Resumo

O tumor adenomatoide é uma neoplasia benigna rara de origem mesotelial que poderá surgir no trato genital de ambos os géneros. No sexo masculino a sua localização mais comum é paratesticular, afetando o epidídimo. O tratamento cirúrgico consiste em excisão tumoral e conservação do testículo sempre que possível. Apresentamos um caso clínico de um doente de 40 anos de idade, com queixas de desconforto escrotal, massa palpável no polo inferior do testículo direito e marcadores tumorais normais. O paciente foi submetido a excisão de tumor paratesticular direito com preservação do testículo, dada a ausência de relação do tumor com a albugínea testicular. O diagnóstico anátomo‐patológico (com uso de marcadores imuno‐histoquímicos)foi de tumor adenomatoide paratesticular.

Abstract

The adenomatoid tumor is a rare benign neoplasm of mesothelial origin, possible to occur in the genital tract in both sexes. It is commonly paratesticular, mainly in the epididymis. Surgical treatment consists of tumor resection and preservation of the testis whenever possible. We describe a case of a 40 years old man presenting scrotal discomfort, palpable lower pole mass of the right testicle and normal tumor markers. The patient underwent local excision of nodule with right testis preservation, as the neoplasm was unrelated with the albuginea. Subsequent pathology study (with histology and immunohistochemical markers) diagnosed a paratesticular adenomatoid tumor.

Palavras‐chave

Tumor adenomatoide ; Testículo ; Neoplasia ; Benigno ; Escroto

Keywords

Adenomatoid tumour ; Testis ; Neoplasm ; Benign ; Scrotum

Introdução

O tumor adenomatoide é uma neoplasia benigna rara de origem mesotelial1 ; 2  ;  3 . A maioria surge no trato génito‐urinário do homem ou da mulher, estando descritos alguns casos raros localizados na suprarrenal, bexiga, pâncreas, coração, pleura, mesentério e gânglios linfáticos2 ; 4  ;  5 . Tipicamente surgem na 3.a ou 4.a décadas de vida, em pacientes caucasianos, não sendo, no entanto, exclusivos desta faixa etária ou raça4 ; 5  ;  6 .

Os autores apresentam um caso clínico raro de tumor adenomatoide paratesticular, procedendo a uma breve revisão da literatura sobre este tema.

Caso clínico

Doente do sexo masculino de 40 anos de idade, enviado para avaliação por urologia por desconforto e massa escrotal direita com semanas de evolução. Ao exame objetivo apresentava massa dolorosa com cerca de 1 cm, palpável a nível do polo inferior do testículo direito. O estudo ecográfico relatava a presença de nódulo heterogéneo intraescrotal direito aparentemente na dependência do epidídimo direito. Os valores da beta‐HCG, alfa‐fetoproteína (AFP) e lactato desidrogenase (LDH) eram normais. O doente foi submetido a escrotomia exploradora à direita, tendo esta revelado a existência de um nódulo sólido com 1 cm, junto ao polo inferior do testículo, independente da túnica albugínea. Dado não existir relação entre a neoplasia e o testículo direito, optou‐se por exérese local tumoral e preservação da gónada.

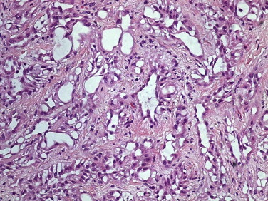
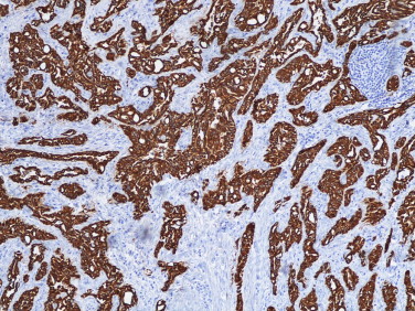
O estudo histológico revelou uma neoplasia formada por células epitelioides ou endotelioides dispostas em túbulos, cordões ou pequenos ninhos, de núcleo regular com pequeno nucléolo e citoplasma eosinófilo ou vacuolizado, conferindo por vezes uma morfologia tipo anel de sinete; estavam envolvidas por um estroma fibroso com discreto infiltrado linfocítico (fig. 1 ). A caracterização imuno‐histoquímica demonstrou positividade intensa e difusa para AE1/AE3 e calrretinina (Figura 2  ;  Figura 3 ), com negatividade para Ber‐Ep4. O diagnóstico histopatológico final foi de tumor adenomatoide paratesticular direito.


Tumor adenomatoide paratesticular – células epitelioides ou endotelioides ...


Figura 1.

Tumor adenomatoide paratesticular – células epitelioides ou endotelioides dispostas em túbulos, cordões e pequenos ninhos, de núcleo regular com pequeno nucléolo e citoplasma eosinófilo ou vacuolizado, conferindo por vezes uma morfologia tipo anel de sinete (HE 200 x).


Tumor adenomatoide paratesticular – marcação imuno‐histoquímica positiva para ...


Figura 2.

Tumor adenomatoide paratesticular – marcação imuno‐histoquímica positiva para pancitoqueratina AE1/AE3 (100 x).


Tumor adenomatoide paratesticular – marcação imuno‐histoquímica positiva para ...


Figura 3.

Tumor adenomatoide paratesticular – marcação imuno‐histoquímica positiva para calrretinina (100 x).

O pós‐operatório decorreu sem intercorrências de relevo. O doente mantém‐se assintomático desde a cirurgia.

Discussão

Os tumores paratesticulares representam 5% das neoplasias intraescrotais, sendo que a maioria (75%) são benignos3 . O tumor adenomatoide é o mais comum, representando 30% de todas as massas paratesticulares1 ; 2 ; 3  ;  5 .

O termo «tumor adenomatoide» foi introduzido por Golden e Ash em 1945, para descrever um grupo de tumores benignos encontrado no trato urogenital, com padrão glandular e histogénese desconhecida5 .

A localização mais frequente dos tumores adenomatoides é o epidídimo1  ;  2 . Outros locais descritos para o sexo masculino são o cordão espermático, as túnicas testiculares, ductos ejaculatórios, próstata e suprarrenal. No sexo feminino os tumores adenomatoides são mais frequentes no útero e trompas de falópio1 .

Clinicamente, nos tumores intraescrotais é comum o relato de massa palpável intraescrotal, indolor, inferior a 2 cm e dura à palpação1  ;  4 . Apesar de ser bem delimitado, o padrão de crescimento não é típico das neoplasias benignas dado não ser um tumor encapsulado1 ; 2  ;  3 .

A histogénese permaneceu controversa durante muito tempo, sendo que hoje em dia é aceite pela maioria da comunidade científica médica uma origem mesotelial, suportada pelo padrão de imunomarcação e por estudos de ultraestrutura celular (microscopia eletrónica)1  ;  6 . Histologicamente as células podem formar 3 padrões básicos: tubular/pseudoglandular, cordonal e em ninhos; podem ser epitelioides ou endotelioides, tendo núcleos regulares com pequeno nucléolo e citoplasmas eosinófilos ou vacuolizados, podendo assumir uma morfologia de tipo anel de sinete2 ; 3  ;  4 .

O estudo imuno‐histoquímico demonstra positividade para marcadores epiteliais como pancitoqueratinas e antigénio de membrana epitelial (EMA), para o marcador mesenquimatoso vimentina e para marcadores associados ao mesotélio como calrretinina, podoplanina (D2‐40) e tumor de Wilms 1 (WT1); existe negatividade para Ber‐Ep4 (marcador relacionado com alguns carcinomas), marcadores vasculares (tal como fator VIII , CD31 e CD34), alfa‐fetoproteína e alfa‐inibina1 ; 2 ; 3 ; 4 ; 5  ;  6 . Este padrão de marcação é importante para o diagnóstico diferencial, o qual é feito essencialmente com tumores vasculares, tumores primários do testículo e carcinoma metastático. A diferenciação com o mesotelioma maligno é difícil, baseando‐se no maior diâmetro com padrão de crescimento invasivo e envolvimento de estruturas anexas, características habitualmente presentes no mesotelioma2 ; 6  ;  7 .

Dada a sua natureza benigna, o tratamento padrão consiste na exérese tumoral com preservação do testículo, promovendo a fertilidade e mantendo a produção de testosterona1 ; 2  ;  8 . Nos casos de massa intraescrotal paratesticular com valores normais de marcadores tumorais deverá ser ponderada a hipótese diagnóstica de tumor adenomatoide. No entanto, outras etiologias, nomeadamente patologias malignas, não podem ser excluídas com segurança. Assim, é recomendável uma abordagem inguinal, semelhante à preconizada para os tumores malignos do testículo, com isolamento do testículo do campo operatório antes da abertura da túnica vaginal. No caso relatado a abordagem escolhida foi a escrotomia exploratória dada a suspeita pré‐operatória de quisto sintomático do epidídimo (tendo em conta a idade, relatório ecográfico e ausência de elevação dos marcadores tumorais).

A biópsia intraoperatória com estudo extemporâneo pode auxiliar na decisão clínica de preservação testicular. Infelizmente, nos raros casos com crescimento intratesticular, o estudo ecográfico é incapaz de distinguir o carácter benigno da lesão e a biópsia intraoperatória pode ser inconclusiva para excluir malignidade pela impossibilidade de uso dos marcadores imuno‐histoquímicos2 ; 5 ; 8  ;  9 . Em 10 casos relatados na literatura de tumor adenomatoide com crescimento intratesticular em apenas um foi evitada a orquidectomia2 .

O presente caso serve para relembrar a preponderância dos tumores benignos paratesticulares, alertando o clínico para a importância da decisão de preservação testicular, sempre que exequível. Alerta ainda para o papel auxiliar do estudo extemporâneo na decisão terapêutica de preservação testicular, bem como para a importância da abordagem inguinal nos tumores intraescrotais de etiologia desconhecida.

Responsabilidades éticas

Proteção de pessoas e animais

Os autores declaram que os procedimentos seguidos estavam de acordo com os regulamentos estabelecidos pelos responsáveis da Comissão de Investigação Clínica e Ética e de acordo com os da Associação Médica Mundial e da Declaração de Helsinki.

Confidencialidade dos dados

Os autores declaram ter seguido os protocolos do seu centro de trabalho acerca da publicação dos dados de pacientes.

Direito à privacidade e consentimento escrito

Os autores declaram ter recebido consentimento escrito dos pacientes e/ou sujeitos mencionados no artigo. O autor para correspondência deve estar na posse deste documento.

Conflito de interesses

Os autores declaram não haver conflito de interesses.

Referências

  1. 1 S.B. Williams, M. Han, R. Jones, R. Andrawis; Adenomatoid tumor of the testes; Urology., 63 (4) (2004 Apr), pp. 779–781
  2. 2 F. Migliorini, R. Baldassarre, W. Artibani, G. Martignoni, M. Brunelli; Rare case of intra‐testicular adenomatoid tumour; Arch Ital Urol Androl., 86 (1) (2014 Mar 28), pp. 44–45
  3. 3 R. González Resina, A. Carranza Carranza, J. Congregado Córdoba, J.M. Conde Sánchez, C.B. Congregado Ruiz, R. Medina López; Paratesticular adenomatoid tumor: A report of nine cases; Actas Urol Esp., 34 (1) (2010 Jan), pp. 95–100
  4. 4 K. Alam, V. Maheshwari, M. Varshney, M. Aziz, M. Shahid, M. Basha, et al.; Adenomatoid tumour of testis; BMJ Case Rep. (2011 Mar 8) 2011
  5. 5 W. Liu, R.D. Wu, Q.H. Yu; Adenomatoid tumor of the testis in a child; J Pediatr Surg., 46 (10) (2011 Oct), pp. E15–E17
  6. 6 B.A. Alexiev, L.F. Xu, J.E. Heath, W.S. Twaddell, M.W. Phelan; Adenomatoid tumor of the testis with intratesticular growth: A case report and review of the literature; Int J Surg Pathol., 19 (6) (2011 Dec), pp. 838–842
  7. 7 S.S. Chekol, C.C. Sun; Malignant mesothelioma of the tunica vaginalis testis: Diagnostic studies and differential diagnosis; Arch Pathol Lab Med., 136 (1) (2012 Jan), pp. 113–117
  8. 8 C. Passman, D. Urban, K. Klemm, M. Lockhart, P. Kenney, P. Kolettis; Testicular lesions other than germ cell tumours: Feasibility of testis‐sparing surgery; BJU Int., 103 (4) (2009 Feb), pp. 488–491
  9. 9 A. Goel, A. Jain, D. Dalela; Can radical orchiectomy be avoided for paratesticular adenomatoid tumor?; Indian J Urol., 27 (4) (2011 Oct), pp. 556–557
Back to Top

Document information

Published on 11/04/17

Licence: Other

Document Score

0

Views 16
Recommendations 0

Share this document

Keywords

claim authorship

Are you one of the authors of this document?