Resumo

Introdução

Os divertículos uretrais femininos (DUF) afetam de 0,6 a 4,7% das mulheres, causam frequentemente sintomas urinários persistentes e podem associar‐se a complicações como litíase e transformação maligna. Existe ainda elevado subdiagnóstico de DUF, bem como atraso diagnóstico e terapêutico. O objetivo deste trabalho é analisar o estado de arte em relação à etiologia, diagnóstico e terapêutica desta patologia.

Materiais e métodos

Revisão bibliográfica de artigos obtidos até janeiro/2014 na base de dados Medline utilizando as palavras‐chave: «female urethral diverticula», «female urethral diverticulum», «urethral diverticula», «urethral diverticulum» e «female urethra»; e após pesquisa de referências bibliográficas relevantes nos artigos obtidos.

Resultados

A maioria dos DUF parecem surgir secundariamente à infeção das glândulas periuretrais e uretrais. Apesar da associação clássica à tríade de disúria, dispareunia e gotejo pós‐miccional, as manifestações clínicas são diversas e inespecíficas. Mais de um terço são palpáveis ao exame ginecológico. Os métodos imagiológicos disponíveis, nomeadamente a ressonância magnética e a ecografia, apresentam elevada capacidade diagnóstica e contribuem para o planeamento cirúrgico. Dependendo da localização, conformação e sintomatologia associada, a terapêutica dos DUF poderá ser conservadora ou, na maioria dos casos, cirúrgica.

Discussão

A avaliação clínica permanece essencial para o diagnóstico de DUF. A ressonância magnética é a modalidade com maior taxa de diagnóstico e de exclusão de complicações pré ou pós‐operatórias. Foram descritas técnicas menos invasivas, porém a diverticulectomia uretral transvaginal permanece a terapêutica com maior cura sintomática.

Conclusão

A sensibilização da comunidade médica é a melhor arma no combate ao subdiagnóstico e atraso diagnóstico dos DUF.

Abstract

Introduction

Urethral diverticula affect from 0.6 to 4.7% of women, are a frequent cause of persistent urinary symptoms and can present with complications such as lithiasis and malignization. Today, underdiagnosis and diagnostic and therapeutic delay of female urethral diverticula are still common. The aim of this article is to analyse the state of art regarding ethiology, diagnosis and therapeutics of this disease.

Materials and methods

Bibliographic revision of articles published until January/2014 after search of the database Medline for the keywords: “female urethral diverticula”, “female urethral diverticulum”, “urethral diverticula”, “urethral diverticulum” and “female urethra”; and of bibliographic references of the articles obtained.

Results

Most female urethral diverticula are secondary to infection of the periurethral and urethral glands. Despite the classically described triad of dysuria, dyspareunia and post‐void dribbling, the clinical manifestations are diverse and unspecific. Over a third are palpable on gynaecologic examination. Imaging exams, namely magnetic resonance and ultrasound, have high diagnostic capability and contribute to surgical planning. Depending on location, conformation and associated symptoms, urethral diverticula can be managed conservatively or, more frequently, surgically.

Discussion

Clinical evaluation is still essential for the diagnosis of female urethral diverticula. Currently, magnetic resonance is considered to be the best modality to diagnose the diverticula and to exclude pre‐ and post‐operative complications. Less invasive techniques have been described but transvaginal urethral diverticulectomy yields the highest symptomatic cure rates.

Conclusion

Awareness of the medical community is the most powerful weapon to reduce the underdiagnosis and diagnostic delay associated with female urethral diverticula.

Palavras‐chave

Uretra ; Doenças da uretra ; Divertículo ; Feminino

Keywords

Urethra ; Urethral diseases ; Diverticulum ; Female

Introdução

Os divertículos da uretra feminina (DUF) representam protrusões localizadas da uretra que se insinuam para os tecidos periuretrais1 . Desde o primeiro relato por William Hey, em 18032 , a sensibilização da comunidade médica e o progresso na área da imagiologia3 contribuíram para o aumento da taxa de diagnóstico dos DUF4 . Não obstante, a multiplicidade de apresentações clínicas continua a condicionar elevado subdiagnóstico1 e atraso diagnóstico e terapêutico – previamente foram reportados períodos medianos de 9,55 a 62 meses6 desde a apresentação até ao diagnóstico e médios de 4 anos desde o diagnóstico até à referenciação a um centro terciário7 . Frequentemente são atribuídos diagnósticos erróneos8 , sendo necessárias, em média, 9 consultas com médicos diferentes até ser comprovada a patologia diverticular6 .

Em 1958, David e Telinde afirmaram que «o instrumento mais importante para o diagnóstico de DUF é o elevado índice de suspeição»9 . Atualmente o uso adequado de exames imagiológicos é igualmente um passo essencial na investigação diagnóstica desta patologia10 .

Epidemiologia

Os DUF são mais frequentes em mulheres de ascendência africana11 e afetam principalmente o período entre a terceira e a sexta décadas de vida12  ;  13 .

A dificuldade diagnóstica representa um obstáculo ao conhecimento da incidência e prevalência dos DUF. Uma análise na comunidade indica, para o período compreendido entre 2000‐2005, uma incidência de 33,8 por milhão de mulheres por ano11 . Estudos publicados há mais de 30 anos, baseados em análise de autópsias ou após referenciação hospitalar reportam uma prevalência entre 0,6‐4,7%14  ;  15 . Contudo, em mulheres com sintomas urinários recorrentes ou massas periuretrais, a prevalência atinge os 16%16 e entre 60‐84%17  ;  18 , respetivamente, devendo o diagnóstico de DUF ser considerado na presença destas manifestações clínicas.

Etiologia

Os DUF podem ter origem congénita ou adquirida. Apesar de raros1 , os divertículos congénitos podem dever‐se, por exemplo, à persistência de remanescentes embrionários do canal de Gartner19 , de células de origem mulleriana19 ou à deficiente união dos seios urogenitais primordiais1 .

A etiologia adquirida é a mais frequente19 e pode ser secundária a fenómenos inflamatórios/infeciosos ou traumáticos1 .

Em 1980, Routh20 descreveu o mecanismo fisiopatológico de DUF mais consensual até hoje: segundo este autor, a infeção repetida das glândulas periuretrais e uretrais conduz à obstrução dos canais glandulares com formação de quistos ou abcessos que eventualmente rompem para o lúmen uretral. Forma‐se, assim, uma comunicação que persiste, sendo a cavidade subsequentemente epitelizada e formando‐se o DUF20 . Posteriormente, a recorrência da infeção leva à inflamação e obstrução do colo diverticular, o que explica a natureza episódica das manifestações clínicas6 . Vários dados suportam a hipótese de Routh: pelo menos 60% dos DUF localizam‐se ao nível dos 2 terços distais da uretra12  ;  13 e comunicam com o lúmen uretral através da sua parede posterior16 – a mesma localização anatómica das glândulas uretrais21 . Um estudo com ressonância magnética detetou «divertículos não comunicantes», estruturas que poderão corresponder a uma fase precoce da doença, previamente à formação de comunicação com o lúmen uretral22 . Adicionalmente, o padrão histológico de neoplasia maligna intradiverticular mais frequente é o adenocarcinoma18 ; 23  ;  24 – por oposição ao carcinoma pavimento‐celular, mais comum nas neoplasias primárias da mucosa uretral25 – e os padrões microscópicos de lesão crónica intradiverticular mais usuais têm natureza glandular, tais como o adenoma viloso, a metaplasia intestinal ou a displasia23 .

Em 1998, Leng e Maguire26 propuseram outro fator etiológico para os DUF: a existência de um defeito da fascia periuretral que permita a protrusão de parte da parede uretral. A descrição de casos de aparecimento de DUF de colo largo – frequentemente associados a incontinência urinária de esforço – após cirurgia uretral26 ou injeção local de colagénio27 suportam esta hipótese, bem como o facto de metade dos DUF com comunicação uretral anterior se associarem a manipulação cirúrgica pélvica prévia16 .

Características macro e microscópicas

A maioria dos DUF relaciona‐se com a parede média ou distal da uretra12  ;  13 e comunica com a sua parede posterior (ver fig. 1 )16 . Geralmente, são únicos12 ; 23  ;  28 , com apenas um orifício de abertura para a uretra10 e com dimensões entre os 0,2 e os 6 cm13 ; 23 ; 29  ;  30 . Contudo, podem ser múltiplos em 6‐22% dos casos12 ; 23  ;  28 , frequentemente com canais comunicantes finos e friáveis entre si31 . Similarmente, podem apresentar conformações complexas resultantes do seu prolongamento anterior31 : em 10‐38% dos casos apresentam forma de ferradura12 ; 13 ; 23 ; 24 ; 28  ;  29 e em 4‐33% são circunferenciais23 ; 24 ; 28  ;  29 . Ocasionalmente, poderão prolongar‐se proximalmente, relacionando‐se anatomicamente com o colo e trígono vesicais10 .


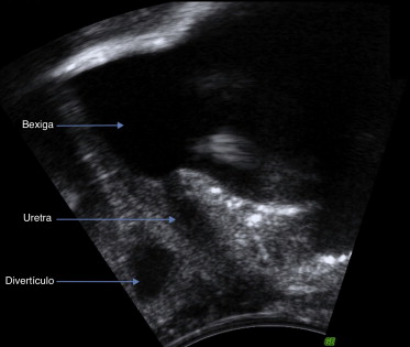
Imagem ecográfica em plano para‐sagital obtida com sonda transvaginal de ...


Figura 1.

Imagem ecográfica em plano para‐sagital obtida com sonda transvaginal de divertículo da uretra feminino em relação com a parede uretral média posterior.

A descrição pré‐operatória da conformação diverticular é essencial para o planeamento da abordagem cirúrgica10 . Assim, preconiza‐se a utilização da classificação L/N/S/C332 , proposta em 1993. Segundo esta classificação, «L» define o local do divertículo (proximal, médio ou distal; com ou sem extensão ao colo vesical), «N» representa o número (único ou múltiplos), «S» (do inglês size ) define o tamanho em centímetros e os três «C» representam a configuração (simples, multiloculado ou em ferradura), a comunicação (o orifício diverticular abre para o lúmen distal, médio ou proximal da uretra) e a continência (presença ou ausência de incontinência de esforço) 32 .

Microscopicamente, os DUF são mais frequentemente revestidos por epitélio de transição, podendo existir alterações reativas da mucosa, como metaplasia pavimentosa ou adenoma nefrogénico23 . Em 66% das mulheres coexiste um padrão de infiltração linfocitária23 , que poderá ser exacerbado pela presença concomitante de litíase intradiverticular31 . Foram previamente descritos focos de endometriose intradiverticular6 e, em até 6% das mulheres23 , pode ocorrer transformação maligna intradiverticular, mais frequentemente, adenocarcinoma33 .

Manifestações clínicas

O quadro clínico dos DUF pode ser diverso e inespecífico34 , estando descritos, num extremo, casos assintomáticos13  ;  23 e, noutro, a tríade clássica de disúria, dispareunia e gotejo pós‐miccional1 . Exceto quando existe efeito de massa35 , o aparecimento de sintomatologia parece depender mais da patência e do diâmetro do orifício diverticular do que do tamanho ou número de DUF13 . O quadro clínico tem um carácter episódico, por vezes com intervalos livres de sintomatologia de meses ou anos6 . As manifestações clínicas mais frequentes de DUF encontram‐se explicitadas na tabela 1 e resultam da análise das séries com 30 ou mais doentes publicadas nos últimos 20 anos.

Tabela 1. Frequência relativa das manifestações clínicas associadas aos divertículos da uretra feminina
Thomas et al., 200823 Ljungqvist et al., 200712 Ganabathi et al., 199413 Lee et al., 200829 Romanzi et al., 20006 Pathi et al., 201317 Ockrim et al., 20097 Han et al., 200728 Jacoby et al., 199936
Número de doentes 90 68 63 50 46 36 30 30 30
Manifestações clínicas
Tríade clássica* (%) 23 3,3
Disúria (%) 23 20,6 14 8,8 41 60 37 52
Dispareunia (%) 17 6,3 18 24 50 53 17
Gotejo pós‐miccional (%) 7,4 4,8 12 4,4 48 30 20 24
Incontinência urinária de esforço (%) 4 8,8 57,1 50 20 38
Imperiosidade (%) 8 17,5 52 41
Incontinência urinária com imperiosidade (%) 11,1 32 34
Incontinência urinária mista (%) 10 1,5
Polaquiúria (%) 19 15,9 42 38
Retenção urinária (%) 6 4,4 3 21
Infeções urinárias de repetição (%) 33 38,1 20 8,8 28 17 10 52
Hematúria macroscópica (%) 3 4,8 10
Corrimento uretral purulento (%) 3,2 4 27 17
Dor uretral ou pélvica (%) 35 1,6 24 48 7 17 17
Dor à palpação da parede vaginal anterior (%) 11,1 36
Massa palpável na parede vaginal anterior (%) 52,2 83 83 36,7
Descarga uretral purulenta à palpação da parede vaginal anterior (%) 66 30 50
  • . disúria, dispareunia e gotejo pós‐miccional.

Ao exame objetivo mais de um terço das doentes apresentam uma massa à palpação da parede vaginal anterior6 ; 7 ; 13 ; 28  ;  36 . Este achado contribui para o diagnóstico mais precoce da patologia6 , principalmente se se fizer acompanhar de descarga uretral purulenta simultânea, o sinal mais específico de DUF17 .

Divertículos de grandes dimensões ou com massas intradiverticulares, incluindo o adenoma nefrogénico23 , podem causar obstrução ao esvaziamento vesical levando a retenção urinária e a sintomas de esvaziamento6 , tais como incontinência por regurgitação. A presença destes sintomas, de hematúria e a palpação de uma massa dura devem fazer suspeitar de neoformação maligna33 ou litíase intradiverticular13 .

É de notar que a multiplicidade de apresentações clínicas dos DUF condiciona um vasto leque de diagnósticos diferenciais34 , tais como: cistite intersticial ou crónica1 , abcesso de glândula uretral1 , quisto da parede vaginal1 , quisto ou abcesso do canal de Gartner1 , cistocelo6 , ureterocelo cego ectópico no septo urovaginal1 , fibrose periuretral10 ou síndrome uretral1 .

Métodos complementares de diagnóstico

Apesar de ter elevado valor preditivo positivo (85%), o exame objetivo tem reduzida especificidade (25%) no diagnóstico de DUF37 . Assim, os exames complementares são essenciais para o diagnóstico definitivo e potencial exclusão de complicações, otimizando o planeamento cirúrgico38 e informando relativamente à localização, número, tamanho, configuração e comunicações do divertículo39 . A visualização de uma estrutura cujo colo comunica com o lúmen uretral é um dos sinais imagiológicos mais específicos de DUF35  ;  39 . Quando o colo não é visualizado, a ausência de proximidade e deformação da uretra permite a exclusão do diagnóstico de DUF35 .

Atualmente, a preferência recai sobre exames menos invasivos – a cateterização uretral aumenta o risco de infeção urinária e de lesão uretral38 –, com elevado contraste tecidular e capacidade de captação de imagens multiplanares, garantindo maior detalhe anatómico35 . Por vezes, são necessários múltiplos testes ou repetição de exames já previamente realizados para diagnosticar esta patologia35 .

Uretroscopia

A uretroscopia é um método invasivo que permite a inspeção da uretra com um endoscópio após dilatação luminal31 . Devido ao reduzido tamanho da uretra feminina16 , a visualização de um defeito da parede uretral sugestivo de DUF nem sempre é possível6 , especialmente se a localização for distal ou o colo estiver obstruído40 . Contudo, a observação é facilitada se ocorrer simultaneamente compressão extrínseca da parede vaginal anterior, quer devido à distensão das pregas da mucosa uretral6  ;  35 quer por drenagem purulenta simultânea para o lúmen uretral35 .

Apesar de ter valor preditivo positivo de 100% para o diagnóstico de DUF41 , este exame não permite avaliar o tamanho ou configuração do divertículo35 , condicionando a sua utilização em primeira linha.

Uretrocistografia miccional

O estudo radiográfico contrastado durante o enchimento vesical e a micção permite a visualização de uma imagem de adição justa‐uretral aquando da presença de DUF35 . A aquisição de imagens em 2 planos perpendiculares garante a definição do colo diverticular35 e a presença adicional de imagens de subtração intradiverticulares deve alertar para a presença de neoplasia ou litíase1 .

A uretrocistografia miccional é frequentemente utilizada como exame de primeira linha quando existe suspeita de DUF devido à sua facilidade de execução e interpretação39 . Contudo, não permite o estudo de estruturas periuretrais10 , pode subestimar a dimensão dos DUF38  ;  42 ou subdiagnosticá‐los36  ;  42 , principalmente se forem pequenos36 , complexos38  ;  42 , estiverem apenas parcialmente preenchidos39 ou com o colo obstruído ou estenótico42 . Assim, é frequente a necessidade de métodos imagiológicos complementares42 .

Uretrografia com duplo balão

A uretrografia com pressão positiva retrógrada ou com duplo balão consiste na obtenção de imagens da uretra após a introdução de contraste a elevada pressão através de um cateter com 2 balões, um intravesical e outro ao nível do meato uretral16 ; 36 ; 42  ;  43 .

A sensibilidade deste exame situa‐se entre os 88‐100%36 ; 42  ;  43 , sendo superior à da uretrocistografia miccional36  ;  42 . Porém, as variações anatómicas da uretra feminina16 , o posicionamento do cateter16 e a pressão de introdução do contraste1 podem dificultar a interpretação das imagens obtidas.

Atualmente, a uretrografia com duplo balão é pouco utilizada devido à sua invasividade44 , morosidade e dificuldade técnica de execução35 .

Ecografia

A ecografia permite, em tempo real e com avaliação multiplanar35 , analisar a anatomia uretral e periuretral35 , oferecendo grande detalhe na caracterização dos DUF sem exposição à radiação (ver fig. 2 )35  ;  45 . A visualização do colo diverticular nem sempre é possível35  ;  45 , dificultando o diagnóstico diferencial. Apesar de ser um exame operador‐dependente35 e menos sensível quando existe colapso diverticular35 ou patologia do pavimento pélvico46 , a ecografia apresenta capacidade diagnóstica superior à da uretrocistografia miccional34  ;  35 . Comparativamente à ressonância magnética, poderá ser superior no que concerne à diferenciação entre múltiplos e um DUF único septado41 .


Imagens ecográficas obtidas com sonda transvaginal e reconstrução tridimensional ...


Figura 2.

Imagens ecográficas obtidas com sonda transvaginal e reconstrução tridimensional de divertículo da uretra feminina.

Existem várias vias de abordagem para a captação de imagens ecográficas: as transabdominal e transperineal estão associadas a menor sensibilidade46 . A abordagem endoluminal (transvaginal35 , transretal47 ou transuretral35 ), apesar de ter maior poder diagnóstico, é mais desconfortável para a doente48 . Atualmente, a sonda transvaginal é a mais utilizada39 já que evidencia claramente as relações espaciais entre os DUF e estruturas circundantes49 . Em contexto intraoperatório, a utilização de sondas endoluminais auxilia a dissecção completa das lesões com manutenção da integridade da uretra e colo vesical50  ;  51 .

A técnica de colour‐Doppler permite analisar a vascularização septal e o conteúdo diverticular, sendo particularmente útil na avaliação de massas suspeitas 39 . O preenchimento retrógrado da uretra com contraste sonográfico auxilia a visualização dos orifícios diverticulares e no diagnóstico diferencial com outras lesões periuretrais45 .

Ressonância magnética

A ressonância magnética permite definir a extensão e arquitetura da doença diverticular38 com capacidade diagnóstica superior à da uretrocistografia miccional38 ; 41  ;  44 e da uretroscopia41 e superior44 ou semelhante43 à da uretrografia com duplo balão. A ponderação T2 permite a deteção de fluído ou resíduos intradiverticulares48 e a utilização de gadolínio avalia a existência de inflamação e distingue entre litíase e neoplasia intradiverticular41 . Apesar da necessidade não ser ainda consensual, este método pode ser realizado com auxílio de bobinas endoluminais rígidas ou insufláveis38 , que conferem maior detalhe anatómico38 , demonstrando mais adequadamente os orifícios diverticulares48 e divertículos mais pequenos22 ou complexos38 .

A ressonância magnética tem elevada capacidade de resolução multiplanar e contraste tecidular43 . Atualmente, é a modalidade preferencial no diagnóstico, exclusão de complicações12  ;  39 e planeamento cirúrgico de DUF37  ;  43 , principalmente quando existe extensão proximal37 . Tem ainda um papel relevante no estabelecimento de diagnósticos alternativos43 e no contexto pós‐operatório, para diagnóstico de recorrência ou de complicações como a fistulização8 .

Tomografia computorizada

A uretrografia por tomografia computorizada localiza o orifício e colo diverticulares40 , caracteriza a arquitetura diverticular e avalia a sua relação com as estruturas vizinhas10 . Apesar da execução morosa40 , este exame poderá ter melhor capacidade de identificação dos orifícios diverticulares do que a uretrocistografia miccional, a ecografia e a ressonância magnética40 .

A uretroscopia virtual por tomografia computorizada com planificação tridimensional simula a uretroscopia convencional, com vantagem sobre esta ao nível da caracterização anatómica uretral e de possível patologia extraluminal, com menor risco de lesão de órgão e de desconforto52 .

Outros

A realização de um estudo urodinâmico completo é aconselhável se existir história de incontinência, urgência ou polaquiúria36  ;  37 , diagnosticando alterações funcionais concomitantes e auxiliando na delineação da abordagem terapêutica36 .

A perfilometria da pressão uretral tem baixa especificidade, não devendo ser usada como teste diagnóstico de DUF1 . Contudo, a presença de uma curva bifásica é característica6 , indicando a localização do orifício diverticular e a sua distância do esfíncter1 .

Terapêutica

Atualmente não existe indicação para o tratamento de DUF assintomáticos13 , exceto quando existe suspeita de complicações intradiverticulares. Nas situações sintomáticas pode optar‐se entre abordagem conservadora ou cirúrgica.

Abordagem conservadora

Nas doentes com manifestações ligeiras está indicada apenas vigilância, terapêutica sintomática10 e, quando existe evidência de infeção, antibioticoterapia. Caso exista gotejo pós‐miccional pode aconselhar‐se a compressão manual da parede anterior da vagina após a micção53 . A abordagem conservadora pode controlar a sintomatologia, mas não previne a recorrência das manifestações36 .

Foram descritas algumas abordagens minimamente invasivas – tais como o preenchimento do divertículo com celulose ou politetrafluoroetileno com consequente fibrose e obliteração da cavidade1 . No entanto, estas acarretam risco de formação de abcesso, necrose ou reação de corpo estranho1 , estando desaconselhadas presentemente53 .

Abordagem cirúrgica

No período pré‐operatório é aconselhado o tratamento de supurações com antibioticoterapia13  ;  54 e, caso necessário, com incisão e drenagem prévias à cirurgia formal10 . Dependendo das características do DUF, a terapêutica cirúrgica poderá ser realizada de acordo com diferentes técnicas já que o resultado cirúrgico correlaciona‐se melhor com a boa avaliação pré‐operatória do que com o procedimento realizado19 .

Incisão transuretral da comunicação diverticular

Foram descritas várias técnicas cirúrgicas com abordagem transuretral. As mais atuais preconizam a incisão a frio sob visão do orifício diverticular com um uretrótomo55 ou, nos DUF mais distais, com tesouras vasculares1 . Em casos selecionados, poderá ser equacionada a fulguração concomitante do epitélio de revestimento diverticular1 .

A incisão transuretral permite o alívio quase imediato dos sintomas, é tecnicamente simples e adaptável ao local e conformação do divertículo, requerendo tempos cirúrgicos e internamentos hospitalares curtos1 . Apesar da morbilidade pós‐cirúrgica reduzida, o risco de recorrência do quadro após a incisão limita a sua utilização1 .

Abertura e marsupialização para a vagina

A abertura e marsupialização do saco diverticular para a vagina com a criação de uma fístula iatrogénica entre os 2 lumens poderá ser equacionada se o DUF se localizar no terço distal da uretra, não comprometendo a continência urinária56 . Esta técnica é de fácil execução e tem baixa taxa de complicações19 . Porém, a fístula uretrovaginal pode tornar‐se permanente, levando a micção vaginal, e, caso a incisão atinja o esfíncter, pode condicionar incontinência urinária13 .

Diverticulectomia uretral transvaginal

A excisão transvaginal dos DUF é a abordagem cirúrgica preferencial para esta patologia e apresenta uma taxa de cura sintomática entre os 86‐97%7 ; 13  ;  28 . Contudo, o seu sucesso poderá ser limitado por vários obstáculos12 e a reintervenção cirúrgica parece ser um fator condicionante de complicações12  ;  24 , o que, associado à reduzida prevalência da patologia14  ;  15 , coloca enfoque na necessidade de centralização do procedimento para redução da morbilidade pós‐operatória12 .

Com esta técnica, o campo operatório diminuto dificulta a avaliação da extensão da lesão31 e a definição dos planos tecidulares54 , planos estes já comprometidos pela inflamação local repetida12  ;  34 . A elevada vascularização da região pode contribuir para hemorragia abundante1 . Para diminuir a probabilidade de hemorragia1 , facilitar a dissecção31 e promover a remoção completa do DUF10 é conveniente tratar o episódio inflamatório agudo previamente à cirurgia10 e executar uma dissecção cuidada1 . A realização de procedimentos adicionais dirigidos à incontinência urinária de esforço diagnosticada no pré‐operatório foi advogada, com bons resultados, por alguns autores8  ;  13 . Contudo, o risco de recorrência12 , fistulização12 ou infeção pós‐operatória8 poderá ser superior quando são utilizadas redes sintéticas e, em alguns casos em que se optou pelo diferimento do procedimento, este foi evitado7  ;  30 .

As complicações mais frequentes após diverticulectomia uretral transvaginal encontram‐se explicitadas na tabela 2 e resultam da análise das séries com 30 ou mais doentes publicadas nos últimos 20 anos.

Tabela 2. Frequência relativa das complicações associadas à diverticulectomia uretral transvaginal
Ingber et al., 201124 Ljungqvist et al., 200712 Ganabathi et al., 199413 Lee et al., 200829 Migliari et al., 20098 Ockrim et al., 20097 Han et al., 200728 Jacoby et al., 199936
Número de doentes 122 68 63 50 32 30 30 30
Complicações
Lesão vesical (%) 7
Fístula uretrovaginal (%) 1,8 6 1,6 0
Estenose uretral 1,5
Recorrência da patologia diverticular (%) 10,7 16 3,2 6,2 1 23
Incontinência urinária de esforço de novo (%) 12 3,2 33 0 7 7 13
Imperiosidade de novo (%) 57,4 21,9 3,3
Incontinência urinária por imperiosidade de novo (%) 3
Infeção urinária (%) 39,3 9,5 31
Dispareunia de novo (%) 19,1 15,7
Dor/desconforto uretral de novo (%) 26,2 1,5 3,1 13
Dor/desconforto pélvico de novo (%) 47,5

A recorrência diverticular pode dever‐se ao aparecimento de um novo DUF ou ao reaparecimento do inicial24 secundariamente à sua excisão incompleta13 , à infeção ativa no momento da cirurgia10 , à dissecção difícil34 , à existência de espaço morto residual10 , à tensão inadequada da linha10 ou à sobreposição das linhas de sutura dos planos encerrados13 . A recorrência após diverticulectomia é mais provável quando os DUF são múltiplos24 , têm conformação complexa24 ; 28  ;  34 , localização proximal24 , houve atraso diagnóstico superior a 12 meses34 ou há antecedentes de cirurgia pélvica24 . Na maior série cirúrgica publicada até à data o tamanho diverticular não pareceu influenciar a taxa de recorrência24 .

O aparecimento de incontinência urinária de esforço pós‐operatória relaciona‐se com localização diverticular proximal e tamanho superior a 3 cm30 e pode ser secundária ao dano causado pela inflamação30 , à tendência prévia para incontinência de esforço34 ou à lesão cirúrgica do esfíncter uretral30 , do músculo liso da uretra29 , do colo vesical31 ou dos ligamentos uretrovaginais e outras estruturas de suporte29  ;  30 .

A probabilidade de fistulização uretrovaginal é reduzida se a sutura de encerramento for realizada em vários planos13 , se o procedimento cirúrgico for realizado num período não infecioso1 e com bom controlo hemostático10 e se forem evitadas infeções pós‐operatórias10 .

A inserção de um retalho pediculado de tecido adiposo de Martius entre a fáscia periuretral e a parede vaginal1 reduz o espaço morto pós‐excisional1 , promove a vascularização da região1 , impede a fistulização1 e atenua a incontinência urinária de esforço, podendo evitar intervenções adicionais10 . Simultaneamente, previne a fibrose periuretral excessiva, facilitando a abordagem numa cirurgia subsequente, se necessária10 . Contudo, a mobilização de uma grande porção de tecido pode condicionar um resultado esteticamente desfavorável, causar dispareunia pós‐operatória e dor no local de colheita1 . Em casos selecionados, podem ser utilizados outros retalhos que envolvam menor mobilização de tecido, como o vaginal bipediculado57 , ou mesmo xenoenxertos, utilizando a camada submucosa de intestino delgado suíno58 .

Finalmente, não existem dados que demonstrem a superioridade da diverticulectomia total em relação à parcial, podendo esta última ser considerada em DUF de grandes dimensões – por exemplo, em adição à fulguração do epitélio de revestimento da porção proximal do divertículo1 .

Exenteração pélvica anterior

Nos casos de neotransformação maligna foram descritas abordagens mono e multimodais com sucesso envolvendo radioterapia, quimioterapia e cirurgia10 . A maioria dos estudos publicados apresentam seguimentos de curta duração31 e, devido à raridade e heterogeneidade histológica destes tumores, não existe consenso quanto à melhor abordagem terapêutica10 , podendo esta passar pela realização de exenteração pélvica anterior31 .

Conclusão

Os DUF são uma causa frequente de sintomas urinários recorrentes16 e mais de um terço das doentes com DUF apresentam uma massa palpável ao nível da parede vaginal anterior6 ; 7 ; 28  ;  36 . Um exame objetivo suspeito conduz ao diagnóstico de DUF em 85% dos casos37 . Porém, apenas 11% das mulheres posteriormente diagnosticadas com DUF são referenciadas a centros terciários com indicação dessa suspeição5 .

Os métodos imagiológicos disponíveis presentemente, nomeadamente a ressonância magnética, apresentam grande capacidade diagnóstica38 ; 41 ; 43  ;  44 e de planeamento cirúrgico10 . Por sua vez, a correta técnica cirúrgica com vista à minimização das complicações permite excelente controlo sintomático13 ; 17  ;  28 , podendo o diagnóstico precoce contribuir para o reconhecimento atempado de complicações potencialmente graves, tais como a litíase6 ; 8  ;  30 ou a transformação maligna intradiverticular23  ;  33 e, através da correção cirúrgica, para o aumento da qualidade de vida das doentes8  ;  12 .

Concluindo, atualmente, tal como há quase 6 décadas9 , o maior entrave ao diagnóstico e tratamento dos DUF permanece a falta de suspeição clínica, tornando‐se essencial a consciencialização da comunidade médica para este problema.

Bibliografia

  1. 1 J.W. Lee, M.M. Fynes; Female urethral diverticula; Best Pract Res Clin Obstet Gynaecol, 19 (2005), pp. 875–893
  2. 2 W. Hey; Practical Observations in Surgery; Hansard, London (1803)
  3. 3 M. Tsivian, A. Tsivian, L. Shreiber, A.A. Sidi, R. Koren; Female urethral diverticulum: A pathological insight; Int Urogynecol J Pelvic Floor Dysfunct, 20 (2009), pp. 957–960
  4. 4 S.A. El-Nashar, M.M. Bacon, S. Kim-Fine, A.L. Weaver, J.B. Gebhart, C.J. Klingele; Incidence of female urethral diverticulum: A population‐based analysis and literature review; Int Urogynecol J, 25 (2014), pp. 73–79
  5. 5 J. Rufford, L. Cardozo; Urethral diverticula: A diagnostic dilemma; BJU Int, 94 (2004), pp. 1044–1047
  6. 6 L.J. Romanzi, A. Groutz, J.G. Blaivas; Urethral diverticulum in women: Diverse presentations resulting in diagnostic delay and mismanagement; J Urol, 164 (2000), pp. 428–433
  7. 7 J.L. Ockrim, D.J. Allen, P.J. Shah, T.J. Greenwell; A tertiary experience of urethral diverticulectomy: Diagnosis, imaging and surgical outcomes; BJU Int, 103 (2009), pp. 1550–1554
  8. 8 R. Migliari, D. Pistolesi, L. D’Urso, G. Muto; Recurrent pseudodiverticula of female urethra: Five‐year experience; Urology, 73 (2009), pp. 1218–1222
  9. 9 H.J. Davis, R.W. Telinde; Urethral diverticula: An assay of 121 cases; J Urol, 80 (1958), pp. 34–39
  10. 10 A.K. Patel, C.R. Chapple; Female urethral diverticula; Curr Opin Urol, 16 (2006), pp. 248–254
  11. 11 L.J. Burrows, N.L. Howden, L. Meyn, A.M. Weber; Surgical procedures for urethral diverticula in women in the United States, 1979‐1997; Int Urogynecol J Pelvic Floor Dysfunct, 16 (2005), pp. 158–161
  12. 12 L. Ljungqvist, R. Peeker, M. Fall; Female urethral diverticulum: 26‐year followup of a large series; J Urol, 177 (2007), pp. 219–224 discussion 224
  13. 13 K. Ganabathi, G.E. Leach, P.E. Zimmern, R. Dmochowski; Experience with the management of urethral diverticulum in 63 women; J Urol, 152 (1994), pp. 1445–1452
  14. 14 E. Bruning; Die Pathologie der weiblichen Urethra und des Paraurethrium; Enke, Stuttgart (1959)
  15. 15 W. Adams; Urethrography; Bull Tulane Univ Med Fac, 23 (1964), pp. 107–111
  16. 16 M. Greenberg, D. Stone, S.T. Cochran, R. Bruskewitz, J.J. Pagani, S. Raz, et al.; Female urethral diverticula: Double‐balloon catheter study; Am J Roentgenol, 136 (1981), pp. 259–264
  17. 17 S.D. Pathi, D.D. Rahn, J.L. Sailors, V.A. Graziano, R.D. Sims, R.J. Stone, et al.; Utility of clinical parameters, cystourethroscopy, and magnetic resonance imaging in the preoperative diagnosis of urethral diverticula; Int Urogynecol J, 24 (2013), pp. 319–323
  18. 18 J.G. Blaivas, A.J. Flisser, C.B. Bleustein, G. Panagopoulos; Periurethral masses: Etiology and diagnosis in a large series of women; Obstet Gynecol, 103 (2004), pp. 842–847
  19. 19 S.J. Bennett; Urethral diverticula; Eur J Obstet Gynecol Reprod Biol, 89 (2000), pp. 135–139
  20. 20 A. Routh; Urethral diverticula; BMJ, 1 (1890), pp. 361–366
  21. 21 J.W. Huffman; The detailed anatomy of the para‐urethral ducts in the adult human female; Am J Obstet Gynecol, 55 (1948), pp. 86–101
  22. 22 F. Daneshgari, P.E. Zimmern, L. Jacomides; Magnetic resonance imaging detection of symptomatic noncommunicating intraurethral wall diverticula in women; J Urol, 161 (1999), pp. 1259–1261 discussion 1261–2
  23. 23 A.A. Thomas, R.R. Rackley, U. Lee, H.B. Goldman, S.P. Vasavada, D.E. Hansel; Urethral diverticula in 90 female patients: A study with emphasis on neoplastic alterations; J Urol, 180 (2008), pp. 2463–2467
  24. 24 M.S. Ingber, F. Firoozi, S.P. Vasavada, C.B. Ching, H.B. Goldman, C.K. Moore, et al.; Surgically corrected urethral diverticula: Long‐term voiding dysfunction and reoperation rates; Urology, 77 (2011), pp. 65–69
  25. 25 A.E. Cocco, G.T. MacLennan; Unusual female suburethral mass lesions; J Urol, 174 (2005), p. 1106
  26. 26 W.W. Leng, E.J. McGuire; Management of female urethral diverticula: A new classification; J Urol, 160 (1998), pp. 1297–1300
  27. 27 J.Q. Clemens, W. Bushman; Urethral diverticulum following transurethral collagen injection; J Urol, 166 (2001), p. 626
  28. 28 D.H. Han, Y.S. Jeong, M-S. Choo, K-S. Lee; Outcomes of surgery of female urethral diverticula classified using magnetic resonance imaging; Eur Urol, 51 (2007), pp. 1664–1670
  29. 29 U.J. Lee, H. Goldman, C. Moore, F. Daneshgari, R.R. Rackley, S.P. Vasavada; Rate of de novo stress urinary incontinence after urethal diverticulum repair; Urology, 71 (2008), pp. 849–853
  30. 30 K. Stav, P.L. Dwyer, A. Rosamilia, F. Chao; Urinary symptoms before and after female urethral diverticulectomy--can we predict de novo stress urinary incontinence?; J Urol, 180 (2008), pp. 2088–2090
  31. 31 C.L. Foley, T.J. Greenwell, R.A. Gardiner; Urethral diverticula in females; BJU Int, 108 (Suppl:20‐3) (2011)
  32. 32 G.E. Leach, L.T. Sirls, K. Ganabathi, P.E. Zimmern; L N S C3: A proposed classification system for female urethral diverticula; Neurourol Urodyn, 12 (1993), pp. 523–531
  33. 33 K. Ahmed, R. Dasgupta, A. Vats, K. Nagpal, H. Ashrafian, B. Kaj, et al.; Urethral diverticular carcinoma: An overview of current trends in diagnosis and management; Int Urol Nephrol, 42 (2010), pp. 331–341
  34. 34 F. Porpiglia, P. Destefanis, C. Fiori, D. Fontana; Preoperative risk factors for surgery female urethral diverticula. Our experience; Urol Int, 69 (2002), pp. 7–11
  35. 35 C.L. Siegel, W.D. Middleton, S.A. Teefey, M.A. Wainstein, E.M. McDougall, C.G. Klutke; Sonography of the female urethra; Am J Roentgenol, 170 (1998), pp. 1269–1274
  36. 36 K. Jacoby, R.K. Rowbotham; Double balloon positive pressure urethrography is a more sensitive test than voiding cystourethrography for diagnosing urethral diverticulum in women; J Urol, 162 (1999), pp. 2066–2069
  37. 37 S. Porten, S. Kielb; Diagnosis of female diverticula using magnetic resonance imaging; Adv Urol (2008) 2008:213516
  38. 38 D.S. Blander, E.S. Rovner, M.D. Schnall, P. Ramchandani, M.P. Banner, G.A. Broderick, et al.; Endoluminal magnetic resonance imaging in the evaluation of urethral diverticula in women; Urology, 57 (2001), pp. 660–665
  39. 39 P. Singla, S.S. Long, C.M. Long, R.R. Genadry, K.J. Macura; Imaging of the female urethral diverticulum; Clin Radiol, 68 (2013), pp. e418–e425
  40. 40 S.H. Kim, S.H. Kim, B.K. Park, S.Y. Jung, Hwang S. Il, J-S. Paick, et al.; CT voiding cystourethrography using 16‐MDCT for the evaluation of female urethral diverticula: Initial experience; Am J Roentgenol, 184 (2005), pp. 1594–1596
  41. 41 B. Kim, H. Hricak, E.A. Tanagho; Diagnosis of urethral diverticula in women: Value of MR imaging; Am J Roentgenol, 161 (1993), pp. 809–815
  42. 42 J. Golomb, I. Leibovitch, Y. Mor, B. Morag, J. Ramon; Comparison of voiding cystourethrography and double‐balloon urethrography in the diagnosis of complex female urethral diverticula; Eur Radiol, 13 (2003), pp. 536–542
  43. 43 O. Portnoy, N. Kitrey, I. Eshed, S. Apter, M.M. Amitai, J. Golomb; Correlation between MRI and double‐balloon urethrography findings in the diagnosis of female periurethral lesions; Eur J Radiol, 82 (2013), pp. 2183–2188
  44. 44 J.D. Neitlich, H.E. Foster, M.G. Glickman, R.C. Smith; Detection of urethral diverticula in women: Comparison of a high resolution fast spin echo technique with double balloon urethrography; J Urol, 159 (1998), pp. 408–410
  45. 45 Y. Dai, J. Wang, H. Shen, R-N. Zhao, Y-Z. Li; Diagnosis of female urethral diverticulum using transvaginal contrast‐enhanced sonourethrography; Int Urogynecol J, 24 (2013), pp. 1467–1471
  46. 46 B. Keefe, D.M. Warshauer, M.S. Tucker, C.a. Mittelstaedt; Diverticula of the female urethra: Diagnosis by endovaginal and transperineal sonography; Am J Roentgenol, 156 (1991), pp. 1195–1197
  47. 47 B. Vargas-Serrano, B. Cortina-Moreno, R. Rodríguez-Romero, I. Ferreiro-Argũelles; Transrectal ultrasonography in the diagnosis of urethral diverticula in women; J Clin Ultrasound, 25 (1997), pp. 21–28
  48. 48 C-P. Chou, R.B. Levenson, K.M. Elsayes, Y-H. Lin, T-Y. Fu, Y-S. Chiu, et al.; Imaging of female urethral diverticulum: An update; Radiographics, 28 (2008), pp. 1917–1930
  49. 49 E.R. Gerrard, L.K. Lloyd, W.S. Kubricht, P.N. Kolettis; Transvaginal ultrasound for the diagnosis of urethral diverticulum; J Urol, 169 (2003), pp. 1395–1397
  50. 50 M.B. Chancellor, J.B. Liu, D.A. Rivas, S. Karasick, D.H. Bagley, B.B. Goldberg; Intraoperative endo‐luminal ultrasound evaluation of urethral diverticula; J Urol, 153 (1995), pp. 72–75
  51. 51 C. El-Zein, N. Khoury, Y. El-Zein, M. Bulbul, G. Birjawi; Intraoperative translabial ultrasound for urethral diverticula: A road map for surgeons; Eur J Radiol, 70 (2009), pp. 133–137
  52. 52 C.P. Chou, J.S. Huang, C.C. Yu, H.B. Pan, F.D. Huang; Urethral diverticulum: Diagnosis with virtual CT urethroscopy; Am J Roentgenol, 184 (2005), pp. 1889–1890
  53. 53 K. Giannitsas, A. Athanasopoulos; Female urethral diverticula: From pathogenesis to management. An update; Expert Rev Obstet Gynecol, 5 (2010), pp. 57–66
  54. 54 P. Fortunato, M. Schettini, M. Gallucci; Diagnosis and therapy of the female urethral diverticula; Int Urogynecol J Pelvic Floor Dysfunct, 12 (2001), pp. 51–57
  55. 55 H. Vergunst, J.H. Blom, A.H. de Spiegeleer, S.I. Miranda; Management of female urethral diverticula by transurethral incision; Br J Urol, 77 (1996), pp. 745–746
  56. 56 H.M. Spence, J.W. Duckett; Diverticulum of the female urethra: Clinical aspects and presentation of a simple operative technique for cure; J Urol, 104 (1970), pp. 432–437
  57. 57 M. Fall; Vaginal wall bipedicled flap and other techniques in complicated urethral diverticulum and urethrovaginal fistula; J Am Coll Surg, 180 (1995), pp. 150–156
  58. 58 J.W. Lee, S.K. Doumouchtsis, M.M. Fynes; A modified technique for the surgical correction of urethral diverticula using a porcine xenograft; Int Urogynecol J Pelvic Floor Dysfunct, 20 (2009), pp. 117–120
Back to Top

Document information

Published on 11/04/17

Licence: Other

Document Score

0

Views 22
Recommendations 0

Share this document

claim authorship

Are you one of the authors of this document?