Resumo

Introdução

Os schwannomas retroperitoneais são tumores raros, maioritariamente benignos e com origem na bainha dos nervos periféricos. O diagnóstico pré‐operatório correto é frequentemente impossível. São raras as descrições de exérese laparoscópica de schwannomas nesta topografia. Pretendemos apresentar um caso de um schwannoma retroperitoneal tratado por via laparoscópica.

Métodos

Homem de 61 anos, com um achado acidental por ecografia de natureza sólida retroperitoneal. A tomografia computadorizada e a ressonância magnética revelaram uma lesão nodular, de contornos bem definidos, heterogénea, com 3 cm de diâmetro, junto ao psoas maior. Foi realizada uma exérese do tumor por via laparoscópica transperitoneal.

Resultados

O tempo operatório foi de 65 minutos, não se registando qualquer complicação perioperatória. O resultado histopatológico revelou um schwannoma benigno. Ao segundo ano de seguimento o doente encontra‐se sem recidivas.

Discussão

Os schwannomas retroperitoneais são difíceis de diagnosticar pré‐operatoriamente. O diagnóstico e o tratamento de escolha é a exérese cirúrgica. A abordagem laparoscópica dos schwannomas retroperitoniais confere menor invasividade, é segura e reprodutível, sobretudo porque são lesões bem delimitadas e hipovasculares que podem ser facilmente dissecadas das estruturas adjacentes.

Abstract

Introduction

Retroperitoneal schwannomas are rare, usually benign tumours that originate in the peripheral neural sheath. Preoperative diagnosis is often impossible. Few cases of laparoscopic removal of retroperitoneal schwannoma have been reported to date. We aim to report a case of retroperitoneal schwannoma using laparoscopic surgical technique.

Methods

A 61‐year‐old man was found incidentally a solid retroperitoneal tumour by ultrasound. Abdominal computed tomography and magnetic ressonance imaging revealed a well‐defined, heterogeneous tumour, 3 cm in diameter, in pararrenal space close to psoas major. A transperitoneal laparoscopic resection was performed.

Results

Operative time was 65 minutes. The patient had an uneventful perioperative course. Histopathological exam revealed a benign schwannoma. No recurrence was detected after 2 years of follow‐up.

Discussion

Preoperative establishment of diagnosis is difficult in case of retroperitoneal schwannomas even with imagiologic or biopsy studies. Complete resection is the diagnosis and treatment of choice. Laparoscopic treatment is minimal invasive, safe and feasible for retroperitoneal schwannomas mainly because these lesions are well limited and hypovascular, allowing a careful dissection from adjacent structures through an improved visualization.

Palavras‐chave

Schwannoma ; Espaço retroperitoneal ; Laparoscopia

Keywords

Schwannoma ; Retroperitoneal space ; Laparoscopy

Introdução

Os schwannomas são lesões tumorais raras com origem nas células de Schwann, que constituem as bainhas dos nervos periféricos. Na sua maioria são de natureza benigna, solitários e de crescimento lento, podendo, em alguns casos, apresentar alterações degenerativas quísticas1 . A sua transformação maligna é muito rara, contudo, foram já reportados vários casos, sobretudo em indivíduos com doença de Von Recklinghausen (neurofibromatose tipo 1)2 . A sua distribuição é mais comum na cabeça, pescoço, extremidades e no mediastino posterior3 . O schwannoma com origem retroperitoneal é raro (aproximadamente 3‐5%) e constitui aproximadamente 0,5‐4% de todos os tumores retroperitoneais4  ;  5 . O envolvimento primário do trato urinário é infrequente, embora o envolvimento do pénis, testículos, cordão espermático e túnica vaginalis tenham já sido referenciados6 . O envolvimento do trato urinário é frequentemente secundário à compressão da bexiga, ureter ou rim pelo tumor. Embora possam ocorrer em qualquer idade, os schwannomas retroperitoneais são mais comuns da 4.a à 6.a décadas de vida, sem predomínio por qualquer sexo, embora alguns estudos refiram uma maior prevalência nas mulheres numa razão de 3:27 .

Um diagnóstico pré‐operatório é muitas vezes impossível dado que os exames complementares não permitem distinguir o schwannoma retroperitoneal de outros tumores de origem neurogénica e excluir a sua natureza maligna8 . A tomografia axial computadorizada e outros exames imagiológicos permitem apenas fornecer informações relativas ao tamanho, localização e relações anatómicas do tumor. O exame histológico após a exérese tumoral é necessário para a confirmação diagnóstica. Apesar de a laparoscopia ser amplamente utilizada na abordagem a várias doenças urológicas (p. ex.: nefrectomia, pieloplastia), ainda são poucos os relatos de exérese de schwannomas retroperitoneais por esta abordagem. Pretendemos apresentar um caso de um schwannoma retroperitoneal tratado por laparoscopia com sucesso e discutir as vantagens deste procedimento.

Caso clínico

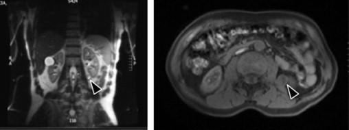
Homem de 61 anos com antecedentes de urolitíase. Fez uma ecografia de rotina onde se identificou uma imagem de natureza sólida pararrenal esquerda com cerca de 2 cm. Doente assintomático, sem dor abdominal ou no flanco. Dois meses depois efetua uma tomografia computadorizada e uma ressonância magnética que confirmaram uma lesão nodular pararrenal com 3 cm de maior diâmetro, de contornos bem definidos, com reforço heterogéneo em fase arterial, na face póstero‐inferior do rim esquerdo, junto ao músculo psoas maior (fig. 1 ). Perante a suspeita de tumor retroperitoneal primário de etiologia desconhecida e em crescimento progressivo realizou‐se uma laparoscopia exploradora.


Estudo imagiológico com corte coronal em T2 (esquerda) e corte axial à esquerda ...


Figura 1.

Estudo imagiológico com corte coronal em T2 (esquerda) e corte axial à esquerda em T1 (direita).

Em posição de decúbito lateral direito. Sob anestesia geral e pneumoperitoneu a 12 mmHg segundo a técnica de Hasson, colocaram‐se 2 trocares de trabalho de 5 mm (subcostal e flanco) e 2 trocares de 10 mm, um infraumbilical para a ótica de 10 mm com uma angulação de 30° e outro de trabalho na fossa ilíaca esquerda (fig. 2 ). O cirurgião colocou‐se à direita do doente com o ajudante. Depois da separação do espaço parietocólico pela linha de Toldt com gancho monopolar (Storz Monopolar Dissecting L‐Hook Cannula™), identificou‐se um tumor esbranquiçado de consistência elástica, encapsulado, situado sobre o músculo psoas, sem relação com o ureter, rim ou aorta. Realizou‐se a exérese completa do tumor com preservação do ureter e das estruturas nervosas adjacentes (fig. 3 ). A peça foi retirada através de um saco (Covidien Endo Catch™ Single Use Specimen Pouches), pela incisão do trocar da fossa ilíaca esquerda.


Posicionamento dos trocares.


Figura 2.

Posicionamento dos trocares.


Imagem intraoperatória da exérese de schwannoma retroperitoneal (3,5×3,1×2,8cm).


Figura 3.

Imagem intraoperatória da exérese de schwannoma retroperitoneal (3,5 × 3,1 × 2,8 cm).

O tempo operatório foi de 65 minutos, não se registando qualquer complicação intra e pós‐operatória. As perdas hemáticas foram vestigiais. A evolução pós‐operatória foi favorável com alta às 36 horas após a cirurgia. O resultado histológico revelou um schwannoma benigno, capsulado, com margens negativas, com áreas de células fusiformes (padrão Antoni A), bem como regiões mixoides mais laxas (padrão Antoni B) e positividade difusa para a proteína S‐100 (fig. 4 ). Ao 2.° ano de follow‐up o doente encontra‐se clinicamente assintomático, sem recorrências locais ou metástases à distância.


À esquerda tumor mostrando áreas celulares fusiformes‐padrão Antoni A (cabeça de ...


Figura 4.

À esquerda tumor mostrando áreas celulares fusiformes‐padrão Antoni A (cabeça de seta) em coloração de H & E. À direita coloração imuno‐histoquímica com positividade difusa para a proteína S‐100.

Discussão

As formas solitárias de schwannomas são de baixo potencial maligno, sendo a sua aparição a nível retroperitoneal extremamente rara. Quando ocorrem no retroperitoneu estão normalmente adjacentes a nervos do plexo lombossagrado e muito raramente provêm de órgãos retroperitoneais (p. ex.: rim)9 . O primeiro caso de tumor das bainhas nervosas retroperitoneal foi descrito em 195410 . Uma vez que apresentam habitualmente crescimento lento, os schwannomas retroperitoneais são muitas vezes assintomáticos e identificados acidentalmente, tal como aconteceu neste caso. Estes tumores podem tornar‐se sintomáticos pela compressão que exercem nas estruturas adjacentes de acordo com o tamanho e a localização, após adquirirem dimensões volumosas de forma insidiosa. Os achados clínicos, quando existem, são vários e inespecíficos: urinários (hematúria, hidronefrose pela compressão ureteral), dor lombar, hipertensão renovascular, perda de peso, febre de origem indeterminada e trombose venosa11  ;  12 .

A confirmação pré‐operatória do diagnóstico é pouco frequente e difícil. O diagnóstico diferencial deve ser estabelecido com neurofibromas, leiomiomas, leiomiossarcomas, tumores malignos dos nervos periféricos e melanomas malignos. O estudo imagiológico per si pode sugerir, mas não pode confirmar a presença de um schwannoma de natureza benigna dada a baixa especificidade. Os schwannomas benignos são normalmente solitários e com forma esférica ou ovoide, contudo, podem demonstrar alterações degenerativas tais como: quistos, calcificações, ou hemorragia 13 . Segundo Takatera et al. 14 , foram detetadas transformações quísticas em 66% dos schwannomas do retroperitoneu. Por outro lado, o tamanho do tumor e o grau de invasividade não estão associados com a possibilidade de malignidade15 . A ecografia revela o seu tamanho e crescimento, a heterogeneidade ecogénica e a eventual presença de áreas quísticas e calcificações. A tomografia computadorizada e a ressonância magnética definem as relações anatómicas da lesão, as características intrínsecas e o compromisso com estruturas vizinhas, permitindo um melhor mapeamento pré‐cirúrgico16 . A biópsia aspirativa guiada por tomografia computadorizada não parece contribuir muito para o diagnóstico definitivo e permanece discutível, sobretudo na presença de alterações quísticas, necróticas, hemorrágicas ou calcificações15 . Outros autores sugerem que a «core» biópsia fornece um diagnóstico pré‐operatório preciso e quando combinado com as características imagiológicas descritas permite uma atitude conservadora, não cirúrgica e uma vigilância tumoral por exames de imagem seriados17 . Contudo, o pleomorfismo celular, o componente quístico e a grande vascularização podem impedir muitas vezes o diagnóstico e podem associar‐se a complicações hemorrágicas, infeção ou risco de disseminação (sementeira) da massa, razão pela qual muitos outros autores não recomendam a biópsia 9 ; 15  ;  18 .

A aparência histológica típica do schwannoma demonstra um tumor encapsulado com 2 áreas estruturalmente diferentes (padrão Antoni A e Antoni B). O padrão Antoni A caracteriza‐se pela presença de uma grande densidade de células alongadas com expansões citoplasmáticas que estão arranjadas em fascículos com pouca matriz de estroma; as «zonas livres de núcleos» das expansões que se situam entre as regiões de paliçadas nucleares são denominadas corpos de Verocay. Por outro lado, o padrão Antoni B é hipocelular com um mesclado frouxo de células ao longo de alterações microcísticas e mixoides19  ;  20 . Estudos imuno‐histoquímicos confirmam o diagnóstico em absoluto através da positividade para a proteína S‐10019 . No nosso caso, o tumor apresentou as características acima mencionadas e positividade para S‐100.

Dada a controvérsia e a dificuldade em estabelecer um diagnóstico pré‐operatório preciso, a ressecção cirúrgica com inclusão da cápsula é habitualmente realizada com fins diagnósticos e terapêuticos, tal como no nosso caso. Várias abordagens cirúrgicas têm sido descritas: transperitoneal por via anterior ou ântero‐lateral e retroperitoneal por via lateral ou paravertebral20 . A abordagem laparoscópica tem sido descrita por algumas equipas21 ; 22  ;  23 . Esta abordagem minimamente invasiva permite uma observação detalhada sob visão ampliada, sobretudo em espaços anatómicos estreitos e uma dissecção cuidadosa e ressecção completa do schwannoma. Neste doente optámos pelo procedimento laparoscópico uma vez que o tumor se apresentava bem localizado, pouco vascularizado e aparentemente sem invasão de estruturas adjacentes. Durante o procedimento constatámos que a visão ampliada e de alta definição fornecida pela via laparoscópica favoreciam a dissecção pelo plano de clivagem entre o tumor e o nervo lombossagrado. Por fim, o tempo de recuperação pós‐operatória foi rápido (36 h), algo que provavelmente não seria possível se a abordagem tivesse sido laparotómica.

A complicação intraoperatória mais grave é a hemorragia dada a proximidade com estruturas vasculares major (veia cava, aorta abdominal). Estão descritas também lesões dos nervos adjacentes ao tumor condicionando parestesias e/ou dor lombar e das extremidades24 . O nosso doente não apresentou complicações intraoperatórias nem durante o seguimento. Embora as tentativas de ressecção completa do tumor estejam relacionadas com mais complicações, o desejável é a exérese completa do tumor com margens negativas, já que se deve considerar a possibilidade de recorrência dos schwannomas benignos ressecados de forma parcial, além de que não é possível excluir, nem mesmo com biópsias intraoperatórias repetidas, a malignidade do tumor15  ;  24 .

Aos 2 anos de seguimento o nosso doente não apresenta evidências de recorrência do tumor. Existem alguns relatos de metastização após a ressecção de schwannomas histologicamente benignos. Portanto, sugere‐se manutenção de vigilância imagiológica após a exérese de schwannomas benignos retroperitoneais25 .

Em conclusão, o schwannoma retroperitoneal é uma neoformação pouco frequente, de apresentação inespecífica e habitualmente corresponde a um achado. As técnicas de imagem disponíveis, tal como a tomografia axial, a ressonância magnética e a ecografia, não têm uma especificidade capaz de precisar o diagnóstico de schwannoma pré‐operatório. A abordagem laparoscópica é um meio seguro e reprodutível para a obtenção de um diagnóstico histológico e para um tratamento minimamente invasivo de tumores retroperitoneais sugestivos de benignidade.

Responsabilidades éticas

Proteção de pessoas e animais

Os autores declaram que os procedimentos seguidos estavam de acordo com os regulamentos estabelecidos pelos responsáveis da Comissão de Investigação Clínica e Ética e de acordo com os da Associação Médica Mundial e da Declaração de Helsinki.

Confidencialidade dos dados

Os autores declaram ter seguido os protocolos do seu centro de trabalho acerca da publicação dos dados de pacientes.

Direito à privacidade e consentimento escrito

Os autores declaram ter recebido consentimento escrito dos pacientes e/ou sujeitos mencionados no artigo. O autor para correspondência deve estar na posse deste documento.

Conflito de interesses

Os autores declaram não haver conflito de interesses.

Referências

  1. 1 J.Y. Song, S.Y. Kim, E.G. Park, C.J. Kim, G. Kim do, H.H. Lee, et al.; Schwannoma in the retroperitoneum; J Obstet Gynaecol Res, 33 (2007), pp. 371–375
  2. 2 A. Dispenza, A. de Stefano; Solitary vestibular schwannoma: Decision making of treatments . Tumours of the central nervous system  ; Volume 7: Meningiomas and Schwannomas (1st Edition.), Springer (2012), p. 260
  3. 3 S.H. Kim, B.I. Choi; CT and MRI findings in a case of pelvic schwannoma; AJR, 159 (1992), pp. 1023–1026
  4. 4 E.L. Felix, D. Wood, T.K. das Gupta; Tumours of the retroperitoneum; Curr Probl Cancer, 6 (1981), pp. 3–18
  5. 5 Q. Li, C. Gao, J.T. Juzi, X. Hao; Analysis of 82 cases of retroperitoneal schwannoma; ANZ J Surg, 77 (2007), pp. 237–240
  6. 6 F. Matsui, Y. Kobori, H. Takashima, T. Amano, K. Takemae; A case of intrascrotal schwannoma; Hinyokika Kiyo, 48 (2002), pp. 749–751
  7. 7 R.S. Cotran, V. Kumar; Robbins Pathologic Basis of Disease; (4th edition.)WB Saunders Co, Phyladelphia (1989), pp. 1445–1446
  8. 8 K.A. Brady, J.P. McCarron, E.D. Vaughan Jr., P. Javidian; Benign schwannoma of the retroperitoneal space: Case report; J Urology, 150 (1993), pp. 179–181
  9. 9 E. De Diego Rodríguez, A. Roca Edreira, B. Martín García, R. Hernández Rodriguez, J.A. Portillo Martin, J.L. Gutiérrez Baños, et al.; Schwannoma benigno retroperitoneal. Aportación de un nuevo caso; Actas Urol Esp, 24 (2000), pp. 685–692
  10. 10 C.L. Demming, H.R. Newman; Schwannomas; J Urol, 72 (1954), pp. 316–319
  11. 11 C. Pollo, A. Richard; Résection d́un schwannome retroperitoneal en sablier par abord combine; Neurochirurgie, 50 (1) (2004)
  12. 12 F.M. Alsheri, M. Hussain, E. Aljuaid, M.A. Alghamdi, B. Mohammed, O. AlThaqufi; Retroperitoneal schwannoma presenting as deep venous thrombosis; Eur J Radiolo Extra, 77 (2011), pp. 59–62
  13. 13 Y. Kececi, T. Gurler, H. Gundogan, U. Bilkay, A. Cagdas; Benign giant schwannoma located in the upper arm; Ann Plast Surg, 39 (1997), pp. 100–102
  14. 14 H. Takatera, H. Takiuchi, M. Namiki, M. Takaha, S. Ohnishi, T. Sonoda; Retroperitoneal schwannoma; Urology, 28 (1986), pp. 529–531
  15. 15 S. Daneshmand, D. Youssefzadeh, K. Chamie, W. Boswell, N. Wu, J.P. Stein, et al.; Benign retroperitoneal schwannoma: A case series and review of the literature; Urology, 62 (2003), pp. 993–997
  16. 16 K. Nasu, K. Arima, J. Yoshimatsu, I. Miyakawa; CT and MRI findings in a case of pelvic schwannoma; Gynecol Obstet Invest, 46 (2) (1998), pp. 142–144
  17. 17 M.J. Hughes, J.M. Thomas, C. Fisher, E.C. Moskovic; Imaging features of retroperitoneal and pelvic schwannomas; Clin Radiol, 60 (2005), pp. 886–893
  18. 18 R. Neifer, G.K. Nguyen; Aspiration cytology of solitary schwannoma; Acta Cytol, 29 (1985), pp. 12–14
  19. 19 I. Harkin; Pathology of nerve sheath tumors; Ann Dermatol Venereol, 486 (1986), pp. 147–154
  20. 20 N. Hoarau, K.D. Slim, D. da Ines; CT and MR imaging of retroperitoneal schwannoma; Diagn Interv Imaging, 94 (2013), pp. 1133–1139
  21. 21 N. Asakage; Laparoscopic resection of a retroperitoneal schwannoma; Asian J Endosc Surg, 5 (1) (2012), pp. 25–30
  22. 22 T. Imao, M. Seki, T. Amano, K. Takemae; Laparoscopic resection of retroperitoneal schwannoma: Report of three cases and review of 22 cases in Japanese literature; Hinyokika Kiyo, 57 (9) (2011), pp. 491–495
  23. 23 M.O. Cadeddu, J. Mamazza, C.M. Schlachta, P.A. Seshadri, E.C. Poulin; Laparoscopic excision of retroperitoneal tumors: Technique and review of the laparoscopic experience; Surg Laparosc Endosc Percutan Tech, 11 (2) (2001), pp. 144–147
  24. 24 W. Carpenter, J.W. Kernohan; Retroperitoneal ganglioneuromas and neurofi bromas: A clinicopathological study; Cancer, 16 (1963), pp. 788–796
  25. 25 T. Ohigashi, S. Nonaka, T. Nakanoma, M. Ueno, N. Deguchi; Laparoscopic treatment of retroperitoneal benign schwannoma; Int J Urol., 6 (1999), pp. 100–103
Back to Top

Document information

Published on 11/04/17

Licence: Other

Document Score

0

Views 15
Recommendations 0

Share this document

claim authorship

Are you one of the authors of this document?