Summary

We report a case of a 47-year-old man with isolated pericardial hydatid cyst (without myocardial involvement) that presented as acute pericardial tamponade. After initial investigation and transthoracic echocardiography, emergent pericardial drainage was performed for downgrading the urgency of a definitive treatment for a hydatid cyst. A computed tomography examination after the pericardial drainage showed a pericardial cyst without heart muscle involvement, making the treatment possible through anterior thoracotomy and without performing cardiopulmonary bypass. Complete surgical removal of the cyst was performed. The postoperative course was uneventful. The patient received postoperative albendazole treatment. He remained asymptomatic and no recurrence was observed during a 1-year follow-up period.

Keywords

acute cardiac tamponade;hydatid disease;pericardium

1. Introduction

Echinococcosis is an important worldwide parasitic infection endemic in various sheep- and cattle-raising regions. Although hydatid cysts can be found in any part of the body, they most often affect the liver and lungs. Cardiac involvement is very uncommon and comprises 0.5–2% of all hydatidosis cases.1 Cardiac hydatid cysts are mostly intramyocardial and are usually located in the left ventricle, followed by the interventricular septum and the right ventricle.2 An isolated pericardial hydatid cyst without myocardial involvement is extremely rare.

2. Case report

A 47-year-old man was admitted to our hospital for chest pain, fatigue, vomiting, dry cough, and severe exertional dyspnea. Seven days prior to admission he experienced nausea and strong retrosternal pain that had been radiating to his back and shoulders, changing in severity with postural changes and aggravated by deep breathing. He also had a mild dyspnea. Since then, the pain and dyspnea were progressive and increasing gradually. Two weeks prior to admittance, he was febrile for 1 day (38°C). His medical history was negative for heart, lung, and any other diseases. He is a farmer raising cattle and goats.

On physical examination he was pale, afebrile, and breathless; his blood pressure was 90/60 mmHg, heart rate was 114 beats/minute, and regular and jugular veins were distended. On auscultation, there was no murmur and heart sounds were very much diminished. There was no leg edema. Chest X-ray revealed gross cardiomegaly.

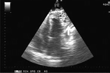
Electrocardiogram showed negative T waves in the inferior and lateral leads. A laboratory analysis revealed leukocytosis (12,700/mm3 with 63% eosinophils), erythrocyte sedimentation rate of 90 mm/hour, and elevated levels of creatine kinase MB (63.5 ng/mL), fibrinogen (12.4 g/L), C-reactive protein (168.5 mg/L), creatinine (420 μmol/L), creatine kinase (2806 IU/L), aspartate aminotransferase (69 IU/L), and alanine aminotransferase (61 IU/L). Transthoracic echocardiography demonstrated a large pericardial effusion (3.3 cm behind the left ventricle posterior wall, 4 cm ahead of the apex, and 3.1 cm ahead of the right ventricle) with signs of right ventricle compression and cardiac tamponade, multilayered appearance of the periventricular pericardium, and 55 mm × 66 mm round multilocular cystic mass adjacent to the apical and apicolateral segment of the left ventricle (Fig. 1).


Transthoracic four-chamber echocardiographic view showing the large pericardial ...


Figure 1.

Transthoracic four-chamber echocardiographic view showing the large pericardial fluid and multilocular cyst (marked with arrow).

An urgent pericardiocentesis was performed and 1.1 L of serofibrinous fluid was drained. Pericardial fluid cytology and cultures for bacteria, tuberculin skin test, and blood cultures were negative. Serologic tests for hydatidosis were negative. Clinical improvement was prompt and repeated echocardiography confirmed regression of pericardial effusion and persistent cystic mass inside the pericardial cavity containing mixed echogenic floating circles characteristic of a hydatid cyst. A computed tomography (CT) scan of the head, chest, and abdomen also detected a multilocular well-bordered cystic mass with internal trabeculae, widely attached to pericardium, extending into the pericardial sac and compressing the left ventricle without involvement of the heart muscle. There were no cysts in the brain, lungs, liver, or elsewhere (Fig. 2).


Computed tomography scan revealing multilocular well-bordered cystic mass with ...


Figure 2.

Computed tomography scan revealing multilocular well-bordered cystic mass with internal trabeculae, widely attached to the pericardium, extending into the pericardial sac and compressing the left ventricle and a drain placed into the pericardial sac.

The patient subsequently underwent surgery. Anterior thoracotomy was performed and a pericardial hydatid cyst 6 cm × 7 cm in diameter with thick fibrous pericyst and no adhesions to the heart and mediastinal structures was found (Fig. 3). The cyst was excised in toto, a pericardial window was created and the pericardial cavity was drained. The postoperative course was uneventful. Histopathological analysis of the specimen confirmed the diagnosis of echinococcosis. The patient received postoperative albendazole treatment. He remained asymptomatic and no recurrence was observed during a 1-year follow-up period.


Pericardial hydatid cyst with thick fibrous pericyst and no adhesions to the ...


Figure 3.

Pericardial hydatid cyst with thick fibrous pericyst and no adhesions to the heart and mediastinal structures. (A) Median sternotomy and heart exposure. Green arrows depict the impression of a cyst through the posterior sternal surface. (B) After opening the prepericardial fat tissue (forceps and blue and red broken arrows) through a small incision (green arrow), the pericardial cyst with thick fibrous wall was opened.

3. Discussion

Hydatid disease is endemic and is one of the major health issues worldwide. However, even in endemic regions, cardiac and especially pericardial location of the hydatid cyst is a very rare entity. Pericardial hydatid cyst formation occurs only in 2–10% of cardiac echinococcosis.3 The clinical presentation of cardiopericardial hydatidosis varies and may range from asymptomatic to life-threatening conditions and sudden death. Symptoms depend on location, size, compression, or involvement of adjacent structures and the presence of complications. The most frequent symptoms of an uncomplicated pericardial hydatid cyst are chest pain due to the stretch of pericardium and/or compression of coronary vessels, dyspnea, and palpitations. Most patients remain asymptomatic for a long time with only occasional vague complaints such as fever or weakness. Nevertheless, the growth of a pericardial hydatid cyst may lead to even lethal complications resulting in serious conditions such as arrhythmias, congestive heart failure, valve obstruction, mitral regurgitation secondary to papillary muscle involvement, acute coronary syndrome, atrioventricular conduction abnormalities, circulatory collapse, and cardiac tamponade.4; 5 ;  6 In addition, if left untreated, these cysts may rupture into the heart chamber or pericardium causing pulmonary or systemic hydatid embolization or anaphylactic shock and formation of secondary cysts.7

Diagnosis of a pericardial hydatid cyst is mainly based on cardiac imaging techniques. Transthoracic echocardiography is a diagnostic tool of choice in such patients due to its noninvasiveness. It is easily performed and has a high sensitivity in the detection of pericardial masses.8 The appearance of a round multiloculated cystic mass on ultrasonography is characteristic of the hydatid cyst. However, at times, transthoracic echocardiography may be inadequate to define the relationship of the cyst to cardiac chambers and other adjacent structures.3 Therefore, contrast-enhanced CT and/or magnetic resonance imaging may be required to distinguish solid tumors (myxomas and fibromas) from cystic masses and intracavitary thrombosis, and also to provide the global view of the preoperative cardiac anatomy, the location and size of the cyst, and its adhesions and relationship to adjacent structures.3 Hydatid serology may be useful, but seem not to be highly sensitive in confirming this rare entity of pericardial hydatid cyst.

In this case, the patient presented with acute symptoms of pericardial tamponade. Emergent pericardial drainage downgraded the urgency of a definitive treatment for a hydatid cyst. A CT examination after pericardial drainage showed a pericardial cyst without heart muscle involvement, making the treatment possible through thoracotomy and without a cardiopulmonary bypass. However, when choosing the procedure, the localization, size of cyst(s), presence of pericystic inflammation, fibrosis, adhesions, and involvement of adjacent structures must be detected and kept in mind. Considering the possibility of severe complications even in asymptomatic patients including cyst rupture and sudden death, complete surgical removal of the cyst with or without extracorporeal circulation is the recommended treatment.

References

  1. 1 C. Cöl, M. Cöl, H. Lafçi; Unusual localizations of hydatid disease; Acta Med Austriaca, 30 (2003), pp. 61–64
  2. 2 A.B. Parihar, B.R. Maldhure; Pericardial hydatid cyst; Lung India, 23 (2006), pp. 158–159
  3. 3 H. Thameur, S. Abdelmoula, S. Chenik, et al.; Cardiopericardial hydatid cysts; World J Surg, 25 (2001), pp. 58–67
  4. 4 F. Kosar, Y. Aksoy, I. Sahin, N. Erdil; Pericardial hydatid cyst mimicking acute coronary syndrome; Tex Heart Inst J, 32 (2005), pp. 570–572
  5. 5 K. Gossios, G. Passas, D. Kontogiannis, J. Kakadellis; Mediastinal and pericardial hydatid cysts: an unusual cause of circulatory collapse; AJR Am J Roentgenol, 181 (2003), pp. 285–286
  6. 6 M. Kosecik, M. Karaoglanoglu, B. Yamak; Pericardial hydatid cyst presenting with cardiac tamponade; Can J Cardiol, 22 (2006), pp. 145–147
  7. 7 F. Kardaras, D. Kardara, D. Tselikos, et al.; Fifteen year surveillance of echinococcal heart disease from a referral hospital in Greece; Eur Heart J, 17 (1996), pp. 1265–1270
  8. 8 T. Kudaiberdiev, S. Djoshibaev, L. Yankovskaya, A. Djumanazarov; Multiple hydatid cysts of epicardium and pericardium; Int J Cardiol, 81 (2001), pp. 265–267
Back to Top

Document information

Published on 26/05/17
Submitted on 26/05/17

Licence: Other

Document Score

0

Views 8
Recommendations 0

Share this document

claim authorship

Are you one of the authors of this document?