Resumo

Introdução

Até ao fim dos anos 80 defendia‐se que qualquer nódulo testicular suspeito devia ser excisado com orquidectomia radical. No entanto, com o aumento do diagnóstico incidental de massas testiculares, a maior acuidade dos exames extemporâneos e a evidência das vantagens potenciais da orquidectomia parcial, questionou‐se se seria necessário sacrificar, sempre, todo o testículo, mesmo na presença de um testículo contralateral normal.

Caso clínico

Apresentamos o caso de um doente de 23 anos, com o diagnóstico de um nódulo testicular com 7,5 mm, não palpável, assintomático e marcadores tumorais negativos. Foi submetido a orquidectomia parcial guiada por ecografia e exame extemporâneo, no entanto, por suspeita anatomopatológica de provável tumor de células germinativas , optou‐se pela totalização da orquidectomia. O resultado histológico final foi de tumor de células de Leydig . Tendo em conta a elevada probabilidade de lesões testiculares não palpáveis e de pequenas dimensões serem benignas (até 80%), os efeitos da orquidectomia radical na espermatogénese, função endócrina e estética e que não devem ser ignorados, a orquidectomia parcial é um procedimento que, embora não seja um procedimento padrão, pode ser equacionado como primeira abordagem em casos selecionados e em centros de referência especializados.

Abstract

Introduction

Until the late 1980s, it was considered that any testicular mass, if suspicious, should be removed totally by radical orchiectomy; however, a marked increase in incidental testicular mass diagnosis, the high accuracy of diagnosis obtained from frozen section examinations, and evidence showing the potential advantages of testis‐sparing surgery, threw into question the need to sacrifice the entire testis even when a normal contralateral testis was present.

Clinical Case

We present a 23‐year‐old patient who was asymptomatic at diagnosis of a non‐palpable testicular mass with a size of approximately 7.5 mm and negative for tumor markers. He underwent a Testis‐sparing surgery guided by ultrasound with frozen section examination, however, with the suspicious of Germ cell tumor, it was decided to complete the orchiectomy. The final histological results were Leydig cell tumor. Given the high likelihood of non‐palpable and small testicular lesions being benign (80%), the negative impact of radical orchiectomy on spermatogenesis, cosmetic aspects, and endocrine function, impossible to ignore, Testis‐sparing surgery is a procedure that although it is not a standard procedure must be employed as the first approach in selected cases and specialized reference centers.

Palavras‐chave

Orquidectomia radical ; Orquidectomia parcial ; Exame extemporâneo ; Tumor de células germinativas

Keywords

Radical orchiectomy ; Testis sparing surgery ; Frozen section ; Germ cell tumor

Introdução

A orquidectomia parcial foi descrita pela primeira vez por Richie, em 1984, nos Estados Unidos da América1 . Até ao final da década de 80, defendia‐se que qualquer nódulo testicular suspeito, dada a rara prevalência de lesões benignas, devia ser totalmente excisado por orquidectomia radical2 . Por este motivo e pela convicção de que a abordagem «poupadora» levaria, invariavelmente, à progressão e disseminação da doença, as indicações para orquidectomia parcial foram sempre limitadas e controversas3 .

Atualmente, com o desenvolvimento da imagiologia, nomeadamente a ecografia, o diagnóstico incidental de nódulos testiculares de pequenas dimensões, não palpáveis e assintomáticos aumentou significativamente4 e, com isso, verificou‐se que a prevalência de lesões benignas é, na realidade, superior ao anteriormente descrito. Estes factos, aliados à maior acuidade dos exames extemporâneos5 e à consciência das vantagens potenciais da orquidectomia parcial, como a preservação da fertilidade e da imagem corporal masculina, levaram a que se questionasse se seria necessário sacrificar, em todas as situações, todo o testículo na presença de um nódulo testicular, mesmo num doente com testículo contralateral normal.

A orquidectomia parcial acompanha a premissa atual da «cirurgia poupadora de órgão sólido» e tem vindo a ser cada vez mais utilizada, com resultados credíveis não só a nível oncológico, mas também a nível psicológico, estético e hormonal; no entanto, não deverá ser entendida como uma terapêutica padrão, mas como mais uma «arma» terapêutica, que poderá ser equacionada em casos selecionados e executada em centros de referência com uropatologistas especializados.

Caso clínico

Apresentamos o caso clínico de um doente de 23 anos, saudável, que vem ao serviço de urgência do Hospital Prof. Doutor Fernando Fonseca por um quadro clínico de dor testicular à esquerda, com 3 dias de evolução, sem febre ou sintomas geniturinários. Ao exame objetivo apresentava palpação dolorosa ao nível da cabeça do epidídimo, sem evidência de varicocelo, hidrocelo ou hérnia inguino‐escrotal. Ambos os testículos eram normodimensionados, de consistência elástica e sem nódulos palpáveis. Na ecografia escrotal identificou‐se um nódulo periférico do parênquima testicular de 7,5 mm, hipoecogénico e sinal Doppler presente (fig. 1 ). Admitiu‐se orquiepididimite, para a qual fez antibioticoterapia empírica. Após resolução dos sintomas, realizou ecografia escrotal de controlo 15 dias e 30 dias depois, com persistência da mesma lesão e com as mesmas características. Os marcadores tumorais, alfafetoproteína, beta‐HCG e LDH revelaram‐se negativos; o perfil hormonal com níveis séricos de testosterona, LDH e FSH encontravam‐se dentro dos parâmetros normais e a TAC toracoabdominopélvica não demonstrou qualquer evidência de doença retroperitoneal ou à distância.


Nódulo hipoecogénico de 7,5mm com sinal Doppler presente.


Figura 1.

Nódulo hipoecogénico de 7,5 mm com sinal Doppler presente.

Tendo em conta as características suspeitas da lesão, propôs‐se uma orquidectomia parcial, guiada por ecografia com exame extemporâneo. Por uma abordagem inguinal, o testículo foi libertado da bolsa escrotal e avaliado no campo operatório por ecografia (fig. 2 ). O nódulo foi marcado com uma agulha subcutânea, excisado e submetido a exame extemporâneo, em que se identificou macroscopicamente uma lesão sólida, amarela e elástica de 5 mm e cujo corte de congelação revelou uma proliferação neoplásica de padrão de crescimento nodular/sólido, constituída por células com anisocariose nuclear e citoplasma vasto e claro, por vezes eosinofílico – «neoplasia maligna do testículo, provável seminoma ». Perante o resultado, optou‐se pela totalização da orquidectomia e colocação de prótese testicular, com o resultado histológico final de «tumor das células de Leydig » ( fig. 3 ) e sem neoplasia intratubular germinativa (NITG). Com a exceção de ligeira anisocariose, não se observavam outros critérios morfológicos preditivos de malignidade, como um índice mitótico elevado (no caso presente caso, o índice era de uma mitose/10 campos de grande ampliação), necrose e/ou invasões vasculares. O tumor de células de Leydig (benigno) admite alguma atipia citológica, podendo dificultar a sua avaliação em cortes de congelação durante o exame extemporâneo. Aos 9 meses de seguimento, a ecografia escrotal de controlo não revelou qualquer nódulo de novo e os marcadores tumorais mantiveram‐se negativos. Pela ausência de critérios de malignidade, o seguimento consistirá numa consulta anual com exame objetivo, avaliação de marcadores tumorais e ecografia de controlo.


Orquidectomia parcial ecoguiada.


Figura 2.

Orquidectomia parcial ecoguiada.


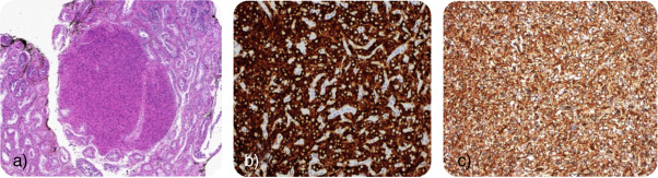
Histologia final – tumor de células de Leydig: unifocal; NITG ausente; sem ...


Figura 3.

Histologia final – tumor de células de Leydig : unifocal; NITG ausente; sem aparente envolvimento das túnicas e/ou epidídimo; sem invasão vascular ou invasão do cordão espermático.

Ampliação – coloração: a) 4 x 10 – HE; b) 10 x 20 – inibina; c) 10 x 20 – vimentina.

Discussão

A presença de uma lesão inferior a 10 mm, não palpável, identificada por ecografia, num doente assintomático com marcadores tumorais negativos constitui um verdadeiro dilema diagnóstico.

Está descrito que cerca de 90% das lesões testiculares palpáveis são malignas6 ; no entanto, nos doentes com nódulos não palpáveis, a prevalência de tumores de natureza benigna é elevada (até 80%) e deve ser equacionada7 .

No caso apresentado, apesar da pequena dimensão da lesão, as suas características ecográficas suspeitas e com sinal doppler positivo deram‐nos a indicação cirúrgica, nomeadamente a sua excisão. No entanto, independentemente da sua natureza histológica, a questão que colocamos é: até que ponto devemos sacrificar todo o testículo do doente?

Para a patologia maligna testicular, a orquidectomia radical constitui a terapêutica de primeira linha, com segurança e eficácia oncológica comprovada; no entanto, pode constituir um procedimento excessivo no caso de pequenas massas testiculares, frequentemente benignas. Por outro lado, não devemos ignorar o impacto na fertilidade. De acordo com a literatura, a orquidectomia radical está associada a distúrbios da espermatogénese8 , da função endócrina9 e da imagem corporal masculina10 .

Atualmente, para a patologia benigna testicular a orquidectomia parcial é considerada o procedimento de primeira linha. Para lesões malignas, a sua utilização não é consensual; no entanto, perante determinados critérios, nomeadamente, lesão única com dimensão inferior a 20 mm, em testículo único ou tumores bilaterais, que não invadam a rede testis, em doentes com valores pré‐operatórios normais de LH/β‐HCG/α‐AFP e com um perfil psicológico que garantam um follow‐up apertado, já existem alguns dados a favor da sua utilização. Heidenreich et al. demonstraram que a realização da orquidectomia parcial complementada com biopsias do leito cirúrgico e radioterapia adjuvante estava associada a uma sobrevida livre de doença de aproximadamente 100%, taxa de recorrência reduzida (<  4%) e preservação dos níveis de testosterona na quase totalidade dos doentes (aprox. 84%)11 . Apesar dos resultados promissores, salientamos que, não só a dosagem de radioterapia 20 Gy (10 frações) durante 2 semanas, bem como as potenciais consequências na fertilidade que advêm da irradiação das restantes células germinativas do testículo, continuam alvo de debate e controvérsia.

O sucesso da orquidectomia parcial está totalmente dependente do exame extemporâneo, e este da quantidade e qualidade de amostra enviada pelo cirurgião, da experiência da instituição e do anatomopatologista que o executa; ainda assim, este exame é considerado altamente fiável para caracterização de massas testiculares12 , estando demonstrado que, perante massas testiculares suspeitas, o valor preditivo positivo para o diagnóstico de lesões malignas é de aproximadamente 94,2% e o valor preditivo negativo de 96%13 , sendo raras as situações em que o exame é inconclusivo.

Se os resultados do exame extemporâneo forem benignos, a túnica albugínea deverá ser encerrada com sutura contínua, absorvível. Se o resultado for maligno, e não se optar pela cirurgia radical, dever‐se‐ão realizar múltiplas biopsias do leito e periexcisionais para excluir tumor ou NITG14 .

No caso apresentado, o resultado do exame extemporâneo foi de «provável tumor de células germinativas », tendo‐se optado por totalizar a orquidectomia. Tratando‐se de um provável tumor maligno, num doente com testículo contralateral normal, não conseguimos ignorar as características de multifocalidade dos tumores de células germinativas, nem a probabilidade elevada de NITG adjacente ao tumor, estimada em cerca de 80‐90% e, nesses casos, com a probabilidade de degeneração num tumor das células germinativas em 5 anos e 7 anos de 50 e 70%, respetivamente. Mesmo após a radioterapia adjuvante, a recidiva e progressão é imprevisível e não é incomum 15 . Apesar da orquidectomia parcial poder ser realizada perante lesões malignas, em testículos únicos ou bilaterais e perante determinados critérios, neste caso em concreto, consideramos que a orquidectomia radical constitui a primeira linha, não só pelos dados referidos anteriormente, mas também por não existirem ainda estudos conclusivos de orquidectomias parciais eletivas, em doentes com tumores malignos histologicamente comprovados e testículos contralaterais normais16 .

Queremos realçar que o exame anatomopatológico constitui a peça chave para o sucesso da orquidectomia parcial, e que, apesar de pouco frequentes, os falsos positivos ou falsos negativos existem, situação que poderá ser contornada com a criação de centros de referência e maior diferenciação da anatomia patológica nesta área.

A histologia final revelou um tumor das células de Leydig . São os tumores das células não germinativas mais frequentes, ainda que com uma prevalência entre 1‐3%. São frequentemente assintomáticos e benignos (em mais de 90% dos casos) 17 . Aproximadamente 10% são malignos, definido pela presença de vários critérios, nomeadamente dimensão > 5 cm, idade avançada, índice mitótico aumentado, invasão vascular, expressão do gene MIB‐1, necrose, margens infiltrativas e aneuplodia do DNA. Nos doentes sem evidência de metastização, mas com critérios histológicos de malignidade, o seguimento deverá consistir no exame físico, avaliação hormonal, TAC abdominal, pélvica e raio‐x do toráx18 . Cerca de 80% dos doentes apresentam tumores hormonalmente ativos, com aumento dos níveis de estradiol e redução de testosterona, e alterações da líbido18 . A ginecomastia está descrita em cerca de 10% dos casos18 . Retrospetivamente, os tumores de células de Leydig constituem a entidade histológica mais frequente nestes tumores não palpáveis e diagnosticados incidentalmente 7 .

Na nossa opinião, todas as pequenas lesões testiculares não palpáveis, diagnosticadas incidentalmente, associadas a marcadores tumorais negativos e de localização preferencialmente periférica, deverão, sempre que possível, ser abordadas com uma atitude poupadora e procedendo‐se ao exame extemporâneo intraoperatório. Caso tivéssemos obtido um resultado histológico benigno no exame extemporâneo, teríamos mantido a orquidectomia parcial como primeira linha.

Conclusão

Pela frequência e elevada probabilidade de benignidade dos pequenos nódulos testiculares não palpáveis e pelas vantagens inerentes à preservação da fertilidade e da imagem corporal masculina, a orquidectomia parcial com exame extemporâneo intraoperatório deve constituir uma abordagem de primeira linha, se realizada num centro de referência com uroanatomopatologistas especializados; no entanto, para lesões malignas a orquidectomia radical continua a ser o procedimento padrão, sendo necessários mais estudos que comprovem a eficácia oncológica de uma atitude poupadora.

Responsabilidades éticas

Proteção de pessoas e animais

Os autores declaram que para esta investigação não se realizaram experiências em seres humanos e/ou animais.

Confidencialidade dos dados

Os autores declaram ter seguido os protocolos do seu centro de trabalho acerca da publicação dos dados de pacientes.

Direito à privacidade e consentimento escrito

Os autores declaram ter recebido consentimento escrito dos pacientes e/ou sujeitos mencionados no artigo. O autor para correspondência deve estar na posse deste documento.

Conflito de interesses

Os autores declaram não haver conflito de interesses.

Bibliografia

  1. 1 J.P. Richie, M.A. Socinsky, C.Y. Fung, G.L. Brodsky, L.A. Kalish, M.B. Garnick; Management of patients with clinical stage I or II nonseminomatous germ cell tumors of the testis. Evolving therapeutic options; Arch Surg., 122 (12) (1987), pp. 1443–1445
  2. 2 M. Goldstein, K. Waterhouse; When to use the Chevassu maneuver during exploration of intrascrotal masses; J Urol., 130 (6) (1983), pp. 1199–1200
  3. 3 A. Heidenreich, R. Bonfig, W. Derschum, H. von Vietsch, D.M. Wilbert; A conservative approach to bilateral testicular germ cell tumors; J Urol., 153 (1) (1995), pp. 10–13
  4. 4 L. Carmignani, F. Gadda, G. Gazzano, F. Nerva, M. Mancini, M. Ferruti, et al.; High incidence of benign testicular neoplasms diagnosed by ultrasound; J Urol., 170 (5) (2003), pp. 1783–1786
  5. 5 R. Tokuc, W. Sakr, J.E. Pontes, G.P. Haas; Accuracy of frozen section examination of testicular tumors; Urology., 40 (6) (1992), pp. 512–516
  6. 6 S. Stoll, M. Goldfinger, R. Rothberg, M.B. Buckspan, B.J. Fernandes, J. Bain; Incidental detection of impalpable testicular neoplasm by sonography; AJR Am J Roentgenol., 146 (2) (1986), pp. 349–350
  7. 7 G. Giannarini, K.P. Dieckmann, P. Albers, A. Heidenreich, G. Pizzocaro; Organ‐sparing surgery for adult testicular tumours: A systematic review of the literature; Eur Urol., 57 (5) (2010), pp. 780–790
  8. 8 U. Ferreira, N.R. Netto Júnior, S.C. Esteves, M.A. Rivero, C. Schirren; Comparative study of the fertility potential of men with only one testis; Scand J Urol Nephrol., 25 (4) (1991), pp. 255–259
  9. 9 C. Nord, T. Bjøro, D. Ellingsen, A. Mykletun, O. Dahl, O. Klepp, et al.; Gonadal hormones in long‐term survivors 10 years after treatment for unilateral testicular cancer; Eur Urol., 44 (3) (2003), pp. 322–328
  10. 10 L. Incrocci, J.L. Bosch, A.K. Slob; Testicular prostheses: Body image and sexual functioning; BJU Int., 84 (9) (1999), pp. 1043–1045
  11. 11 A. Heidenreich, P. Albers, S. Krege; Management of bilateral germ cell tumors—experience of the german testicular cancer study group (GTCSG); Eur Urol Suppl., 5 (2006), p. 97
  12. 12 A. Elert, P. Olbert, A. Hegele, P. Barth, R. Hofmann, A. Heidenreich; Accuracy of frozen section examination of testicular tumors of uncertain origin; Eur Urol., 41 (3) (2002), pp. 290–293
  13. 13 S.S. Connolly, F.T. D’Arcy, H.C. Bredin, J. Callaghan, M.O. Corcoran; Value of frozen section analysis with suspected testicular malignancy; Urology., 67 (1) (2006), pp. 162–165
  14. 14 K.P. Dieckmann, N.E. Skakkebaek; Carcinoma in situ of the testis: Review of biological and clinical features; Int J Cancer., 83 (6) (1999), pp. 815–822
  15. 15 O. Yossepowitch, J. Baniel; Role of organ‐sparing surgery in germ cell tumors of the testis; Urology., 63 (3) (2004), pp. 421–427
  16. 16 P. Albers; Management of stage I testis cancer; Eur Urol., 51 (2007), pp. 34–44
  17. 17 J.C. Cheville; Classification and pathology of testicular germ cell and sex cord‐stromal tumors; Urol Clin North Am., 26 (1999), pp. 595–609
  18. 18 N1 Suardi, E. Strada, R. Colombo, M. Freschi, A. Salonia, C. Lania, et al.; Leydig cell tumour of the testis: Presentation, therapy, long‐term follow‐up and the role of organ‐sparing surgery in a single‐institution experience; JU Int., 103 (2) (2009), pp. 197–200
Back to Top

Document information

Published on 11/04/17

Licence: Other

Document Score

0

Views 16
Recommendations 0

Share this document

claim authorship

Are you one of the authors of this document?