction : Imperforate hymen occurs in approximately 1 in 1,000 females. It can be found incidentally on physical examination, it is treatable and does not cause significant morbidity. If it is not screened for and treated early, patients present at menarche with a history of cyclical pelvic or abdominal pain and symptoms of urinary retention due to hematocolpos.

Case presentation : A 12-year-old premenarchal girl presented to the emergency department with cyclical hypogastric abdominal pain and pollakiuria, with 6 months-evolution. Her medical history was unremarkable, she had never been menstruated or sexually active. She took no medications. Examination of the perineum revealed an imperforate hymen protruding from the introitus. A Y incision was made on the imperforate hymen and during hymenectomy 500mL of brown blood (viscous chocolate colored) was drained from the vagina. She was discharged on postoperative day 2. At the follow-up visit (52nd postoperative day), the patient reported her symptoms had resolved.

Conclusion : Although rare, imperforate hymen with retrograde menstruation can cause dilatation of the vagina and uterus (i.e., hematocolpometra). It is an important differential diagnosis of abdominal pain in premenarchal girls often associated with urinary symptoms. It is easily diagnosed by physical examination.

© 2014 Associação Portuguesa de Urologia. Published by Elsevier España, S.L.U. All rights reserved.

Palavras-Chave

Dor abdominal ; Hematocolpos ; Himenotomia ; Hímen imperfurado

Keywords

Abdominal pain ; Haematocolpos ; Hymenotomy ; Imperforate hymen

Introduction

O desenvolvimento do tracto genital feminino começa por volta das três semanas de gestação e continua até ao segundo trimestre da gravidez1 . Caracteriza-se por uma série de eventos que envolvem processos de diferenciação celular, migração, fusão e, finalmente, canalização1 . Em finais da década de 80, a American Society for Reproductive Medicine classificou as anomalias Müllerianas em seis grupos, de acordo com a sua apresentação clínica e respectivo prognóstico. Embora não ideal, esta classificação, permitiu ao longos dos anos uma uniformização da linguagem acerca do tema mas permaneceu insuficiente pelo elevado número de anomalias descritas com características próprias e, por vezes, difíceis de integrar na classificação conforme foi concebida 2 . As anomalias da vagina são um exemplo concreto desta observação 3. ; 4. ; 5.  ;  6. .

Embora não totalmente esclarecida, a embriologia da vagina, envolve os bulbos sinovaginais que compreendem duas formações sólidas, com origem no seio urogenital do tubérculo Mülleriano7 . Aparentemente, proliferam em direcção à extremidade caudal do canal utero-vaginal e formam uma placa vaginal sólida. Simultaneamente, o lúmen da vagina distal (extremidade inferior) desenvolve-se através de um processo de degeneração das células mais centrais desta placa em direcção cranial7.  ;  8. . O processo de canalização da vagina termina por volta das 20 semanas de desenvolvimento. Em particular, a membrana himenial (MH) é aquela que separa o lúmen vaginal do seio urogenital e habitualmente, o hímen rompe antes do nascimento por um processo de degeneração das células epiteliais centrais8 . A MH restante é constituída por tecido conjuntivo fibroso, que se estende sobre a parede da vagina propriamente dita. Um processo de degeneração anómala da área himenial central pode resultar em alterações da morfologia normal do hímen, facilmente identificáveis durante o exame físico da genitália externa. Assim, podem identificar-se quatro grandes tipos morfológicos secundários ao processo descrito: hímen imperfurado, microperfurado, cribiforme e septado (fig. 1 )9 .


Tipos morfológicos de hímen resultantes de processos de imperfuração ...


Figura 1.

Tipos morfológicos de hímen resultantes de processos de imperfuração anómalos/incompletos. A - hímen normal, orifício vaginal permeável; B - hímen imperfurado; C – hímen microperfurado; D - hímen cribiforme; E - hímen septado.

Uma revisão sistemática recente considerou que a prevalência média de malformações do tracto genital feminino na população em geral deverá rondar os 7%3 . Embora consideradas frequentes, nem sempre são diagnosticadas, são geralmente assintomáticas e, compreensivelmente, justifica-se a discussão acerca dos problemas metodológicos habituais nos trabalhos de investigação que envolvem este assunto2. ; 3.  ;  4. . Com efeito, a prevalência de hímen imperfurado está descrita em 1:1000 até 1:100005 .

O hímen imperfurado é uma das lesões obstrutivas mais frequentes do tracto genital feminino6 , pelo que a sua avaliação deve ser efectuada ao nascimento6.  ;  7. . Nestes casos, devido à estimulação pelo estradiol circulante materno, os recém-nascidos apresentam intróitos salientes secundários à presença de mucocolpos6 . Se o diagnóstico não for estabelecido, o muco será reabsorvido e a criança permanecerá assintomática até à menarca. Nessa altura, devido à acumulação de sangue na cavidade vaginal, são comuns os sintomas de dor abdominal/pélvica cíclica, dor lombar, retenção urinária por vezes complicada com uretrohidronefrose em meninas supostamente na pré-menarca6. ; 8.  ;  9. .

Caso clínico

Doente do sexo feminino, 12 anos, caucasiana, foi observada no serviço de urgência por episódios cíclicos (cerca de 1 vez por mês) de desconforto hipogástrico e aumento da frequência miccional com evolução de 6 meses. Estas queixas já tinham sido motivo de várias observações medicas com administração de diferentes esquemas antibióticos por infecções do tracto urinário. Negava a ocorrência da primeira menstruação e actividade sexual. Não se registaram antecedentes médicos ou cirúrgicos relevantes e negou o uso de qualquer medicação desde a última toma antibiótica (há cerca de 1 mês). Antecedentes familiares irrelevantes. Temperatura auricular, 36,2 °C; tensão arterial: 111/81 mmHg; frequência cardíaca 87 b.p.m.. Tira-teste de amostra de urina ocasional sem alterações.

Ao exame objectivo destacou-se um desconforto ligeiro à palpação da região hipogástrica sem, contudo, apresentar sinais de irritação peritoneal. O exame do períneo revelou um hímen imperfurado e saliente a partir do plano do intróito (fig. 2 ). O exame bimanual com toque rectal mostrou uma vagina acentuadamente distendida com abaulamento da parede anterior do recto.


Hímen imperfurado.


Figura 2.

Hímen imperfurado.

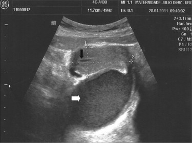
Ecograficamente, foi possível confirmar a ocorrência de distensão vaginal preenchida por conteúdo hipoecogénico (colpometra) e um hematometra laminar (fig. 3 ). Ambos os ovários eram normais. Analiticamente sem alterações de relevância; sedimento urinário e função renal normais.


Ecografia pélvica (seta branca: dilatação da vagina, hematocolpos; seta preta: ...


Figure 3.

Ecografia pélvica (seta branca: dilatação da vagina, hematocolpos; seta preta: hematometra).

O tratamento consistiu na realização de himenectomia em Y. Durante o procedimento foram drenados cerca de 500mL de um fluido castanho, viscoso com cor de chocolate (correspondente a sangue catamenial colectado) (fig. 4 ). O tecido extra-himenial foi excisado para criar um orifício de tamanho normal com sutura da mucosa vaginal ao anel himenial com Vicryl 3-0 para impedir a formação de aderências e recorrência da obstrução. Teve alta ao 2° dia de internamento. No 52° dia pós operatório foi observada em consulta e relatou um resolução completa dos sintomas. Actualmente, apresenta ciclos menstruais regulares com interlúnios de 27 dias e cataménios de 5.


Tratamento cirúrgico de hímen imperfurado (sangue viscoso, castanho tipo ...


Figure 4.

Tratamento cirúrgico de hímen imperfurado (sangue viscoso, castanho tipo chocolate - em cima e à direita).

O Consentimento informado foi solicitado para a publicação deste caso clínico e imagens correspondentes.

Discussão

Hímen imperfurado é uma anomalia que, quando presente durante a adolescência, pode ser diagnosticada facilmente através de uma história clínica e exame físico adequados10. ; 11. ; 12. ; 13.  ;  14. . Em consequência da obstrução causada pela ausência de perfuração himenial, o sangue catamenial acumulase na vagina (hematocolpos) e na cavidade uterina (hematometra)3. ; 5.  ;  7. . Este processo patológico pode reflectirse em efeitos mecânicos sobre a uretra, bexiga, intestino ou vasos sanguíneos pélvicos que podem resultar em retenção urinária (37-60%), obstipação (27%) e, em certos casos, edema dos membros inferiores6. ; 15. ; 16.  ;  17. . Ocasionalmente, a irritação de raízes nervosas do plexo sagrado pode originar dor lombar (38-40%)15 .

A discrepância entre o estadio de desenvolvimento pubertário e a ausência de menarca é um indício clínico muito importante. No caso apresentado, foi o padrão cíclico de aumento da frequência miccional que funcionou como chave para o diagnóstico.

Na verdade, a realização de exames laboratoriais ou de imagem não são, habitualmente, importantes para o diagnóstico na apresentação clássica de hímen imperfurado. Contudo, em algumas circunstâncias, se este for duvidoso, a ecografia pélvica pode ajudar na decisão cirúrgica4. ; 5.  ;  15. . O diagnóstico precoce é importante na prevenção de complicações como infecções, hidronefrose, insuficiência renal, endometriose e infertilidade.

O principal diagnóstico diferencial deve ser feito com fenestração himenial incompleta que, embora muitas vezes assintomática, necessita frequentemente de observação especializada dada a incapacidade na introdução de tampões, aplicação de tópicos vaginais ou dificuldade no coito. Particularmente, em situações de hímen microperfurado, as doentes podem referir queixas de corrimento fétido relacionadas com a obstrução parcial e má drenagem da vagina e, consequentemente, aumento do risco para doença inflamatória pélvica6. ; 13.  ;  15. .

O tratamento de hímen imperfurado é cirúrgico e, sempre, o mais precocemente possível. No entanto, pode ser efectuado em qualquer idade e o seu principal objectivo é resolver a obstrução e criar um orifício com dimensões normais. O procedimento cirúrgico, é facilitado quando os tecidos já foram submetidos a algum grau de estimulação estrogénica18 . O tratamento do hímen microperfurado, septado e cribiforme também é cirúrgico e tem como objectivo a remoção do tecido excedentário com criação de um anel himenial funcional.

O prognóstico é excelente e, embora descrita, a recorrência é pontual. No entanto, se a obstrução vaginal é causada por um septo plano médio transversal ou atresia vaginal, o prognóstico depende da presença e gravidade de outras perturbações associadas17.  ;  18. . De acordo com a ESHRE/ESGE classification system of female genital anomalies19 , o hímen imperfurado é classificado como U0C0V3 (U0= normal uterus; C0= normal cérvix; V3= transverse vaginal septum and/or imperforate hymen).

Apesar de rara, a imperfuração do hímen associada a menstruação retrógrada, é causa de dilatação da vagina e do útero, isto é, hematocolpometra. É um diagnóstico diferencial, facilmente confirmado, importante a ter em consideração em meninas na pré-menarca com dor abdominal cíclica, frequentemente associado a sintomas urinários.

Em conclusão, os autores descreveram um caso clínico de hímen imperfurado complicado com hematocolpometra, discutiram o diagnóstico e a abordagem terapêutica e fizeram uma breve revisão da literatura acerca do tema. Acrescentaram a importância de uma história clínica e exame físico adequados em meninas aparentemente na pré-menarca, com sintomas urinários e desconforto abdominal cíclicos. A polaquiúria com padrão cíclico foi, no caso descrito, o sintoma-chave para o diagnóstico. De facto, os sintomas urinários obstrutivos são uma consequência do acúmulo do sangue menstrual na vagina. Presumivelmente, a distensão da vagina promove graus variáveis de estiramento ou obstrução da uretra, por vezes modificando o angulo entre esta e o colo vesical, devido à muito estreita relação anatómica entre ambas.

Conflito de interesses

Os autores declaram não haver conflito de interesses.

Bibliografia

  1. 1. The American Fertility Society classifications of adnexal adhesions, distal tubal occlusion, tubal occlusion secondary to tubal ligation, tubal pregnancies, müllerian anomalies and intrauterine adhesions; Fertil Steril., 49 (1988), p. 944
  2. 2. P. Acién, M.I. Acién; The history of female genital tract malformation classifications and proposal of an updated system; Hum Reprod Update (2011)
  3. 3. S.H. Saravelos, K.A. Cocksedge, T.C. Li; Prevalence and diagnosis of congenital uterine anomalies in women with reproductive failure: a critical appraisal; Hum Reprod Update, 14 (2008), pp. 415–429
  4. 4. R.N. Troiano, S.M. McCarthy; Mullerian duct anomalies: imaging and clinical issues; Radiology, 233 (2004), pp. 19–34
  5. 5. A.H. Heger, L. Ticson, L. Guerra, et al.; Appearance of the genitalia in girls selected for nonabuse: review of hymenal morphology and nonspecific findings; J Pediatr Adolesc Gynecol., 15 (2002), pp. 27–35
  6. 6. L.M. Shaw, W.A. Jones, R.J. Brereton; Imperforate hymen and vaginal atresia and their associated anomalies; J R Soc Med., 76 (1983), pp. 560–566
  7. 7. P. Acién; Embryological observations on the female genital tract; Hum Reprod., 7 (1992), pp. 437–445
  8. 8. A.J. Puerta-Fonollá; Morphogenesis of the human genital tract; Ital J Anat Embryol., 103 (1998), pp. 3–15
  9. 9. H. Ulfelder, S.J. Robboy; The embryologic development of the human vagina; Am J Obstet Gynecol., 126 (1976), pp. 769–776
  10. 10. O.O. Anselm, U.H. Ezegwui; Imperforate hymen presenting as acute urinary retention in a 14-year-old nigerian girl; J Surg Tech Case Rep., 2 (2010), pp. 84–86
  11. 11. J.W. Mou, P.M. Tang, K.W. Chan, Y.H. Tam, K.H. Lee; Imperforate hymen: cause of lower abdominal pain in teenage girls; Singapore Med J., 50 (2009), pp. e378–e379
  12. 12. C. Lardenoije, R. Aardenburg, H. Mertens; Imperforate hymen: a cause of abdominal pain in female adolescents; BMJ Case Rep. (2009), p. 2009
  13. 13. J. Salvat, L. Slamani; Hematocolpos; J Gynecol Obstet Biol Reprod (Paris)., 27 (1998), pp. 396–402
  14. 14. A.S. Eksioglu, H.A. Maden, G. Cinar, Y. Tasci Yildiz; Imperforate hymen causing bilateral hydroureteronephrosis in an infant with bicornuate uterus; Case Rep Urol. (2012)
  15. 15. Z. Nazir, R.M. Rizvi, R.N. Qureshi, Z.S. Khan, Z. Khan; Congenital vaginal obstructions: varied presentation and outcome; Pediatr Surg Int., 22 (2006), pp. 749–753
  16. 16. W. Wang, M.H. Chen, W. Yang, D.L. Hwang; Imperforate hymen presenting with chronic constipation and lumbago: report of one case; Acta Paediatr Taiwan, 45 (2004), pp. 340–342
  17. 17. C.C. Liang, S.D. Chang, Y.K. Soong; Long-term follow-up of women who underwent surgical correction for imperforate hymen; Arch Gynecol Obstet., 269 (2003), pp. 5–8
  18. 18. J.A. Rock, R. Azziz; Genital anomalies in childhood; Clin Obstet Gynecol., 30 (1987), p. 682
  19. 19. G.F. Grimbizis, S. Gordts, A. Di Spiezio Sardo, et al.; The ESHRE/ESGE consensus on the classification of female genital tract congenital anomalies; Hum Reprod., 28 (2013), pp. 2032–2044
Back to Top

Document information

Published on 11/04/17

Licence: Other

Document Score

0

Views 327
Recommendations 0

Share this document

claim authorship

Are you one of the authors of this document?